• 文献检索
  • 文档翻译
  • 深度研究
  • 学术资讯
  • Suppr Zotero 插件Zotero 插件
  • 邀请有礼
  • 套餐&价格
  • 历史记录
应用&插件
Suppr Zotero 插件Zotero 插件浏览器插件Mac 客户端Windows 客户端微信小程序
定价
高级版会员购买积分包购买API积分包
服务
文献检索文档翻译深度研究API 文档MCP 服务
关于我们
关于 Suppr公司介绍联系我们用户协议隐私条款
关注我们

Suppr 超能文献

核心技术专利:CN118964589B侵权必究
粤ICP备2023148730 号-1Suppr @ 2026

文献检索

告别复杂PubMed语法,用中文像聊天一样搜索,搜遍4000万医学文献。AI智能推荐,让科研检索更轻松。

立即免费搜索

文件翻译

保留排版,准确专业,支持PDF/Word/PPT等文件格式,支持 12+语言互译。

免费翻译文档

深度研究

AI帮你快速写综述,25分钟生成高质量综述,智能提取关键信息,辅助科研写作。

立即免费体验

在人类中,超生理剂量的葡萄糖负荷后纹状体多巴胺转运体(DAT)可用性不变。

Striatal DAT availability does not change after supraphysiological glucose loading dose in humans.

作者信息

Pak Kyoungjune, Seo Seongho, Lee Myung Jun, Kim Keunyoung, Suh Sunghwan, Im Hyung-Jun, Kim In Joo

机构信息

Department of Nuclear Medicine and Biomedical Research Institute, Pusan National University Hospital, Busan, Republic of Korea.

Department of Electronic Engineering, Pai Chai University, Daejeon, Republic of Korea.

出版信息

Endocr Connect. 2021 Oct 7;10(10):1266-1272. doi: 10.1530/EC-21-0355.

DOI:10.1530/EC-21-0355
PMID:34491899
原文链接:https://pmc.ncbi.nlm.nih.gov/articles/PMC8558882/
Abstract

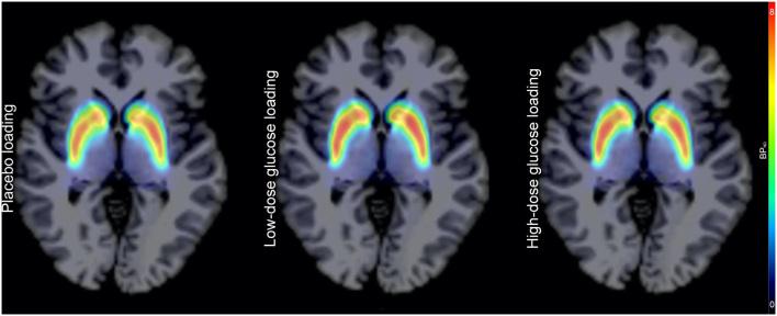
Brain dopamine neurotransmission is regulated by the dopamine transporter (DAT), which drives reuptake of extracellular dopamine into the presynaptic neurons. We hypothesized that the glucose loading dose would affect the striatal DAT availability. An i.v. bolus injection of 18F-FP-CIT was administered after infusion of low-dose glucose (300 mg/kg), high-dose glucose (600 mg/kg) or placebo (normal saline). The emission data were acquired over 90 min in 23 healthy male subjects. Substantial increases of binding potential (BPNDs) from ventral striatum (VST), caudate nucleus, and putamen were observed after low-dose glucose loading (+26.0, +87.0, and +37.8%) and after high-dose glucose loading (+10.4, +51.9, and +22.0%). BPNDs of the caudate nucleus and putamen showed significant differences (P = 0.0472 and 0.0221) after placebo, low-dose glucose, and high-dose glucose loading. BPNDs in the caudate nucleus and putamen after placebo, low-dose glucose, and high-dose glucose loading were positively intercorrelated with each other. In conclusion, striatal DAT changes after physiological glucose loading, but not after supraphysiological glucose loading in humans. DAT availabilities after placebo, low-dose glucose, high-dose glucose loading were correlated to each other in the caudate nucleus and putamen, but not in the VST. Therefore, sub-regional variability in DAT regulatory mechanisms mediated by insulin may exist in humans.

