Suppr超能文献

Tau 通过 PQBP1-cGAS-STING 通路激活小胶质细胞,促进大脑炎症。

Tau activates microglia via the PQBP1-cGAS-STING pathway to promote brain inflammation.

机构信息

Department of Neuropathology, Medical Research Institute and Center for Brain Integration Research, Tokyo Medical and Dental University, 1-5-45 Yushima, Bunkyo-ku, Tokyo, 113-8510, Japan.

Department of Psychiatry, Graduate School of Medical and Dental Sciences, Tokyo Medical and Dental University, 1-5-45 Yushima, Bunkyo-ku, Tokyo, 113-8510, Japan.

出版信息

Nat Commun. 2021 Nov 15;12(1):6565. doi: 10.1038/s41467-021-26851-2.

Abstract

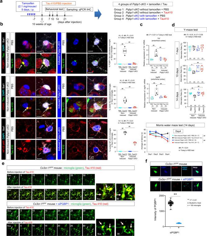
Brain inflammation generally accompanies and accelerates neurodegeneration. Here we report a microglial mechanism in which polyglutamine binding protein 1 (PQBP1) senses extrinsic tau 3R/4R proteins by direct interaction and triggers an innate immune response by activating a cyclic GMP-AMP synthase (cGAS)-Stimulator of interferon genes (STING) pathway. Tamoxifen-inducible and microglia-specific depletion of PQBP1 in primary culture in vitro and mouse brain in vivo shows that PQBP1 is essential for sensing-tau to induce nuclear translocation of nuclear factor κB (NFκB), NFκB-dependent transcription of inflammation genes, brain inflammation in vivo, and eventually mouse cognitive impairment. Collectively, PQBP1 is an intracellular receptor in the cGAS-STING pathway not only for cDNA of human immunodeficiency virus (HIV) but also for the transmissible neurodegenerative disease protein tau. This study characterises a mechanism of brain inflammation that is common to virus infection and neurodegenerative disorders.

摘要

脑炎症通常伴随着并加速神经退行性变。在这里,我们报告了一种小胶质细胞机制,其中多聚谷氨酰胺结合蛋白 1(PQBP1)通过直接相互作用感知外在的 tau 3R/4R 蛋白,并通过激活环鸟苷酸-腺苷酸合酶(cGAS)-干扰素基因刺激物(STING)途径触发先天免疫反应。在体外原代培养和体内小鼠脑中,用他莫昔芬诱导的和小胶质细胞特异性敲除 PQBP1 表明 PQBP1 对于感应 tau 诱导核因子 κB(NFκB)的核易位、NFκB 依赖性炎症基因转录、体内脑炎症以及最终的小鼠认知障碍是必需的。总之,PQBP1 是 cGAS-STING 通路中的一种细胞内受体,不仅可以识别人类免疫缺陷病毒(HIV)的 cDNA,还可以识别可传播的神经退行性疾病蛋白 tau。这项研究描述了一种常见于病毒感染和神经退行性疾病的脑炎症机制。

https://cdn.ncbi.nlm.nih.gov/pmc/blobs/71a8/8592984/c2de6be2fb32/41467_2021_26851_Fig1_HTML.jpg

文献AI研究员

20分钟写一篇综述,助力文献阅读效率提升50倍。

立即体验

用中文搜PubMed

大模型驱动的PubMed中文搜索引擎

马上搜索

文档翻译

学术文献翻译模型,支持多种主流文档格式。

立即体验