• 文献检索
  • 文档翻译
  • 深度研究
  • 学术资讯
  • Suppr Zotero 插件Zotero 插件
  • 邀请有礼
  • 套餐&价格
  • 历史记录
应用&插件
Suppr Zotero 插件Zotero 插件浏览器插件Mac 客户端Windows 客户端微信小程序
定价
高级版会员购买积分包购买API积分包
服务
文献检索文档翻译深度研究API 文档MCP 服务
关于我们
关于 Suppr公司介绍联系我们用户协议隐私条款
关注我们

Suppr 超能文献

核心技术专利:CN118964589B侵权必究
粤ICP备2023148730 号-1Suppr @ 2026

文献检索

告别复杂PubMed语法,用中文像聊天一样搜索,搜遍4000万医学文献。AI智能推荐,让科研检索更轻松。

立即免费搜索

文件翻译

保留排版,准确专业,支持PDF/Word/PPT等文件格式,支持 12+语言互译。

免费翻译文档

深度研究

AI帮你快速写综述,25分钟生成高质量综述,智能提取关键信息,辅助科研写作。

立即免费体验

皱叶甘蓝(L. var. L.)叶提取物对酪蛋白进行蛋白水解过程中产生的肽的潜在生物活性:一项计算机模拟初步研究。

Potential Biological Activities of Peptides Generated during Casein Proteolysis by Curly Kale ( L. var. L.) Leaf Extract: An In Silico Preliminary Study.

作者信息

Polak-Berecka Magdalena, Michalak-Tomczyk Magdalena, Skrzypczak Katarzyna, Michalak Katarzyna, Rachwał Kamila, Waśko Adam

机构信息

Department of Biotechnology, Microbiology and Human Nutrition, University of Life Sciences in Lublin, Skromna 8, 20-704 Lublin, Poland.

Department of Animal Physiology and Toxicology, Faculty of Science and Health, The John Paul II Catholic University of Lublin, Konstantynów 1H, 20-708 Lublin, Poland.

出版信息

Foods. 2021 Nov 21;10(11):2877. doi: 10.3390/foods10112877.

DOI:10.3390/foods10112877
PMID:34829159
原文链接:https://pmc.ncbi.nlm.nih.gov/articles/PMC8625700/
Abstract

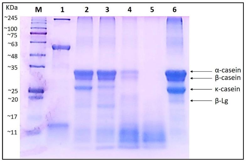
This study is a brief report on the proteolytic activity of curly kale leaf extract against casein. Casein degradation products and an in silico analysis of the biological activity of the peptides obtained was performed. The efficiency of casein hydrolysis by curly kale extract was determined using SDS-PAGE and by peptide concentration determination. The pattern of the enzymatic activity was determined by MALDI-TOF MS analysis. The results showed that α- and β-casein were more resistant to curly kale extract hydrolysis, whereas κ-casein was absent in the protein profile after 8 h of proteolysis, and all casein fractions were completely hydrolyzed after 24 h of incubation. Based on sequence analysis, seven peptides were identified, with molecular mass in the range of 1151-3024 Da. All the peptides were products of β-casein hydrolysis. The identified amino acid sequences were analyzed in BIOPEP, MBPDB, and FeptideDB databases in order to detect the potential activities of the peptides. In silico analysis suggests that the β-casein-derived peptides possess sequences of peptides with ACE inhibitory, antioxidant, dipeptidyl peptidase IV inhibitory, antithrombotic, immunomodulatory, and antiamnesic bioactivity. Our study was first to evaluate the possibility of applying curly kale leaf extract to generate biopeptides through β-casein hydrolysis.

摘要

本研究是关于皱叶甘蓝叶提取物对酪蛋白的蛋白水解活性的简要报告。对酪蛋白降解产物以及所获得肽段的生物活性进行了计算机模拟分析。使用SDS-PAGE和肽浓度测定法确定了皱叶甘蓝提取物对酪蛋白的水解效率。通过基质辅助激光解吸电离飞行时间质谱(MALDI-TOF MS)分析确定了酶活性模式。结果表明,α-酪蛋白和β-酪蛋白对皱叶甘蓝提取物的水解更具抗性,而在蛋白水解8小时后,κ-酪蛋白在蛋白质谱中消失,孵育24小时后所有酪蛋白组分均被完全水解。基于序列分析,鉴定出7种肽段,分子量在1151 - 3024 Da范围内。所有肽段均为β-酪蛋白水解产物。为了检测这些肽段的潜在活性,在BIOPEP、MBPDB和FeptideDB数据库中对鉴定出的氨基酸序列进行了分析。计算机模拟分析表明,源自β-酪蛋白的肽段具有具有血管紧张素转换酶(ACE)抑制、抗氧化、二肽基肽酶IV抑制、抗血栓形成、免疫调节和抗记忆缺失生物活性的肽段序列。我们的研究首次评估了应用皱叶甘蓝叶提取物通过β-酪蛋白水解生成生物活性肽的可能性。

