Suppr超能文献

浆果对急性电离辐射小鼠海马区神经行为变化和神经元损失的神经保护作用

Neuroprotective Effects of Berry on Neurobehavioral Changes and Neuronal Loss in the Hippocampus of Mice Exposed to Acute Ionizing Radiation.

作者信息

Guo Lei, Du Qian-Qian, Cheng Piao-Qin, Yang Ting-Ting, Xing Chao-Qun, Luo Xue-Zhi, Peng Xiao-Chun, Qian Feng, Huang Jiang-Rong, Tang Feng-Ru

机构信息

Department of Traditional Chinese Medicine, Health Science Center, Yangtze University, Jingzhou, China.

Department of Physiology, School of Basic Medicine, Health Science Center, Yangtze University, Jingzhou, China.

出版信息

Dose Response. 2021 Nov 26;19(4):15593258211057768. doi: 10.1177/15593258211057768. eCollection 2021 Oct-Dec.

Abstract

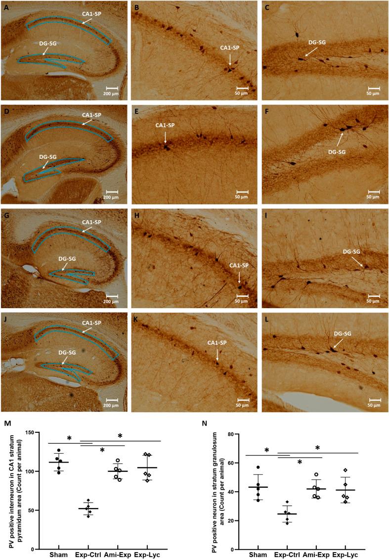
Brain exposure to ionizing radiation during the radiotherapy of brain tumor or metastasis of peripheral cancer cells to the brain has resulted in cognitive dysfunction by reducing neurogenesis in hippocampus. The water extract of berry (Lyc), containing water-soluble polysaccharides and flavonoids, can protect the neuronal injury by reducing oxidative stress and suppressing neuroinflammation. To demonstrate the long-term radioprotective effect of Lyc, we evaluated the neurobehavioral alterations and the numbers of NeuN, calbindin (CB), and parvalbumin (PV) immunopositive hippocampal neurons in BALB/c mice after acute 5.5 Gy radiation with/without oral administration of Lyc at the dosage of 10 g/kg daily for 4 weeks. The results showed that Lyc could improve irradiation-induced animal weight loss, depressive behaviors, spatial memory impairment, and hippocampal neuron loss. Immunohistochemistry study demonstrated that the loss of NeuN-immunopositive neuron in the hilus of the dentate gyrus, CB-immunopositive neuron in CA1 strata radiatum, lacunosum moleculare and oriens, and PV-positive neuron in CA1 stratum pyramidum and stratum granulosum of the dentate gyrus after irradiation were significantly improved by Lyc treatment. The neuroprotective effect of Lyc on those hippocampal neurons may benefit the configuration of learning related neuronal networks and then improve radiation induced neurobehavioral changes such as cognitive impairment and depression. It suggests that  berry may be an alternative food supplement to prevent radiation-induced neuron loss and neuropsychological disorders.

摘要

在脑肿瘤放疗期间大脑暴露于电离辐射或外周癌细胞转移至大脑,已通过减少海马体中的神经发生导致认知功能障碍。浆果(Lyc)的水提取物含有水溶性多糖和类黄酮,可通过减轻氧化应激和抑制神经炎症来保护神经元损伤。为了证明Lyc的长期辐射防护作用,我们评估了在急性5.5 Gy辐射后,每日口服10 g/kg剂量的Lyc持续4周的BALB/c小鼠的神经行为改变以及NeuN、钙结合蛋白(CB)和小白蛋白(PV)免疫阳性海马神经元的数量。结果表明,Lyc可以改善辐射引起的动物体重减轻、抑郁行为、空间记忆损害和海马神经元丢失。免疫组织化学研究表明,Lyc治疗可显著改善照射后齿状回门区NeuN免疫阳性神经元、CA1辐射层、分子层和原层中的CB免疫阳性神经元以及齿状回CA1锥体层和颗粒层中的PV阳性神经元的丢失。Lyc对这些海马神经元的神经保护作用可能有益于学习相关神经网络的构型,进而改善辐射引起的神经行为变化,如认知障碍和抑郁。这表明浆果可能是一种预防辐射诱导的神经元丢失和神经心理障碍的替代食品补充剂。

https://cdn.ncbi.nlm.nih.gov/pmc/blobs/c547/8649475/61ce867dc283/10.1177_15593258211057768-fig1.jpg

文献AI研究员

20分钟写一篇综述,助力文献阅读效率提升50倍。

立即体验

用中文搜PubMed

大模型驱动的PubMed中文搜索引擎

马上搜索

文档翻译

学术文献翻译模型,支持多种主流文档格式。

立即体验