• 文献检索
  • 文档翻译
  • 深度研究
  • 学术资讯
  • Suppr Zotero 插件Zotero 插件
  • 邀请有礼
  • 套餐&价格
  • 历史记录
应用&插件
Suppr Zotero 插件Zotero 插件浏览器插件Mac 客户端Windows 客户端微信小程序
定价
高级版会员购买积分包购买API积分包
服务
文献检索文档翻译深度研究API 文档MCP 服务
关于我们
关于 Suppr公司介绍联系我们用户协议隐私条款
关注我们

Suppr 超能文献

核心技术专利:CN118964589B侵权必究
粤ICP备2023148730 号-1Suppr @ 2026

文献检索

告别复杂PubMed语法,用中文像聊天一样搜索,搜遍4000万医学文献。AI智能推荐,让科研检索更轻松。

立即免费搜索

文件翻译

保留排版,准确专业,支持PDF/Word/PPT等文件格式,支持 12+语言互译。

免费翻译文档

深度研究

AI帮你快速写综述,25分钟生成高质量综述,智能提取关键信息,辅助科研写作。

立即免费体验

含薏苡仁和莲子的中药配方对本地仔猪肠道形态及微生物群的影响

Effects of a traditional Chinese medicine formula containing the Coix seed and Lotus seed on the intestinal morphology and microbiota of local piglets.

作者信息

Li Zhaolong, Lin Zhongning, Lu Zheng, Ying Zhaoyang

机构信息

Institute of Animal Husbandry and Veterinary Medicine, Fujian Academy of Agricultural Sciences, Pudang, Jin-an District, Fuzhou, 350013, Fujian Province, China.

Agricultural Ecology Institute, Fujian Academy of Agricultural Sciences, Pudang, Jin-an District, Fuzhou, 350013, Fujian Province, China.

出版信息

AMB Express. 2021 Nov 27;11(1):159. doi: 10.1186/s13568-021-01318-1.

DOI:10.1186/s13568-021-01318-1
PMID:34837549
原文链接:https://pmc.ncbi.nlm.nih.gov/articles/PMC8627543/
Abstract

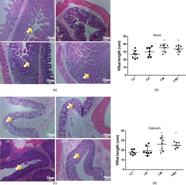
A traditional Chinese medicine formula based on the Coix seed and Lotus seed has been used as a general treatment of malnutrition, excessive fatigue, dysfunction of the spleen and stomach, and disorders of water transport in humans in China. However, there is limited information on its effects on the gut microbiota of piglets in vivo. In this study, the mix of Coix seed and Lotus were added the diet of forty weaned piglets (local piglets), and then evaluated it's affected on the gut microbiota of piglets and on the relations within the gut bacterial community. The results indicated that this traditional Chinese medicine formula (LM) and the extract of the traditional Chinese medicine formula (LMT) downregulated pH of succus gastricus and raised pH of the ileum, and LMT obviously decreased the feed conversion ratio. Further study showed LMT and LM also significantly increased the thick and long of gastrointestinal villi. And then, 16S ribosomal DNA sequencing revealed that groups LMT and LM have higher relative abundance of the genus Lactobacillus in the colon, succus gastricus, and jejunum, which are beneficial bacteria sold as dietary supplements to aid digestion or to augment health. Meanwhile, the relative abundance levels of Prevotellaceae, Alloprevotella, and Prevotella in the colon and Clostridium in succus gastricus and jejunum were lower. These experiments highlight the usefulness of the traditional Chinese medicine formula based on the Coix seed and Lotus seed for decreasing pH in succus gastricus, for improving the structure of intestinal villi and gut microflora, and then for achieving improvements in pig production performance.

摘要

在中国,一种以薏苡仁和莲子为基础的中药配方一直被用于治疗人类的营养不良、过度疲劳、脾胃功能失调以及水液代谢紊乱。然而,关于其对仔猪肠道微生物群体内影响的信息有限。在本研究中,将薏苡仁和莲子的混合物添加到40头断奶仔猪(本地仔猪)的日粮中,然后评估其对仔猪肠道微生物群以及肠道细菌群落内部关系的影响。结果表明,这种中药配方(LM)和中药配方提取物(LMT)下调了胃液pH值,提高了回肠pH值,并且LMT明显降低了饲料转化率。进一步研究表明,LMT和LM还显著增加了胃肠道绒毛的厚度和长度。然后,16S核糖体DNA测序显示,LMT组和LM组在结肠、胃液和空肠中乳酸杆菌属的相对丰度较高,乳酸杆菌属是作为膳食补充剂出售的有益细菌,有助于消化或增强健康。同时,结肠中普雷沃氏菌科、别普雷沃氏菌属和普雷沃氏菌属以及胃液和空肠中梭菌属的相对丰度水平较低。这些实验突出了以薏苡仁和莲子为基础的中药配方在降低胃液pH值、改善肠绒毛结构和肠道微生物群方面的作用,进而提高了生猪生产性能。

