Suppr超能文献

Osterix-Cre;Tgfbr2 小鼠的骨骼畸形可能导致出生后死亡。

Skeletal Deformities in Osterix-Cre;Tgfbr2 Mice May Cause Postnatal Death.

机构信息

Department of Veterinary Bioscience, The Ohio State University College of Veterinary Medicine, Columbus, OH 43210, USA.

Division of Biosciences, The Ohio State University College of Dentistry, Columbus, OH 43210, USA.

出版信息

Genes (Basel). 2021 Jun 25;12(7):975. doi: 10.3390/genes12070975.

Abstract

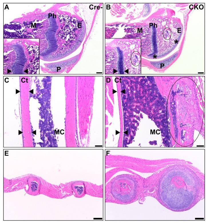
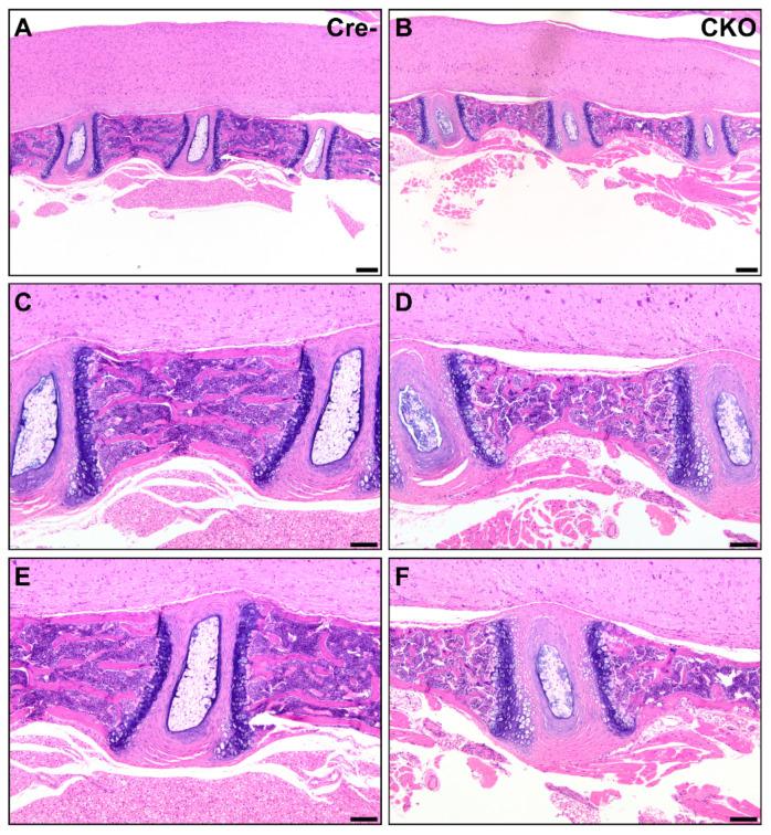
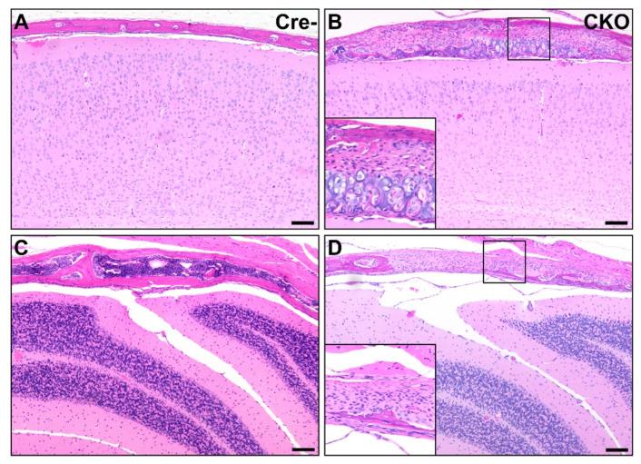
Transforming growth factor β (TGFβ) signaling plays an important role in skeletal development. We previously demonstrated that the loss of TGFβ receptor II (Tgfbr2) in Osterix-Cre-expressing mesenchyme results in defects in bones and teeth due to reduced proliferation and differentiation in pre-osteoblasts and pre-odontoblasts. These Osterix-Cre;Tgfbr2 mice typically die within approximately four weeks for unknown reasons. To investigate the cause of death, we performed extensive pathological analysis on Osterix-Cre- (Cre-), Osterix-Cre+;Tgfbr2 (HET), and Osterix-Cre+;Tgfbr2 (CKO) mice. We also crossed Osterix-Cre mice with the ROSA26mTmG reporter line to identify potential off-target Cre expression. The findings recapitulated published skeletal and tooth abnormalities and revealed previously unreported osteochondral dysplasia throughout both the appendicular and axial skeletons in the CKO mice, including the calvaria. Alterations to the nasal area and teeth suggest a potentially reduced capacity to sense and process food, while off-target Cre expression in the gastrointestinal tract may indicate an inability to absorb nutrients. Additionally, altered nasal passages and unexplained changes in diaphragmatic muscle support the possibility of hypoxia. We conclude that these mice likely died due to a combination of breathing difficulties, malnutrition, and starvation resulting primarily from skeletal deformities that decreased their ability to sense, gather, and process food.

摘要

转化生长因子 β (TGFβ) 信号在骨骼发育中起着重要作用。我们之前的研究表明,在 Osterix-Cre 表达的间充质中缺失 TGFβ 受体 II (Tgfbr2) 会导致骨骼和牙齿缺陷,原因是前成骨细胞和前成牙本质细胞的增殖和分化减少。由于未知原因,这些 Osterix-Cre;Tgfbr2 小鼠通常在大约四周内死亡。为了研究死亡原因,我们对 Osterix-Cre- (Cre-)、Osterix-Cre+;Tgfbr2 (HET) 和 Osterix-Cre+;Tgfbr2 (CKO) 小鼠进行了广泛的病理学分析。我们还将 Osterix-Cre 小鼠与 ROSA26mTmG 报告基因系杂交,以鉴定潜在的脱靶 Cre 表达。研究结果再现了已发表的骨骼和牙齿异常,并揭示了 CKO 小鼠四肢和轴骨中以前未报道的骨软骨发育不良,包括颅骨。鼻区和牙齿的改变表明潜在的感知和处理食物的能力降低,而胃肠道中的脱靶 Cre 表达可能表明吸收营养的能力丧失。此外,鼻道的改变和膈肌肌肉的不明原因变化支持缺氧的可能性。我们得出结论,这些小鼠可能因呼吸困难、营养不良和饥饿而死亡,主要是由于骨骼畸形导致它们感知、收集和处理食物的能力下降。

https://cdn.ncbi.nlm.nih.gov/pmc/blobs/78ca/8307487/88aea2464627/genes-12-00975-g001.jpg

文献AI研究员

20分钟写一篇综述,助力文献阅读效率提升50倍。

立即体验

用中文搜PubMed

大模型驱动的PubMed中文搜索引擎

马上搜索

文档翻译

学术文献翻译模型,支持多种主流文档格式。

立即体验