Suppr超能文献

杂交手术室中多发性巨大肝囊肿的治疗:一例报告

Treatment of multiple huge liver cysts in a hybrid operating room: a case report.

作者信息

Ishikawa Sho, Kuroda Shintaro, Chosa Keigo, Okada Kenjiro, Tanimine Naoki, Tahara Hiroyuki, Ohira Masahiro, Ide Kentaro, Kobayashi Tsuyoshi, Ohdan Hideki

机构信息

Department of Surgery, Kure City Medical Association Hospital, 15-24, Asahimachi, Kure-City, Hiroshima, 737-0056, Japan.

Department of Gastroenterological Surgery, Hiroshima University Hospital, 1-2-3 Kasumi, Minami-ku, Hiroshima, 734-8551, Japan.

出版信息

Surg Case Rep. 2021 Oct 29;7(1):232. doi: 10.1186/s40792-021-01320-6.

Abstract

BACKGROUND

Liver cysts are common, with most cases being asymptomatic. In symptomatic cases, the disease is amenable to treatment. However, huge or multiple liver cysts with vascular narrowing and associated systemic symptoms are extremely rare. Furthermore, the performance of a reliable and effective surgery in such cases remains a major problem. Here, we report a case of multiple giant liver cysts with impaired blood flow surgically treated in a hybrid operating room.

CASE PRESENTATION

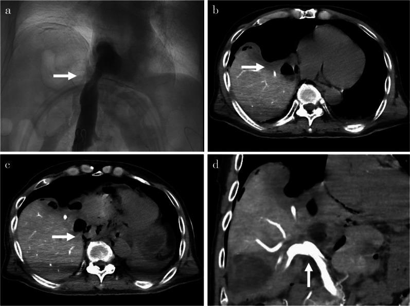
A 73-year-old male presented to a previous doctor with leg edema and dyspnea on exertion; computed tomography revealed that the cause complaint was right lung and heart compression and inferior vena cava (IVC) stenosis due to huge liver cysts in the caudal lobe. The patient was referred to our hospital because of disease recurrence despite percutaneous aspiration of the cyst. Multiple liver cysts were observed in addition to the drained cysts, two of which were located on both sides of the IVC and caused IVC stenosis. We performed open surgery for the liver cysts and used the hybrid operating room for intraoperative IVC angiography and measuring the hepatic vein and portal vein (PV) pressure. We performed unroofing of the hepatic cyst and cauterization of the cyst wall on the hepatic side. Angiography was performed before and after unroofing of the liver cysts, and IVC stenosis release was confirmed. IVC pressure measured at the peripheral side of the stenosis and PV pressures were continuously measured during surgery and were confirmed to have decreased during the opening of the liver cysts. The patient had a good postoperative course and was discharged on the 10th postoperative day. No recurrence was observed 6 months postoperatively.

CONCLUSIONS

Cyst unroofing surgery using angiography in a hybrid operating room is a useful treatment for deep hepatic lesions in that vascular stenosis improvement can be intraoperatively confirmed. Moreover, in cases wherein the cyst compresses the vasculature, intraoperative monitoring of IVC and PV pressures can be used to prove that the liver cyst is hemodynamically involved.

摘要

背景

肝囊肿很常见,大多数病例无症状。有症状的病例可进行治疗。然而,巨大或多发肝囊肿伴有血管狭窄及相关全身症状极为罕见。此外,在此类病例中实施可靠且有效的手术仍是一个主要问题。在此,我们报告一例在杂交手术室接受手术治疗的多发巨大肝囊肿伴血流受损的病例。

病例介绍

一名73岁男性因腿部水肿和劳力性呼吸困难就诊于前一位医生;计算机断层扫描显示,病因是尾叶巨大肝囊肿导致右肺和心脏受压以及下腔静脉(IVC)狭窄。尽管对囊肿进行了经皮穿刺抽吸,但由于疾病复发,该患者被转诊至我院。除了已引流的囊肿外,还观察到多发肝囊肿,其中两个位于IVC两侧并导致IVC狭窄。我们对肝囊肿实施了开放手术,并在杂交手术室进行术中IVC血管造影以及测量肝静脉和门静脉(PV)压力。我们对肝囊肿进行去顶术并烧灼肝侧囊肿壁。在肝囊肿去顶术前后进行血管造影,并确认IVC狭窄解除。在狭窄外周侧测量IVC压力,并在手术过程中持续测量PV压力,且在肝囊肿开放期间确认压力下降。患者术后恢复良好,术后第10天出院。术后6个月未观察到复发。

结论

在杂交手术室使用血管造影进行囊肿去顶手术是治疗深部肝脏病变的一种有用方法,因为可以在术中确认血管狭窄改善情况。此外,在囊肿压迫脉管系统的病例中,术中监测IVC和PV压力可用于证明肝囊肿在血流动力学方面存在影响。

https://cdn.ncbi.nlm.nih.gov/pmc/blobs/d631/8556466/ca98a02d756e/40792_2021_1320_Fig1_HTML.jpg

文献检索

告别复杂PubMed语法,用中文像聊天一样搜索,搜遍4000万医学文献。AI智能推荐,让科研检索更轻松。

立即免费搜索

文件翻译

保留排版,准确专业,支持PDF/Word/PPT等文件格式,支持 12+语言互译。

免费翻译文档

深度研究

AI帮你快速写综述,25分钟生成高质量综述,智能提取关键信息,辅助科研写作。

立即免费体验