https://cdn.ncbi.nlm.nih.gov/pmc/blobs/1efe/8627543/9eae2d8aec55/13568_2021_1318_Fig9_HTML.jpg
https://cdn.ncbi.nlm.nih.gov/pmc/blobs/1efe/8627543/8bf3d5c393f2/13568_2021_1318_Fig1_HTML.jpg
https://cdn.ncbi.nlm.nih.gov/pmc/blobs/1efe/8627543/02199cd0e979/13568_2021_1318_Fig2_HTML.jpg
https://cdn.ncbi.nlm.nih.gov/pmc/blobs/1efe/8627543/41adb6442c94/13568_2021_1318_Fig3_HTML.jpg
https://cdn.ncbi.nlm.nih.gov/pmc/blobs/1efe/8627543/31dab8cf8f01/13568_2021_1318_Fig4_HTML.jpg
https://cdn.ncbi.nlm.nih.gov/pmc/blobs/1efe/8627543/17180ce109a7/13568_2021_1318_Fig5_HTML.jpg
https://cdn.ncbi.nlm.nih.gov/pmc/blobs/1efe/8627543/fdddbfbb45b9/13568_2021_1318_Fig6_HTML.jpg
https://cdn.ncbi.nlm.nih.gov/pmc/blobs/1efe/8627543/7d0cae6d3a9b/13568_2021_1318_Fig7_HTML.jpg
https://cdn.ncbi.nlm.nih.gov/pmc/blobs/1efe/8627543/0f936a5cd7b9/13568_2021_1318_Fig8_HTML.jpg
https://cdn.ncbi.nlm.nih.gov/pmc/blobs/1efe/8627543/9eae2d8aec55/13568_2021_1318_Fig9_HTML.jpg
https://cdn.ncbi.nlm.nih.gov/pmc/blobs/1efe/8627543/8bf3d5c393f2/13568_2021_1318_Fig1_HTML.jpg
https://cdn.ncbi.nlm.nih.gov/pmc/blobs/1efe/8627543/02199cd0e979/13568_2021_1318_Fig2_HTML.jpg
https://cdn.ncbi.nlm.nih.gov/pmc/blobs/1efe/8627543/41adb6442c94/13568_2021_1318_Fig3_HTML.jpg
https://cdn.ncbi.nlm.nih.gov/pmc/blobs/1efe/8627543/31dab8cf8f01/13568_2021_1318_Fig4_HTML.jpg
https://cdn.ncbi.nlm.nih.gov/pmc/blobs/1efe/8627543/17180ce109a7/13568_2021_1318_Fig5_HTML.jpg
https://cdn.ncbi.nlm.nih.gov/pmc/blobs/1efe/8627543/fdddbfbb45b9/13568_2021_1318_Fig6_HTML.jpg
https://cdn.ncbi.nlm.nih.gov/pmc/blobs/1efe/8627543/7d0cae6d3a9b/13568_2021_1318_Fig7_HTML.jpg
https://cdn.ncbi.nlm.nih.gov/pmc/blobs/1efe/8627543/0f936a5cd7b9/13568_2021_1318_Fig8_HTML.jpg
https://cdn.ncbi.nlm.nih.gov/pmc/blobs/1efe/8627543/9eae2d8aec55/13568_2021_1318_Fig9_HTML.jpg

