University of Chicago Medical Center, 5841S. Maryland Avenue, Chicago, IL, 60637, USA.
Department of Neurology, University of Chicago Medical Center, 5841S. Maryland Avenue, Chicago, IL, 60637, USA.
Nat Commun. 2021 Oct 15;12(1):6025. doi: 10.1038/s41467-021-26303-x.
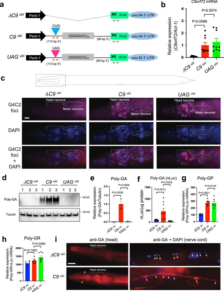
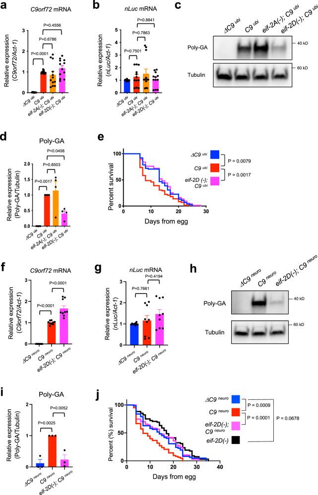
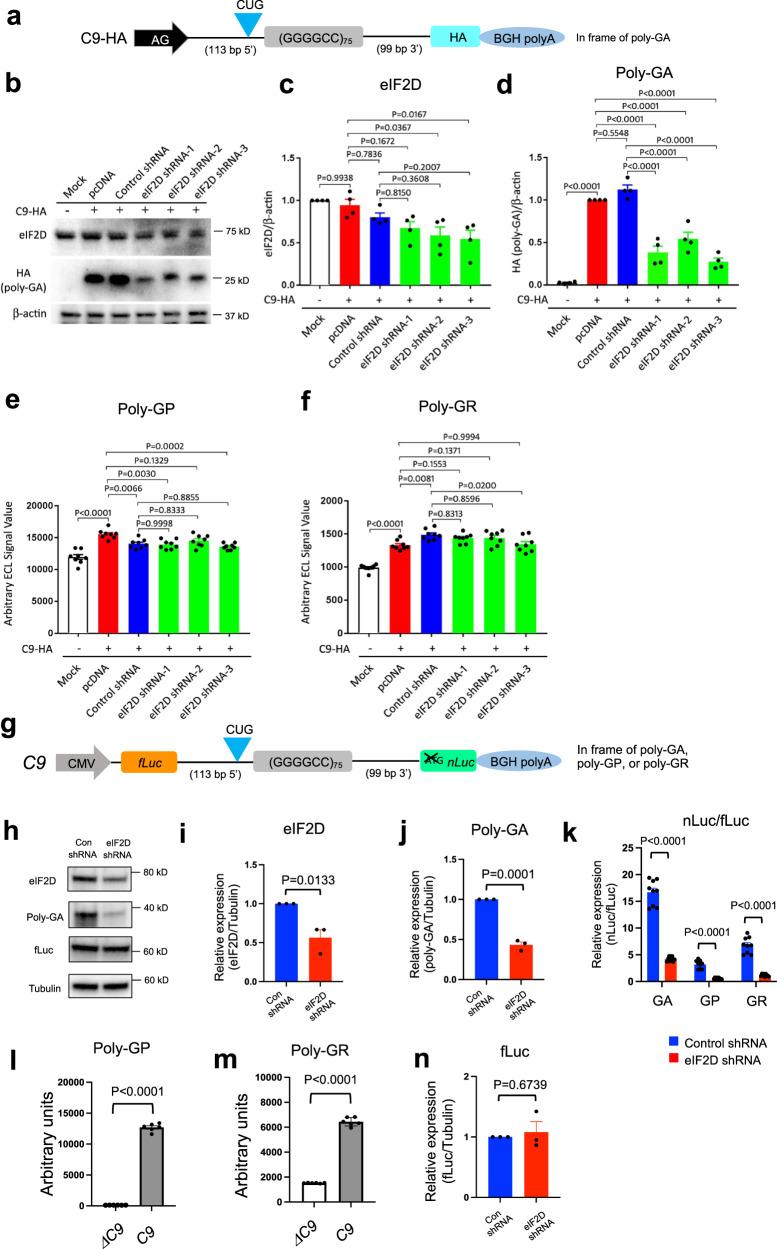
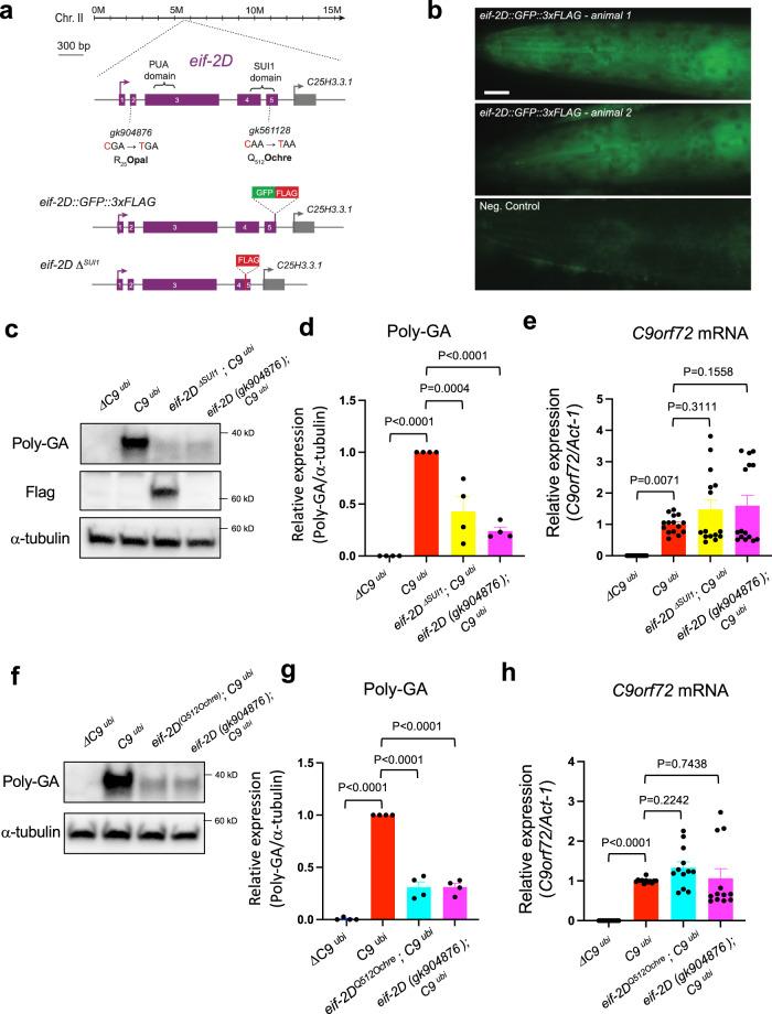
A hexanucleotide repeat expansion GGGGCC in the non-coding region of C9orf72 is the most common cause of inherited amyotrophic lateral sclerosis (ALS) and frontotemporal dementia (FTD). Toxic dipeptide repeats (DPRs) are synthesized from GGGGCC via repeat-associated non-AUG (RAN) translation. Here, we develop C. elegans models that express, either ubiquitously or exclusively in neurons, 75 GGGGCC repeats flanked by intronic C9orf72 sequence. The worms generate DPRs (poly-glycine-alanine [poly-GA], poly-glycine-proline [poly-GP]) and poly-glycine-arginine [poly-GR]), display neurodegeneration, and exhibit