摘要

脑多巴胺神经传递受多巴胺转运体(DAT)调节,DAT驱动细胞外多巴胺重新摄取到突触前神经元中。我们推测葡萄糖负荷剂量会影响纹状体DAT的可用性。在输注低剂量葡萄糖(300mg/kg)、高剂量葡萄糖(600mg/kg)或安慰剂(生理盐水)后,静脉推注18F-FP-CIT。在23名健康男性受试者中采集了90分钟的发射数据。低剂量葡萄糖负荷(分别增加26.0%、87.0%和37.8%)和高剂量葡萄糖负荷(分别增加10.4%、51.9%和22.0%)后,观察到腹侧纹状体(VST)、尾状核和壳核的结合潜能(BPNDs)显著增加。安慰剂、低剂量葡萄糖和高剂量葡萄糖负荷后,尾状核和壳核的BPNDs存在显著差异(P = 0.0472和0.0221)。安慰剂、低剂量葡萄糖和高剂量葡萄糖负荷后,尾状核和壳核的BPNDs彼此呈正相关。总之,在人体中,生理性葡萄糖负荷后纹状体DAT发生变化,而超生理性葡萄糖负荷后则无变化。安慰剂、低剂量葡萄糖和高剂量葡萄糖负荷后,尾状核和壳核的DAT可用性彼此相关,但在VST中不相关。因此,人类可能存在胰岛素介导的DAT调节机制的亚区域变异性。

https://cdn.ncbi.nlm.nih.gov/pmc/blobs/5f32/8558882/77fa9d978738/EC-21-0355fig4.jpg
https://cdn.ncbi.nlm.nih.gov/pmc/blobs/5f32/8558882/01da6dfb79b2/EC-21-0355fig1.jpg
https://cdn.ncbi.nlm.nih.gov/pmc/blobs/5f32/8558882/ec35baba7bae/EC-21-0355fig2.jpg
https://cdn.ncbi.nlm.nih.gov/pmc/blobs/5f32/8558882/fbf87b3daf5f/EC-21-0355fig3.jpg
https://cdn.ncbi.nlm.nih.gov/pmc/blobs/5f32/8558882/77fa9d978738/EC-21-0355fig4.jpg
https://cdn.ncbi.nlm.nih.gov/pmc/blobs/5f32/8558882/01da6dfb79b2/EC-21-0355fig1.jpg
https://cdn.ncbi.nlm.nih.gov/pmc/blobs/5f32/8558882/ec35baba7bae/EC-21-0355fig2.jpg
https://cdn.ncbi.nlm.nih.gov/pmc/blobs/5f32/8558882/fbf87b3daf5f/EC-21-0355fig3.jpg
https://cdn.ncbi.nlm.nih.gov/pmc/blobs/5f32/8558882/77fa9d978738/EC-21-0355fig4.jpg

相似文献

1
Striatal DAT availability does not change after supraphysiological glucose loading dose in humans.在人类中,超生理剂量的葡萄糖负荷后纹状体多巴胺转运体(DAT)可用性不变。
Endocr Connect. 2021 Oct 7;10(10):1266-1272. doi: 10.1530/EC-21-0355.
2
Striatal dopamine transporter changes after glucose loading in humans.葡萄糖负荷后人类纹状体多巴胺转运体的变化。
Diabetes Obes Metab. 2020 Jan;22(1):116-122. doi: 10.1111/dom.13872. Epub 2019 Sep 30.
3
Hedonic Rating of Sucrose Is Sub-Regionally Associated with Striatal Dopamine Transporter in Humans.人类蔗糖快感评分与纹状体多巴胺转运体呈亚区相关。
Neuroendocrinology. 2022;112(4):338-344. doi: 10.1159/000517319. Epub 2021 May 25.
4
SLC6A3 gene polymorphisms are associated with striatal dopamine transporter changes after glucose loading.SLC6A3 基因多态性与葡萄糖负荷后纹状体多巴胺转运体的变化有关。
Synapse. 2022 Feb;76(1-2):e22223. doi: 10.1002/syn.22223. Epub 2022 Feb 14.
5
No association of Brain-derived neurotrophic factor with striatal dopamine transporter availability in healthy subjects.健康受试者脑源性神经营养因子与纹状体多巴胺转运体可用性之间不存在关联。
Nuklearmedizin. 2021 Dec;60(6):434-437. doi: 10.1055/a-1521-8572. Epub 2021 Jul 13.
6
Striatal presynaptic dopaminergic dysfunction in gambling disorder: A I-FP-CIT SPECT study.赌博障碍患者纹状体突触前多巴胺能功能障碍:一项 I-FP-CIT SPECT 研究。
Addict Biol. 2019 Sep;24(5):1077-1086. doi: 10.1111/adb.12677. Epub 2018 Sep 18.
7
The association of DAT gene methylation with striatal DAT availability in healthy subjects.健康受试者中多巴胺转运体(DAT)基因甲基化与纹状体DAT可用性的关联。
EJNMMI Res. 2021 Jun 12;11(1):58. doi: 10.1186/s13550-021-00800-y.
8
Serial dopamine transporter imaging of nigrostriatal function in patients with idiopathic rapid-eye-movement sleep behaviour disorder: a prospective study.特发性快速眼动睡眠行为障碍患者黑质纹状体功能的连续多巴胺转运体成像:一项前瞻性研究。
Lancet Neurol. 2011 Sep;10(9):797-805. doi: 10.1016/S1474-4422(11)70152-1. Epub 2011 Jul 28.
9
Serotonin transporter is negatively associated with body mass index after glucose loading in humans.血清素转运蛋白与人体葡萄糖负荷后的体重指数呈负相关。
Brain Imaging Behav. 2022 Jun;16(3):1246-1251. doi: 10.1007/s11682-021-00600-x. Epub 2022 Jan 3.
10
Correlation between the availability of dopamine transporter and olfactory function in healthy subjects.健康受试者中多巴胺转运体的可用性与嗅觉功能的相关性。
Eur Radiol. 2018 Apr;28(4):1756-1760. doi: 10.1007/s00330-017-5147-7. Epub 2017 Nov 21.