相似文献

1
Effects of a traditional Chinese medicine formula containing the Coix seed and Lotus seed on the intestinal morphology and microbiota of local piglets.含薏苡仁和莲子的中药配方对本地仔猪肠道形态及微生物群的影响
AMB Express. 2021 Nov 27;11(1):159. doi: 10.1186/s13568-021-01318-1.
2
Coix seed improves growth performance and productivity in post-weaning pigs by reducing gut pH and modulating gut microbiota.薏苡仁通过降低断奶仔猪肠道pH值和调节肠道微生物群来提高其生长性能和生产性能。
AMB Express. 2019 Jul 23;9(1):115. doi: 10.1186/s13568-019-0828-z.
3
Effects of dietary traditional Chinese medicine residues on growth performance, intestinal health and gut microbiota compositions in weaned piglets.饲粮中中药渣对断奶仔猪生长性能、肠道健康和肠道微生物组成的影响。
Front Cell Infect Microbiol. 2023 Nov 20;13:1283789. doi: 10.3389/fcimb.2023.1283789. eCollection 2023.
4
Effects of α-glycerol monolaurate on intestinal morphology, nutrient digestibility, serum profiles, and gut microbiota in weaned piglets.α-甘油单月桂酸酯对断奶仔猪肠道形态、养分消化率、血清指标和肠道微生物区系的影响。
J Anim Sci. 2022 Mar 1;100(3). doi: 10.1093/jas/skac046.
5
Dietary supplementation with Bacillus mixture modifies the intestinal ecosystem of weaned piglets in an overall beneficial way.日粮中添加芽孢杆菌混合物以整体有益的方式改变了断奶仔猪的肠道生态系统。
J Appl Microbiol. 2021 Jan;130(1):233-246. doi: 10.1111/jam.14782. Epub 2020 Jul 28.
6
Resveratrol alleviates oxidative stress induced by oxidized soybean oil and improves gut function via changing gut microbiota in weaned piglets.白藜芦醇可减轻氧化大豆油诱导的氧化应激,并通过改变断奶仔猪的肠道微生物群来改善肠道功能。
J Anim Sci Biotechnol. 2023 Apr 7;14(1):54. doi: 10.1186/s40104-023-00851-2.
7
Effect of dietary folate level on organ weight, digesta pH, short-chain fatty acid concentration, and intestinal microbiota of weaned piglets.饲粮叶酸水平对断奶仔猪器官重量、食糜 pH 值、短链脂肪酸浓度和肠道微生物区系的影响。
J Anim Sci. 2021 Jan 1;99(1). doi: 10.1093/jas/skab015.
8
Dietary supplementation with and xylo-oligosaccharides improves growth performance and intestinal morphology and alters intestinal microbiota and metabolites in weaned piglets.饲粮中添加甘露寡糖和木寡糖可改善断奶仔猪的生长性能和肠道形态,改变肠道微生物区系和代谢产物。
Food Funct. 2021 Jul 5;12(13):5837-5849. doi: 10.1039/d1fo00208b.
9
Effects of Dietary Supplementation of on Gut Microbiome and Intestinal Morphology in Weaned Piglets.日粮添加[具体物质未给出]对断奶仔猪肠道微生物群和肠道形态的影响。
Front Vet Sci. 2021 Aug 19;8:692389. doi: 10.3389/fvets.2021.692389. eCollection 2021.
10
Dietary Improves Serum Antioxidant Capacity and Intestinal Immunity and Alters Colonic Microbiota in Weaned Piglets.日粮改善断奶仔猪血清抗氧化能力和肠道免疫力并改变结肠微生物群。
Front Nutr. 2021 Jun 17;8:679129. doi: 10.3389/fnut.2021.679129. eCollection 2021.

引用本文的文献

1
Determinants of piglet gut microbiome colonization: roles of genetics, nutrition, therapeutics, and the impact of enteric pathogens like PEDV.仔猪肠道微生物群定殖的决定因素:遗传学、营养、治疗手段的作用以及诸如猪流行性腹泻病毒等肠道病原体的影响。
Front Cell Infect Microbiol. 2025 Aug 25;15:1626239. doi: 10.3389/fcimb.2025.1626239. eCollection 2025.
2
Bridging traditional Chinese medicine and Alzheimer's disease: the pivotal role of gut microbiota in multitarget therapeutic mechanisms.中医与阿尔茨海默病的桥梁:肠道微生物群在多靶点治疗机制中的关键作用
Front Pharmacol. 2025 Jun 27;16:1630205. doi: 10.3389/fphar.2025.1630205. eCollection 2025.
3

