Suppr超能文献

计算机断层扫描的近期历史与未来展望。

Computed tomography recent history and future perspectives.

作者信息

Hsieh Jiang, Flohr Thomas

机构信息

GE Healthcare, Waukesha, Wisconsin, United States.

Siemens Healthineers, Erlangen, Germany.

出版信息

J Med Imaging (Bellingham). 2021 Sep;8(5):052109. doi: 10.1117/1.JMI.8.5.052109. Epub 2021 Aug 11.

Abstract

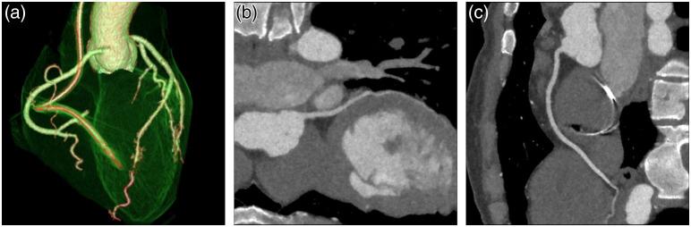
We provide a review of the key computed tomography (CT) technologies developed since the late 1980s and offer an overview of one of the future technologies under development. The focus of this review is mainly on the hardware and system development. The topics on the historical event linked to the early days of CT development and other innovations that contributed to the CT development, such as advanced image reconstruction techniques, are covered by companion papers in this special issue. The review is divided into five major sections, each linked to a key innovation in CT: helical spiral data acquisition, multi-slice CT, wide-cone CT, dual-source CT, and spectral CT. Given the limited scope of this review, only one of the future technologies, photon-counting CT, is discussed in detail. Whenever possible, both theory of operation and clinical examples are provided. Theoretical analyses, phantom results, and clinical examples clearly demonstrate the efficacy and clinical relevancy of five historical technology developments and one future technology in CT. These technologies have improved and will continue to improve CT performance in terms of isotropic volume coverage, improved temporal resolution, and material differentiation and characterization capabilities. Over the past 30 years, technological developments of CT have contributed to the success of CT in many clinical applications such as trauma, oncology, cardiac imaging, and stroke. Advanced clinical applications have and will continue to demand more advanced technology development.

摘要

我们回顾了自20世纪80年代末以来开发的关键计算机断层扫描(CT)技术,并概述了一种正在开发的未来技术。本综述的重点主要是硬件和系统开发。与CT早期发展相关的历史事件以及其他有助于CT发展的创新,如先进的图像重建技术等主题,在本期特刊的相关论文中有所涵盖。本综述分为五个主要部分,每个部分都与CT的一项关键创新相关:螺旋数据采集、多层CT、宽锥CT、双源CT和光谱CT。鉴于本综述的范围有限,仅详细讨论了一种未来技术——光子计数CT。只要有可能,都会提供操作原理和临床实例。理论分析、模型结果和临床实例清楚地证明了CT的五项历史技术发展和一项未来技术的有效性和临床相关性。这些技术已经并将继续在各向同性容积覆盖、提高时间分辨率以及物质区分和表征能力方面改善CT性能。在过去30年里,CT的技术发展推动了CT在创伤、肿瘤学、心脏成像和中风等许多临床应用中的成功。先进的临床应用已经并将继续需要更先进的技术发展。

https://cdn.ncbi.nlm.nih.gov/pmc/blobs/4892/8356941/4c3cd542ccce/JMI-008-052109-g001.jpg

文献AI研究员

20分钟写一篇综述,助力文献阅读效率提升50倍。

立即体验

用中文搜PubMed

大模型驱动的PubMed中文搜索引擎

马上搜索

文档翻译

学术文献翻译模型,支持多种主流文档格式。

立即体验