Suppr超能文献

肌原纤维肌病最初被诊断为伴有 2 型呼吸衰竭的右心衰竭。

Nemaline Myopathy Initially Diagnosed as Right Heart Failure with Type 2 Respiratory Failure.

机构信息

Department of Neurology, Fujita Health University School of Medicine, Japan.

Department of Neurology, Fujita Health University Bantane Hospital, Japan.

出版信息

Intern Med. 2022 Jun 15;61(12):1897-1901. doi: 10.2169/internalmedicine.8314-21. Epub 2021 Nov 13.

Abstract

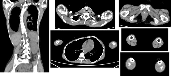
Nemaline myopathy (NM) is a rare muscle disease with various clinical types. In some cases, NM can lead to type 2 respiratory failure and right heart failure. We herein report a patient with congenital NM with nebulin gene mutation who presented with acute right heart failure and type 2 respiratory failure due to respiratory muscle paralysis after upper respiratory tract infection, needing a permanent ventilator for assistance. However, the limb and trunk muscle strengths were within normal limits. This case showed that NM should be considered as a cause of right heart failure and type 2 respiratory failure.

摘要

肌强直性营养不良(NM)是一种罕见的肌肉疾病,具有多种临床类型。在某些情况下,NM 可导致 2 型呼吸衰竭和右心衰竭。本研究报告了 1 例先天性 NM 合并 nebulin 基因突变的患者,该患者因上呼吸道感染后呼吸肌麻痹而出现急性右心衰竭和 2 型呼吸衰竭,需要永久性呼吸机辅助。然而,四肢和躯干肌肉力量均在正常范围内。该病例表明 NM 应被视为右心衰竭和 2 型呼吸衰竭的病因之一。

https://cdn.ncbi.nlm.nih.gov/pmc/blobs/8871/9259818/7ac5b4ae558f/1349-7235-61-1897-g001.jpg

文献检索

告别复杂PubMed语法,用中文像聊天一样搜索,搜遍4000万医学文献。AI智能推荐,让科研检索更轻松。

立即免费搜索

文件翻译

保留排版,准确专业,支持PDF/Word/PPT等文件格式,支持 12+语言互译。

免费翻译文档

深度研究

AI帮你快速写综述,25分钟生成高质量综述,智能提取关键信息,辅助科研写作。

立即免费体验