Suppr超能文献

采用运动学对线技术植入全膝关节置换术(TKA)的具体病例考量。

Specific case consideration for implanting TKA with the Kinematic Alignment technique.

作者信息

Rivière Charles, Jackson William, Villet Loïc, Sivaloganathan Sivan, Barziv Yaron, Vendittoli Pascal-André

机构信息

Clinique du Sport, Bordeaux-Mérignac, France.

Personalized Arthroplasty Society, Atlanta, Georgia, USA.

出版信息

EFORT Open Rev. 2021 Oct 19;6(10):881-891. doi: 10.1302/2058-5241.6.210042. eCollection 2021 Oct.

Abstract

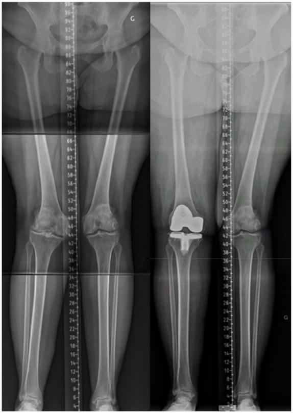
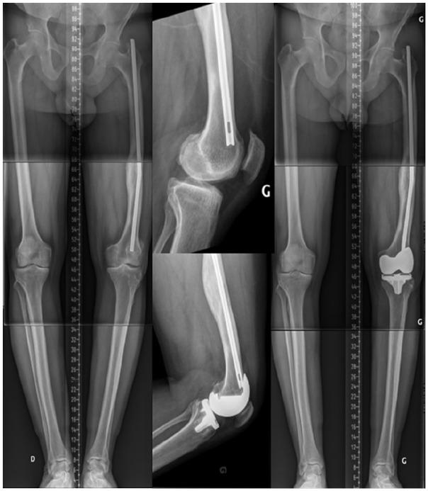
The Kinematic Alignment (KA) technique for total knee arthroplasty (TKA) is an alternative surgical technique aiming to resurface knee articular surfaces.The restricted KA (rKA) technique for TKA applies boundaries to the KA technique in order to avoid reproducing extreme constitutional limb/knee anatomies.The vast majority of TKA cases are straightforward and can be performed with KA in a standard (unrestricted) fashion.There are some specific situations where performing KA TKA may be more challenging (complex KA TKA cases) and surgical technique adaptations should be included.To secure good clinical outcomes, complex KA TKA cases must be preoperatively recognized, and planned accordingly.The proposed classification system describes six specific issues that must be considered when aiming for a KA TKA implantation.Specific recommendations for each situation type should improve the reliability of the prosthetic implantation to the benefit of the patient.The proposed classification system could contribute to the adoption of a common language within our orthopaedic community that would ease inter-surgeon communication and could benefit the teaching of the KA technique. This proposed classification system is not exhaustive and will certainly be improved over time. Cite this article: 2021;6:881-891. DOI: 10.1302/2058-5241.6.210042.

摘要

全膝关节置换术(TKA)的运动学对线(KA)技术是一种旨在对膝关节关节面进行表面置换的替代手术技术。TKA的受限KA(rKA)技术对KA技术应用了边界条件,以避免重现极端的肢体/膝关节解剖结构。绝大多数TKA病例较为简单,可以采用标准(非受限)方式的KA技术进行手术。在一些特定情况下,实施KA TKA可能更具挑战性(复杂KA TKA病例),应包括手术技术的调整。为确保良好的临床效果,复杂KA TKA病例必须在术前识别并进行相应规划。所提出的分类系统描述了在进行KA TKA植入时必须考虑的六个具体问题。针对每种情况类型的具体建议应提高假体植入的可靠性,从而使患者受益。所提出的分类系统有助于在我们的骨科领域采用一种通用语言,这将便于外科医生之间的交流,并可能有益于KA技术的教学。这个提出的分类系统并不详尽,肯定会随着时间的推移而改进。引用本文:2021;6:881 - 891。DOI:10.1302/2058 - 5241.6.210042。

https://cdn.ncbi.nlm.nih.gov/pmc/blobs/c634/8559564/8f99516f9133/eor-6-881-g001.jpg

文献检索

告别复杂PubMed语法,用中文像聊天一样搜索,搜遍4000万医学文献。AI智能推荐,让科研检索更轻松。

立即免费搜索

文件翻译

保留排版,准确专业,支持PDF/Word/PPT等文件格式,支持 12+语言互译。

免费翻译文档

深度研究

AI帮你快速写综述,25分钟生成高质量综述,智能提取关键信息,辅助科研写作。

立即免费体验