Suppr超能文献

口腔癌组织病理学亚型与危险因素的相关性:一项 5 年回顾性研究。

Oral cancer histopathological subtypes in association with risk factors: a 5-year retrospective study.

机构信息

Department of Anesthesiology and Oral Surgery, Multidisciplinary Center for Research, Evaluation, Diagnosis and Therapies in Oral Medicine, Faculty of Dental Medicine, Victor Babeş University of Medicine and Pharmacy, Timişoara, Romania;

出版信息

Rom J Morphol Embryol. 2020 Oct-Dec;61(4):1213-1220. doi: 10.47162/RJME.61.4.22.

Abstract

BACKGROUND

Oral cancer is a worldwide public health problem, being the sixth most common neoplasm. The high mortality rate of this type of cancer is due to a delayed diagnosis, a fast evolution and metastasis, no primary symptomatology, the multitude of risk factors and the lack of awareness among the population concerning oral malignancy.

AIM

The aim of this 5-year retrospective study was to evaluate the incidence of oral cancer patients in the Clinic of Maxillo-Facial Surgery, Emergency County Hospital, Timişoara, Romania and quantify the histopathological (HP) subtypes, localization, age, gender, tumor staging and differentiation, positive loco-regional lymph nodes and risk factors.

PATIENTS, MATERIALS AND METHODS: A number of 129 patients diagnosed with oral cancer were included in the study and their medical records were analyzed. A statistical analysis was performed that included the variables gender, age, tumor staging, differentiation grade, HP subtype, lymph nodes, localization, and risk factors.

RESULTS

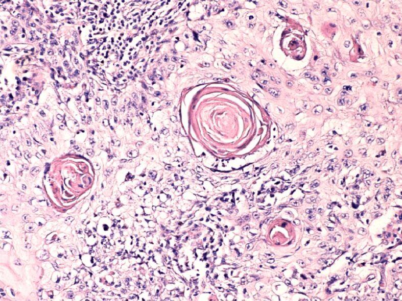
Our results outlined a high prevalence of oral cancer among males (65.9%), squamous cell carcinoma (SCC) being the most common HP subtype. Tumor staging revealed the fact that the majority of were T3 and T4 tumors with dissemination in the loco-regional lymph nodes. In 52% of the cases, tobacco was identified as a risk factor, and the association of tobacco and alcohol was present in 28.3% of the cases.

CONCLUSIONS

The early diagnosis is crucial for the improvement of oral cancer survival rate. The oral cavity is permanently exposed to carcinogenic substances that associated with other risk factors have an influence upon the incidence of oral malignancies.

摘要

背景

口腔癌是一个全球性的公共卫生问题,是第六大常见的肿瘤。这种癌症的高死亡率是由于诊断延迟、快速发展和转移、没有原发性症状、众多的危险因素以及公众对口腔恶性肿瘤缺乏认识。

目的

本 5 年回顾性研究旨在评估罗马尼亚蒂米什瓦拉颌面外科诊所口腔癌患者的发病率,并量化组织病理学(HP)亚型、定位、年龄、性别、肿瘤分期和分化、阳性局部区域淋巴结以及危险因素。

患者、材料和方法:研究纳入了 129 名确诊为口腔癌的患者,并对其病历进行了分析。进行了统计分析,包括性别、年龄、肿瘤分期、分化程度、HP 亚型、淋巴结、定位和危险因素等变量。

结果

我们的结果表明,男性口腔癌的患病率较高(65.9%),鳞状细胞癌(SCC)是最常见的 HP 亚型。肿瘤分期表明,大多数为 T3 和 T4 肿瘤,局部区域淋巴结有扩散。在 52%的病例中,烟草被确定为一个危险因素,而烟草和酒精的联合作用在 28.3%的病例中存在。

结论

早期诊断对于提高口腔癌的生存率至关重要。口腔经常暴露于致癌物质,这些物质与其他危险因素一起,对口腔恶性肿瘤的发病率有影响。

https://cdn.ncbi.nlm.nih.gov/pmc/blobs/e825/8343614/d60e03e99995/RJME-61-4-1213-fig1.jpg

文献检索

告别复杂PubMed语法,用中文像聊天一样搜索,搜遍4000万医学文献。AI智能推荐,让科研检索更轻松。

立即免费搜索

文件翻译

保留排版,准确专业,支持PDF/Word/PPT等文件格式,支持 12+语言互译。

免费翻译文档

深度研究

AI帮你快速写综述,25分钟生成高质量综述,智能提取关键信息,辅助科研写作。

立即免费体验