https://cdn.ncbi.nlm.nih.gov/pmc/blobs/b001/8625700/f4f3eac777f5/foods-10-02877-g005.jpg
https://cdn.ncbi.nlm.nih.gov/pmc/blobs/b001/8625700/99fc673c6f95/foods-10-02877-g001.jpg
https://cdn.ncbi.nlm.nih.gov/pmc/blobs/b001/8625700/70272a6af5de/foods-10-02877-g002.jpg
https://cdn.ncbi.nlm.nih.gov/pmc/blobs/b001/8625700/26b8a15589d3/foods-10-02877-g003.jpg
https://cdn.ncbi.nlm.nih.gov/pmc/blobs/b001/8625700/b78289154df6/foods-10-02877-g004.jpg
https://cdn.ncbi.nlm.nih.gov/pmc/blobs/b001/8625700/f4f3eac777f5/foods-10-02877-g005.jpg
https://cdn.ncbi.nlm.nih.gov/pmc/blobs/b001/8625700/99fc673c6f95/foods-10-02877-g001.jpg
https://cdn.ncbi.nlm.nih.gov/pmc/blobs/b001/8625700/70272a6af5de/foods-10-02877-g002.jpg
https://cdn.ncbi.nlm.nih.gov/pmc/blobs/b001/8625700/26b8a15589d3/foods-10-02877-g003.jpg
https://cdn.ncbi.nlm.nih.gov/pmc/blobs/b001/8625700/b78289154df6/foods-10-02877-g004.jpg
https://cdn.ncbi.nlm.nih.gov/pmc/blobs/b001/8625700/f4f3eac777f5/foods-10-02877-g005.jpg

相似文献

1
Potential Biological Activities of Peptides Generated during Casein Proteolysis by Curly Kale ( L. var. L.) Leaf Extract: An In Silico Preliminary Study.皱叶甘蓝(L. var. L.)叶提取物对酪蛋白进行蛋白水解过程中产生的肽的潜在生物活性:一项计算机模拟初步研究。
Foods. 2021 Nov 21;10(11):2877. doi: 10.3390/foods10112877.
2
Characterization and quantification of flavonoids and hydroxycinnamic acids in curly kale (Brassica oleracea L. Convar. acephala Var. sabellica) by HPLC-DAD-ESI-MSn.采用高效液相色谱-二极管阵列检测器-电喷雾电离串联质谱法对羽衣甘蓝(Brassica oleracea L. Convar. acephala Var. sabellica)中的黄酮类化合物和羟基肉桂酸进行表征与定量分析。
J Agric Food Chem. 2009 Apr 8;57(7):2816-25. doi: 10.1021/jf803693t.
3
Curly Kale ( L.) Biofortified with 5,7-Diiodo-8-quinolinol: The Influence of Heat Treatment on Iodine Level, Macronutrient Composition and Antioxidant Content.卷曲羽衣甘蓝(L.)用 5,7-二碘-8-喹啉醇生物强化:热处理对碘含量、大量营养素成分和抗氧化剂含量的影响。
Nutrients. 2023 Nov 9;15(22):4730. doi: 10.3390/nu15224730.
4
Composition of lactic acid bacteria during spontaneous curly kale (Brassica oleracea var. sabellica) fermentation.自发卷曲羽衣甘蓝(甘蓝 var. sabellica)发酵过程中乳酸菌的组成。
Microbiol Res. 2018 Jan;206:121-130. doi: 10.1016/j.micres.2017.09.011. Epub 2017 Oct 16.
5
Characterization, quantification, and yearly variation of the naturally occurring polyphenols in a common red variety of curly kale ( Brassica oleracea L. convar. acephala var. sabellica cv. 'Redbor').常见红色羽衣甘蓝品种(皱叶甘蓝变种,红bor品种)中天然存在的多酚类物质的表征、定量及年度变化
J Agric Food Chem. 2010 Nov 10;58(21):11346-54. doi: 10.1021/jf102131g. Epub 2010 Oct 15.
6
Map-based cloning and CRISPR/Cas9-based editing uncover as the causal gene for the no-anthocyanin-accumulation phenotype in curly kale ( var. ).基于图谱的克隆和基于CRISPR/Cas9的编辑揭示了导致皱叶甘蓝(变种 )中无花青素积累表型的因果基因。
Hortic Res. 2023 Jun 29;10(8):uhad133. doi: 10.1093/hr/uhad133. eCollection 2023 Aug.
7
Yak milk casein as potential precursor of angiotensin I-converting enzyme inhibitory peptides based on in silico proteolysis.基于计算机模拟蛋白水解的研究,探讨 yak 乳清蛋白作为血管紧张素转化酶抑制肽的潜在前体。
Food Chem. 2018 Jul 15;254:340-347. doi: 10.1016/j.foodchem.2018.02.051. Epub 2018 Feb 10.
8
In silico identification of antidiabetic and hypotensive potential bioactive peptides from the sheep milk proteins-a molecular docking study.基于计算机模拟从羊乳蛋白中鉴定具有抗糖尿病和降血压潜力的生物活性肽——一项分子对接研究
J Food Biochem. 2022 Mar 29:e14137. doi: 10.1111/jfbc.14137.
9
Bioactivity of hydrolysates obtained from bovine casein using artichoke (Cynara scolymus L.) proteases.利用朝鲜蓟(Cynara scolymus L.)蛋白酶从牛酪蛋白中获得的水解产物的生物活性。
J Dairy Sci. 2019 Dec;102(12):10711-10723. doi: 10.3168/jds.2019-16596. Epub 2019 Sep 20.
10
Antiproliferative effects of fresh and thermal processed green and red cultivars of curly kale (Brassica oleracea L. convar. acephala var. sabellica).新鲜和热处理的绿色和红色皱叶甘蓝(芸薹属芸薹种无头型变种)品种的抗增殖作用。
J Agric Food Chem. 2012 Aug 1;60(30):7375-83. doi: 10.1021/jf300875f. Epub 2012 Jul 17.

