Suppr超能文献

人诱导多能干细胞衍生的原始心外膜细胞在体外指导心肌细胞的聚集、扩增和组织。

Human iPS-derived pre-epicardial cells direct cardiomyocyte aggregation expansion and organization in vitro.

机构信息

Center for Regenerative Medicine, Massachusetts General Hospital, Boston, MA, USA.

Harvard Medical School, Boston, MA, USA.

出版信息

Nat Commun. 2021 Aug 17;12(1):4997. doi: 10.1038/s41467-021-24921-z.

Abstract

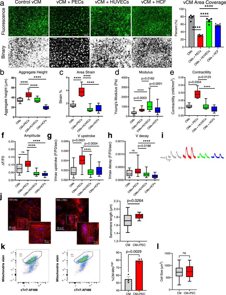
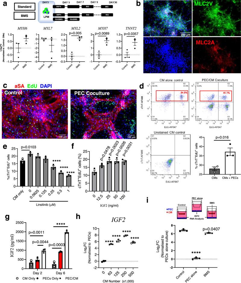
Epicardial formation is necessary for normal myocardial morphogenesis. Here, we show that differentiating hiPSC-derived lateral plate mesoderm with BMP4, RA and VEGF (BVR) can generate a premature form of epicardial cells (termed pre-epicardial cells, PECs) expressing WT1, TBX18, SEMA3D, and SCX within 7 days. BVR stimulation after Wnt inhibition of LPM demonstrates co-differentiation and spatial organization of PECs and cardiomyocytes (CMs) in a single 2D culture. Co-culture consolidates CMs into dense aggregates, which then form a connected beating syncytium with enhanced contractility and calcium handling; while PECs become more mature with significant upregulation of UPK1B, ITGA4, and ALDH1A2 expressions. Our study also demonstrates that PECs secrete IGF2 and stimulate CM proliferation in co-culture. Three-dimensional PEC-CM spheroid co-cultures form outer smooth muscle cell layers on cardiac micro-tissues with organized internal luminal structures. These characteristics suggest PECs could play a key role in enhancing tissue organization within engineered cardiac constructs in vitro.

摘要

心外膜形成对于正常心肌形态发生是必要的。在这里,我们表明,用 BMP4、RA 和 VEGF(BVR)分化 hiPSC 衍生的侧板中胚层,可以在 7 天内产生表达 WT1、TBX18、SEMA3D 和 SCX 的早期心外膜细胞(称为前心外膜细胞,PEC)。在 LPM 的 Wnt 抑制后进行 BVR 刺激,表明 PEC 和心肌细胞(CM)在单个 2D 培养中共同分化和空间组织。共培养将 CMs 整合到密集的聚集体中,然后形成具有增强的收缩性和钙处理能力的连接性搏动合胞体;而 PEC 变得更加成熟,UPK1B、ITGA4 和 ALDH1A2 的表达显著上调。我们的研究还表明,PEC 分泌 IGF2 并在共培养中刺激 CM 增殖。三维 PEC-CM 球体共培养在心脏微组织上形成具有组织内部腔结构的外平滑肌细胞层。这些特征表明 PEC 可以在体外增强工程化心脏构建体中的组织组织。

https://cdn.ncbi.nlm.nih.gov/pmc/blobs/38fa/8370973/6954f3a19073/41467_2021_24921_Fig1_HTML.jpg

文献检索

告别复杂PubMed语法,用中文像聊天一样搜索,搜遍4000万医学文献。AI智能推荐,让科研检索更轻松。

立即免费搜索

文件翻译

保留排版,准确专业,支持PDF/Word/PPT等文件格式,支持 12+语言互译。

免费翻译文档

深度研究

AI帮你快速写综述,25分钟生成高质量综述,智能提取关键信息,辅助科研写作。

立即免费体验