引用本文的文献

1
Imaging Procedure and Clinical Studies of [F]FP-CIT PET.[F]FP-CIT正电子发射断层扫描的成像程序与临床研究
Nucl Med Mol Imaging. 2024 Jun;58(4):185-202. doi: 10.1007/s13139-024-00840-x. Epub 2024 Jan 17.

本文引用的文献

1
Striatal dopamine transporter changes after glucose loading in humans.葡萄糖负荷后人类纹状体多巴胺转运体的变化。
Diabetes Obes Metab. 2020 Jan;22(1):116-122. doi: 10.1111/dom.13872. Epub 2019 Sep 30.
2
The Effect of Obesity on the Availabilities of Dopamine and Serotonin Transporters.肥胖对多巴胺和血清素转运体可用性的影响。
Sci Rep. 2018 Mar 21;8(1):4924. doi: 10.1038/s41598-018-22814-8.
3
Obesity and Brain Positron Emission Tomography.肥胖与脑部正电子发射断层扫描
Nucl Med Mol Imaging. 2018 Feb;52(1):16-23. doi: 10.1007/s13139-017-0483-8. Epub 2017 May 19.
4
The role of central dopamine and serotonin in human obesity: lessons learned from molecular neuroimaging studies.中枢多巴胺和 5-羟色胺在人类肥胖中的作用:分子神经影像学研究的启示。
Metabolism. 2018 Aug;85:325-339. doi: 10.1016/j.metabol.2017.09.007. Epub 2017 Sep 29.
5
Insulin signalling: new target for Parkinson's treatments?胰岛素信号传导:帕金森病治疗的新靶点?
Lancet. 2017 Oct 7;390(10103):1628-1630. doi: 10.1016/S0140-6736(17)32101-3. Epub 2017 Aug 3.
6
Exenatide once weekly versus placebo in Parkinson's disease: a randomised, double-blind, placebo-controlled trial.每周一次依替巴肽对比安慰剂治疗帕金森病:一项随机、双盲、安慰剂对照试验。
Lancet. 2017 Oct 7;390(10103):1664-1675. doi: 10.1016/S0140-6736(17)31585-4. Epub 2017 Aug 3.
7
Insulin resistance in Alzheimer's disease.阿尔茨海默病中的胰岛素抵抗。
Transl Res. 2017 May;183:26-40. doi: 10.1016/j.trsl.2016.12.005. Epub 2016 Dec 13.
8
Effects of diet and insulin on dopamine transporter activity and expression in rat caudate-putamen, nucleus accumbens, and midbrain.饮食和胰岛素对大鼠尾状核-壳核、伏隔核及中脑多巴胺转运体活性和表达的影响。
J Neurochem. 2017 Mar;140(5):728-740. doi: 10.1111/jnc.13930. Epub 2017 Jan 31.
9
Insulin enhances striatal dopamine release by activating cholinergic interneurons and thereby signals reward.胰岛素通过激活胆碱能中间神经元增强纹状体多巴胺释放,从而传递奖励信号。
Nat Commun. 2015 Oct 27;6:8543. doi: 10.1038/ncomms9543.
10
Impaired insulin action in the human brain: causes and metabolic consequences.人类大脑中胰岛素作用受损:原因和代谢后果。
Nat Rev Endocrinol. 2015 Dec;11(12):701-11. doi: 10.1038/nrendo.2015.173. Epub 2015 Oct 13.