引用本文的文献

1
A Novel Workflow for In Silico Prediction of Bioactive Peptides: An Exploration of By-Products.一种新型生物活性肽计算机预测工作流程:对副产物的探索。
Biomolecules. 2024 Jul 31;14(8):930. doi: 10.3390/biom14080930.

本文引用的文献

1
A comprehensive review of bioactive peptides obtained from animal byproducts and their applications.动物副产物中获得的生物活性肽的综合评述及其应用。
Food Funct. 2019 Oct 16;10(10):6244-6266. doi: 10.1039/c9fo01546a.
2
Bioactivity of hydrolysates obtained from bovine casein using artichoke (Cynara scolymus L.) proteases.利用朝鲜蓟(Cynara scolymus L.)蛋白酶从牛酪蛋白中获得的水解产物的生物活性。
J Dairy Sci. 2019 Dec;102(12):10711-10723. doi: 10.3168/jds.2019-16596. Epub 2019 Sep 20.
3
FeptideDB: A web application for new bioactive peptides from food protein.
FeptideDB:一个用于从食物蛋白中发现新型生物活性肽的网络应用程序。
Heliyon. 2019 Jul 20;5(7):e02076. doi: 10.1016/j.heliyon.2019.e02076. eCollection 2019 Jul.
4
Microbial Proteases Applications.微生物蛋白酶的应用
Front Bioeng Biotechnol. 2019 Jun 12;7:110. doi: 10.3389/fbioe.2019.00110. eCollection 2019.
5
Proteolysis and Rheological Properties of Cream Cheese Made with a Plant-Derived Coagulant from .用源自植物的凝结剂制作的奶油芝士的蛋白水解作用及流变学特性
Foods. 2019 Jan 30;8(2):44. doi: 10.3390/foods8020044.
6
Protease activity of enzyme extracts from tamarillo fruit and their specific hydrolysis of bovine caseins.来自 tamarillo 果实的酶提取物的蛋白酶活性及其对牛酪蛋白的特异性水解。
Food Res Int. 2018 Jul;109:380-386. doi: 10.1016/j.foodres.2018.04.039. Epub 2018 Apr 21.
7
Purification and characterisation of a protease (tamarillin) from tamarillo fruit.从番荔枝果实中纯化和鉴定一种蛋白酶(塔玛琳)。
Food Chem. 2018 Aug 1;256:228-234. doi: 10.1016/j.foodchem.2018.02.091. Epub 2018 Feb 16.
8
Characterization and milk coagulating properties of Cynanchum otophyllum Schneid. proteases.描述和牛奶凝结特性的白首乌 Schneid. 蛋白酶。
J Dairy Sci. 2018 Apr;101(4):2842-2850. doi: 10.3168/jds.2017-13888. Epub 2018 Feb 7.
9
Plant proteases for bioactive peptides release: A review.植物蛋白酶在生物活性肽释放中的应用:综述。
Crit Rev Food Sci Nutr. 2018;58(13):2147-2163. doi: 10.1080/10408398.2017.1308312. Epub 2017 Aug 11.
10
ACE-inhibitory peptides from bovine caseins released with peptidases from Maclura pomifera latex.用桑橙乳胶中的肽酶从牛乳酪蛋白中释放出的具有血管紧张素转换酶抑制活性的肽。
Food Res Int. 2017 Mar;93:8-15. doi: 10.1016/j.foodres.2017.01.003. Epub 2017 Jan 7.