Suppr超能文献

存在肾后结肠情况下的开放性肾盂切开取石术:资源有限环境下的一种安全替代方法

Open Pyelolithotomy in the Presence of a Retro-Renal Colon: A Safe Alternative in Resource-Limited Settings.

作者信息

Rhudd Adrian R

机构信息

Urology, Mount St John's Medical Center, St John's, ATG.

出版信息

Cureus. 2021 Jun 22;13(6):e15827. doi: 10.7759/cureus.15827. eCollection 2021 Jun.

Abstract

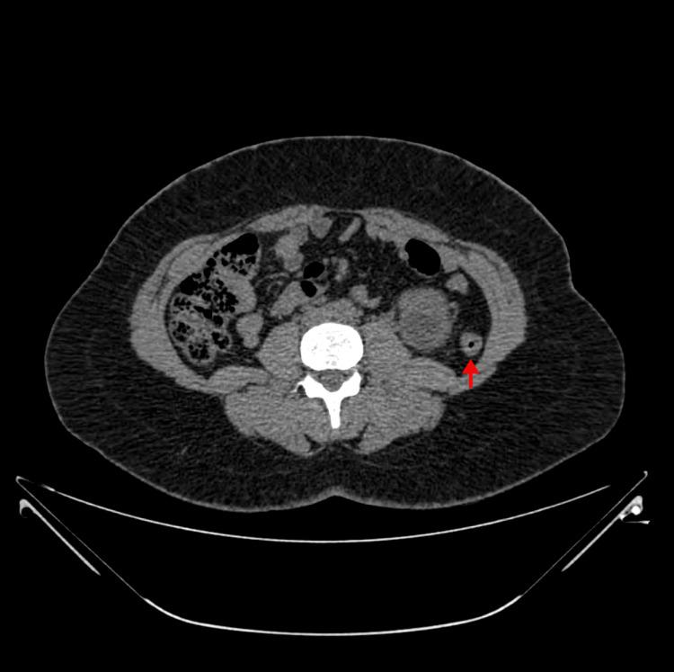
A retro-renal colon (RRC) is a rare but important anatomical variant to consider when planning percutaneous stone surgery. CT scanning of the abdomen is critical to detect this and to plan the surgical approach to avoid injury to the colon. In this case report, a 38-year-old woman with large obstructing bilateral symptomatic renal stones was found to have a left retro-renal colon on image review prior to left percutaneous nephrolithotomy. An open pyelolithotomy was performed to surgically remove the stone and to prevent any injury to the colon. An RRC can occur in up to 16% of patients undergoing percutaneous renal access. A CT scan is important to rule out this anatomical variant and to allow for surgical planning to avoid injury to the colon. The modern era of endourology has brought a significant reduction in open stone surgery. An open pyelolithotomy is still a safe option for stone removal if an RRC is detected preoperatively. Injury to the colon during percutaneous access can most commonly be managed conservatively. Occasionally open intervention may be required. An RRC detected on a preoperative CT scan may influence surgical planning and an open pyelolithotomy can be performed to safely remove renal stones and prevent colonic injury, especially in resource-limited settings.

摘要

肾后结肠(RRC)是一种罕见但重要的解剖变异,在规划经皮结石手术时需要考虑。腹部CT扫描对于检测这种情况并规划手术入路以避免结肠损伤至关重要。在本病例报告中,一名38岁患有双侧有症状的大型梗阻性肾结石的女性,在左侧经皮肾镜取石术前影像检查时发现有左肾后结肠。进行了开放性肾盂切开取石术以手术取出结石并防止对结肠造成任何损伤。肾后结肠在高达16%的接受经皮肾穿刺的患者中可能出现。CT扫描对于排除这种解剖变异并进行手术规划以避免结肠损伤很重要。现代腔内泌尿外科时代已使开放性结石手术显著减少。如果术前检测到肾后结肠,开放性肾盂切开取石术仍是取出结石的安全选择。经皮穿刺过程中对结肠的损伤通常可以保守处理。偶尔可能需要开放干预。术前CT扫描检测到肾后结肠可能会影响手术规划,并且可以进行开放性肾盂切开取石术以安全地取出肾结石并防止结肠损伤,特别是在资源有限的情况下。

https://cdn.ncbi.nlm.nih.gov/pmc/blobs/4ffe/8297111/601f5aa9a685/cureus-0013-00000015827-i01.jpg

文献AI研究员

20分钟写一篇综述,助力文献阅读效率提升50倍。

立即体验

用中文搜PubMed

大模型驱动的PubMed中文搜索引擎

马上搜索

文档翻译

学术文献翻译模型,支持多种主流文档格式。

立即体验