Suppr超能文献

他克莫司诱导的氧化应激、线粒体损伤及细胞周期阻滞在mdck细胞系中被根部分提取物减轻。

Attenuation of tacrolimus induced oxidative stress, mitochondrial damage, and cell cycle arrest by root fraction in mdck cell lines.

作者信息

M K Kalaivani, John Cordelia Mano, Jonnagaladda Bhavana, Kesavan Akila, Arockiasamy Sumathy

机构信息

Department of Biomedical Sciences, Sri Ramachandra Institute of Higher Education and Research (DU), Porur, Chennai 6000116, India.

Department of Human Genetics, Sri Ramachandra Institute of Higher Education and Research (DU), Porur, Chennai, 600116, India.

出版信息

Iran J Basic Med Sci. 2021 Aug;24(8):1087-1097. doi: 10.22038/ijbms.2021.56519.12618.

Abstract

OBJECTIVES

The protective effect of ethyl acetate fraction (EAF) of roots against Tacrolimus (TAC) induced nephrotoxicity was studied using MDCK cell lines.

MATERIALS AND METHODS

Ethanolic root extract of was fractionated using the liquid-liquid partition method. The cytotoxic effect of TAC and protective effect of EAF co-treatment were studied in MDCK cell lines by measuring ROS, LPO, and NO levels; collagen accumulation, effect on mitochondrial membrane integrity and cell cycle analysis were studied. The active component in EAF was quantified by HPLC analysis.

RESULTS

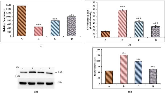
TAC induced toxicity, leading to apoptosis and necrosis, was significantly reduced (<0.001) in EAF co-treatment, with reversal of cell cycle arrest and reduced cell population at sub G0/G1 phase. Further, ROS (<0.05), LPO and NO (<0.001), were significantly reduced with EAF co-treatment compared with TAC individually treated cells. TAC induced mitochondrial membrane integrity loss was found to be significantly reduced in co-treated cells, as measured by rhodamine123 (<0.05) and translocation of cytochrome c (<0.001) from nucleus to cytoplasm, and caspase 3 release (<0.001). The same was confirmed through annexin-FITC and PI staining (<0.05) with reduced apoptotic and necrotic death in co-treated population. Interestingly, EAF co-treatment decreased collagen accumulation (<0.001) with significant increase in the cell survival of tubular epithelial cells. HPLC analysis showed the presence of Quercetin (87.5 mg/g) in EAF, which may be responsible for the nephroprotective role.

CONCLUSION

Thus, these results provide sound evidence that EAF may be an effective adjuvant therapy to prevent nephrotoxicity induced by TAC.

摘要

目的

使用MDCK细胞系研究根部乙酸乙酯部位(EAF)对他克莫司(TAC)诱导的肾毒性的保护作用。

材料与方法

采用液-液分配法对根部乙醇提取物进行分离。通过测量活性氧(ROS)、脂质过氧化(LPO)和一氧化氮(NO)水平,研究TAC的细胞毒性作用以及EAF联合处理的保护作用;研究胶原积累、对线粒体膜完整性的影响以及细胞周期分析。通过高效液相色谱(HPLC)分析对EAF中的活性成分进行定量。

结果

在EAF联合处理组中,TAC诱导的导致凋亡和坏死的毒性显著降低(<0.001),细胞周期阻滞得到逆转,亚G0/G1期细胞数量减少。此外,与单独用TAC处理的细胞相比,EAF联合处理组的ROS(<0.05)、LPO和NO(<0.001)显著降低。通过罗丹明123(<0.05)以及细胞色素c从细胞核向细胞质的转位(<0.001)和半胱天冬酶3的释放(<0.001)测量发现,TAC诱导的联合处理细胞中线粒体膜完整性丧失显著降低。通过膜联蛋白-FITC和碘化丙啶染色(<0.05)证实了这一点,联合处理组中凋亡和坏死性死亡减少。有趣的是,EAF联合处理减少了胶原积累(<0.001),同时肾小管上皮细胞的细胞存活率显著增加。HPLC分析表明EAF中存在槲皮素(87.5 mg/g),这可能是其发挥肾保护作用的原因。

结论

因此,这些结果提供了充分的证据表明EAF可能是预防TAC诱导的肾毒性的有效辅助治疗方法。

https://cdn.ncbi.nlm.nih.gov/pmc/blobs/1297/8591757/59c6231b7f32/IJBMS-24-1087-g001.jpg

文献AI研究员

20分钟写一篇综述,助力文献阅读效率提升50倍。

立即体验

用中文搜PubMed

大模型驱动的PubMed中文搜索引擎

马上搜索

文档翻译

学术文献翻译模型,支持多种主流文档格式。

立即体验