Suppr超能文献

病例报告:肾上腺上皮样血管肉瘤术后复发经脂质体阿霉素和紫杉醇联合化疗实现完全缓解

Case Report: Postoperative Recurrence of Adrenal Epithelioid Angiosarcoma Achieved Complete Response by Combination Chemotherapy With Liposomal Doxorubicin and Paclitaxel.

作者信息

Wei Hangping, Mao Jie, Wu Yandan, Zhou Qinfei

机构信息

Department of Medical Oncology, Dongyang Hospital Affiliated to Wenzhou Medical University, Dongyang, China.

Department of Radiology, Dongyang Hospital Affiliated to Wenzhou Medical University, Dongyang, China.

出版信息

Front Oncol. 2021 Dec 16;11:791121. doi: 10.3389/fonc.2021.791121. eCollection 2021.

Abstract

BACKGROUND

Primary adrenal epithelioid angiosarcoma is an extremely rare cancer with a poor prognosis. Because of the rarity of this disease, treatment options have not been well-studied.

CASE PRESENTATION

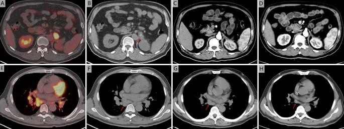
A 51-year-old man was admitted to Zhejiang Cancer Hospital, diagnosed with a recurrence of adrenal epithelioid angiosarcoma. He had undergone a surgical resection seven months earlier. Combination chemotherapy with liposomal doxorubicin and paclitaxel was administered. After two cycles of chemotherapy, his pain was relieved. Computed tomography (CT) suggested that the soft tissue tumour lesions in the surgical area had disappeared, mediastinal and mediastinal-hilar lymph nodes were significantly reduced or had disappeared, and the patient had achieved a partial response (PR). CT after six cycles of chemotherapy indicated that the patient had achieved a complete response (CR).

CONCLUSION

Combination chemotherapy with liposomal doxorubicin and paclitaxel may be a preferred therapy for recurrent or advanced adrenal epithelioid angiosarcoma.

摘要

背景

原发性肾上腺上皮样血管肉瘤是一种极其罕见的癌症,预后较差。由于这种疾病罕见,其治疗方案尚未得到充分研究。

病例介绍

一名51岁男性入住浙江省肿瘤医院,被诊断为肾上腺上皮样血管肉瘤复发。他在七个月前接受了手术切除。给予脂质体阿霉素和紫杉醇联合化疗。化疗两个周期后,他的疼痛得到缓解。计算机断层扫描(CT)显示手术区域的软组织肿瘤病变消失,纵隔及纵隔-肺门淋巴结明显缩小或消失,患者达到部分缓解(PR)。化疗六个周期后的CT显示患者达到完全缓解(CR)。

结论

脂质体阿霉素和紫杉醇联合化疗可能是复发性或晚期肾上腺上皮样血管肉瘤的首选治疗方法。

https://cdn.ncbi.nlm.nih.gov/pmc/blobs/edc9/8716616/0f2f548ddc32/fonc-11-791121-g001.jpg

文献检索

告别复杂PubMed语法,用中文像聊天一样搜索,搜遍4000万医学文献。AI智能推荐,让科研检索更轻松。

立即免费搜索

文件翻译

保留排版,准确专业,支持PDF/Word/PPT等文件格式,支持 12+语言互译。

免费翻译文档

深度研究

AI帮你快速写综述,25分钟生成高质量综述,智能提取关键信息,辅助科研写作。

立即免费体验