Suppr超能文献

9岁儿童腭部小唾液腺巨大肌上皮瘤罕见病例。

Rare case of giant myoepithelioma in minor salivary glands of palate in a 9-year-old child.

作者信息

Patankar Swapna, Sharma Reshmi, Patankar Amod, Kulkarni Venkatesh

机构信息

Department of Oral and Maxillofacial Pathology and Oral Microbiology, Bharati Vidyapeeth Dental College and Hospital, Pune, Maharashtra, India.

Department of Oral and Maxillofacial Surgery, Bharati Vidyapeeth Dental College and Hospital, Pune, Maharashtra, India.

出版信息

Natl J Maxillofac Surg. 2021 May-Aug;12(2):284-288. doi: 10.4103/njms.NJMS_16_19. Epub 2021 Jul 15.

Abstract

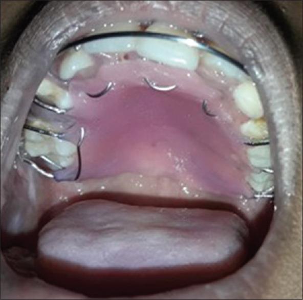
Myoepitheliomas (MEs) are extremely rare benign neoplasms composed of ectodermally derived contractile smooth muscle cells (myoepithelial cells). Various tissues such as the salivary glands, breast, larynx, and sweat glands show the presence of these myoepithelial cells. They occur, principally, in the parotid gland and infrequently in minor salivary glands. The term "Myoepitheliomas" was first coined by Sheldon in 1943. It is an uncommon salivary gland tumor which accounts for < 1% of all major and minor salivary gland tumors. Batasakis considers the ME to be "one-sided" variant at the opposite end of the spectrum from the pleomorphic adenoma. There are distinct histological and immunohistochemical characteristics of the tumor which aid in the diagnosis. ME of the palate is uncommon, and only a limited number of cases have been reported in the English literature. It shows a benign clinical course with recurrence in up to 20% of cases without metastasis. The present article sheds light on the presence of ME of minor salivary glands in the palate of 9-year-old child.

摘要

肌上皮瘤(MEs)是一种极其罕见的良性肿瘤,由外胚层来源的收缩性平滑肌细胞(肌上皮细胞)组成。唾液腺、乳腺、喉和汗腺等各种组织中都存在这些肌上皮细胞。它们主要发生在腮腺,很少发生在小唾液腺。“肌上皮瘤”一词最早由谢尔登于1943年提出。它是一种不常见的唾液腺肿瘤,占所有大、小唾液腺肿瘤的比例不到1%。巴塔萨基斯认为肌上皮瘤是多形性腺瘤谱系另一端的“单侧”变体。该肿瘤具有独特的组织学和免疫组化特征,有助于诊断。腭部肌上皮瘤并不常见,英文文献中仅报道了少数病例。它表现为良性临床病程,高达20%的病例会复发,但无转移。本文揭示了一名9岁儿童腭部小唾液腺肌上皮瘤的存在情况。

https://cdn.ncbi.nlm.nih.gov/pmc/blobs/d918/8386264/f1db23f8dc86/NJMS-12-284-g001.jpg

文献检索

告别复杂PubMed语法,用中文像聊天一样搜索,搜遍4000万医学文献。AI智能推荐,让科研检索更轻松。

立即免费搜索

文件翻译

保留排版,准确专业,支持PDF/Word/PPT等文件格式,支持 12+语言互译。

免费翻译文档

深度研究

AI帮你快速写综述,25分钟生成高质量综述,智能提取关键信息,辅助科研写作。

立即免费体验