locomotor and lifespan defects. Mutation of a non-canonical translation-initiating codon (CUG) upstream of the repeats selectively reduces poly-GA steady-state levels and ameliorates disease, suggesting poly-GA is pathogenic. Importantly, loss-of-function mutations in the eukaryotic translation initiation factor 2D (eif-2D/eIF2D) reduce poly-GA and poly-GP levels, and increase lifespan in both C. elegans models. Our in vitro studies in mammalian cells yield similar results. Here, we show a conserved role for eif-2D/eIF2D in DPR expression.
六核苷酸重复扩增 GGGGCC 位于 C9orf72 的非编码区,是遗传性肌萎缩侧索硬化症(ALS)和额颞叶痴呆(FTD)最常见的原因。毒性二肽重复序列(DPRs)是通过重复相关的非 AUG(RAN)翻译从 GGGGCC 合成的。在这里,我们开发了 C. elegans 模型,这些模型在神经元中或神经元中广泛表达 75 个 GGGGCC 重复序列,其侧翼为 C9orf72 序列。这些蠕虫产生 DPRs(聚甘氨酸-丙氨酸[poly-GA]、聚甘氨酸-脯氨酸[poly-GP])和聚甘氨酸-精氨酸[poly-GR]),表现出神经退行性变,并表现出运动和寿命缺陷。重复上游非典型翻译起始密码子(CUG)的突变选择性降低了 poly-GA 的稳态水平并改善了疾病,表明 poly-GA 具有致病性。重要的是,真核翻译起始因子 2D(eif-2D/eIF2D)的功能丧失突变降低了 C. elegans 模型中的 poly-GA 和 poly-GP 水平,并延长了寿命。我们在哺乳动物细胞中的体外研究也得出了类似的结果。在这里,我们展示了 eif-2D/eIF2D 在 DPR 表达中的保守作用。