本文引用的文献

1
Polysaccharide-Based Lotus Seedpod Surface-Like Porous Microsphere with Precise and Controllable Micromorphology for Ultrarapid Hemostasis.基于多糖的莲房表面状多孔微球,具有精确可控的微观形态,可实现超快速止血。
ACS Appl Mater Interfaces. 2019 Dec 18;11(50):46558-46571. doi: 10.1021/acsami.9b17543. Epub 2019 Dec 5.
2
Coix seed improves growth performance and productivity in post-weaning pigs by reducing gut pH and modulating gut microbiota.薏苡仁通过降低断奶仔猪肠道pH值和调节肠道微生物群来提高其生长性能和生产性能。
AMB Express. 2019 Jul 23;9(1):115. doi: 10.1186/s13568-019-0828-z.
3
Structural modulation of gut microbiota reveals Coix seed contributes to weight loss in mice.
Tetrastigma hemsleyanum as a feed additive: modulating gut microbiota for enhancing nutritional transport and growth performance in Jinhua yellow chickens.
三叶崖爬藤作为一种饲料添加剂:调节肠道微生物群以增强金华黄鸡的营养转运和生长性能
Poult Sci. 2025 Jan;104(1):104652. doi: 10.1016/j.psj.2024.104652. Epub 2024 Dec 10.
4
Preventive effect of (Gaertn.) Roxb. extract on mice infected with .石榴皮提取物对感染 的小鼠的预防作用。
Front Cell Infect Microbiol. 2023 Jan 9;12:1054205. doi: 10.3389/fcimb.2022.1054205. eCollection 2022.
5
Network Pharmacology Exploration Reveals Gut Microbiota Modulation as a Common Therapeutic Mechanism for Anti-Fatigue Effect Treated with Maca Compounds Prescription.网络药理学探索揭示,以玛咖化合物方治疗抗疲劳作用的共同治疗机制是调节肠道微生物群。
Nutrients. 2022 Apr 7;14(8):1533. doi: 10.3390/nu14081533.
结构调制肠道微生物群揭示薏苡仁有助于小鼠减肥。
Appl Microbiol Biotechnol. 2019 Jul;103(13):5311-5321. doi: 10.1007/s00253-019-09786-z. Epub 2019 Apr 16.
4
Effect of fractionated lotus seed resistant starch on proliferation of Bifidobacterium longum and Lactobacillus delbrueckii subsp. bulgaricus and its structural changes following fermentation.分段莲子抗性淀粉对长双歧杆菌和德氏乳杆菌保加利亚亚种增殖的影响及其发酵后的结构变化。
Food Chem. 2018 Dec 1;268:134-142. doi: 10.1016/j.foodchem.2018.05.070. Epub 2018 May 16.
5
Physiological and proteomic analyses of coix seed aging during storage.贮藏过程中薏苡种子老化的生理和蛋白质组学分析。
Food Chem. 2018 Sep 15;260:82-89. doi: 10.1016/j.foodchem.2018.03.129. Epub 2018 Apr 3.
6
[Interaction of effective ingredients from traditional Chinese medicines with intestinal microbiota].[中药有效成分与肠道微生物群的相互作用]
Zhongguo Zhong Yao Za Zhi. 2016 May;41(10):1766-1772. doi: 10.4268/cjcmm20161002.
7
A review of the effects of dietary organic acids fed to swine.关于饲喂猪的日粮有机酸效果的综述。
J Anim Sci Biotechnol. 2015 Oct 21;6:45. doi: 10.1186/s40104-015-0042-z. eCollection 2015.
8
Rapeseed polysaccharides as prebiotics on growth and acidifying activity of probiotics in vitro.油菜籽多糖作为益生菌的益生元对其体外生长和酸化活性的影响。
Carbohydr Polym. 2015 Jul 10;125:232-40. doi: 10.1016/j.carbpol.2015.02.040. Epub 2015 Feb 26.
9
Structural characteristics and crystalline properties of lotus seed resistant starch and its prebiotic effects.莲籽抗性淀粉的结构特性和结晶性质及其益生元作用。
Food Chem. 2014 Jul 15;155:311-8. doi: 10.1016/j.foodchem.2014.01.036. Epub 2014 Jan 24.
10
The in vitro effects of retrograded starch (resistant starch type 3) from lotus seed starch on the proliferation of Bifidobacterium adolescentis.莲籽淀粉抗性淀粉(3 型)对青春双歧杆菌增殖的体外影响。
Food Funct. 2013 Nov;4(11):1609-16. doi: 10.1039/c3fo60206k.