Suppr超能文献

D2-CovidNet:一种用于胸部 X 光图像中 COVID-19 检测的深度学习模型。

D2-CovidNet: A Deep Learning Model for COVID-19 Detection in Chest X-Ray Images.

机构信息

School of Computer and Communication Engineering, Changsha University of Science and Technology, Changsha 410114, China.

Hunan Children's Hospital, Changsha 410000, China.

出版信息

Comput Intell Neurosci. 2021 Dec 15;2021:9952109. doi: 10.1155/2021/9952109. eCollection 2021.

Abstract

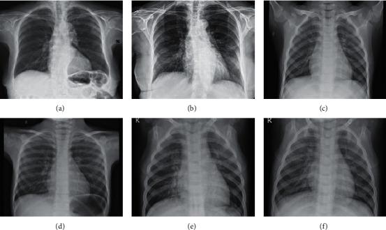
Since the outbreak of Coronavirus disease 2019 (COVID-19), it has been spreading rapidly worldwide and has not yet been effectively controlled. Many researchers are studying novel Coronavirus pneumonia from chest X-ray images. In order to improve the detection accuracy, two modules sensitive to feature information, dual-path multiscale feature fusion module and dense depthwise separable convolution module, are proposed. Based on these two modules, a lightweight convolutional neural network model, D2-CovidNet, is designed to assist experts in diagnosing COVID-19 by identifying chest X-ray images. D2-CovidNet is tested on two public data sets, and its classification accuracy, precision, sensitivity, specificity, and 1-score are 94.56%, 95.14%, 94.02%, 96.61%, and 95.30%, respectively. Specifically, the precision, sensitivity, and specificity of the network for COVID-19 are 98.97%, 94.12%, and 99.84%, respectively. D2-CovidNet has fewer computation number and parameter number. Compared with other methods, D2-CovidNet can help diagnose COVID-19 more quickly and accurately.

摘要

自 2019 年冠状病毒病(COVID-19)爆发以来,它在全球范围内迅速传播,尚未得到有效控制。许多研究人员正在从胸部 X 光图像研究新型冠状病毒肺炎。为了提高检测精度,提出了两个对特征信息敏感的模块,双路径多尺度特征融合模块和密集深度可分离卷积模块。基于这两个模块,设计了一个轻量级卷积神经网络模型 D2-CovidNet,通过识别胸部 X 光图像来辅助专家诊断 COVID-19。D2-CovidNet 在两个公共数据集上进行了测试,其分类准确率、精度、灵敏度、特异性和 1 分分别为 94.56%、95.14%、94.02%、96.61%和 95.30%。具体来说,该网络对 COVID-19 的准确率、灵敏度和特异性分别为 98.97%、94.12%和 99.84%。D2-CovidNet 的计算数量和参数数量较少。与其他方法相比,D2-CovidNet 可以帮助更快速、准确地诊断 COVID-19。

https://cdn.ncbi.nlm.nih.gov/pmc/blobs/f450/8674084/2f854fdb19fb/CIN2021-9952109.001.jpg

文献AI研究员

20分钟写一篇综述,助力文献阅读效率提升50倍。

立即体验

用中文搜PubMed

大模型驱动的PubMed中文搜索引擎

马上搜索

文档翻译

学术文献翻译模型,支持多种主流文档格式。

立即体验