Geriatrics Clinic, SS. Medical Department, SS. Annunziata Hospital of Chieti, 66100 Chieti, Italy.
Internal Medicine Unit, Medical Department, University Hospital of Salerno, 84121 Salerno, Italy.
Cells. 2021 Dec 26;11(1):59. doi: 10.3390/cells11010059.
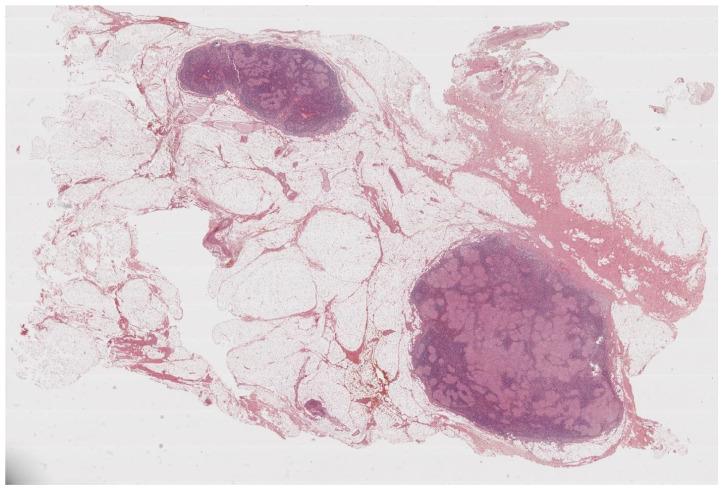
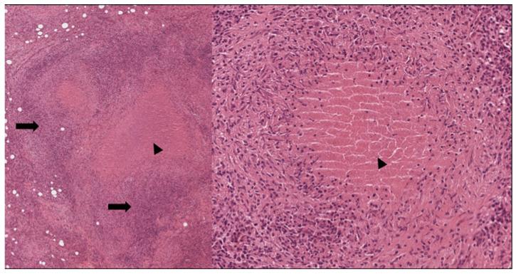
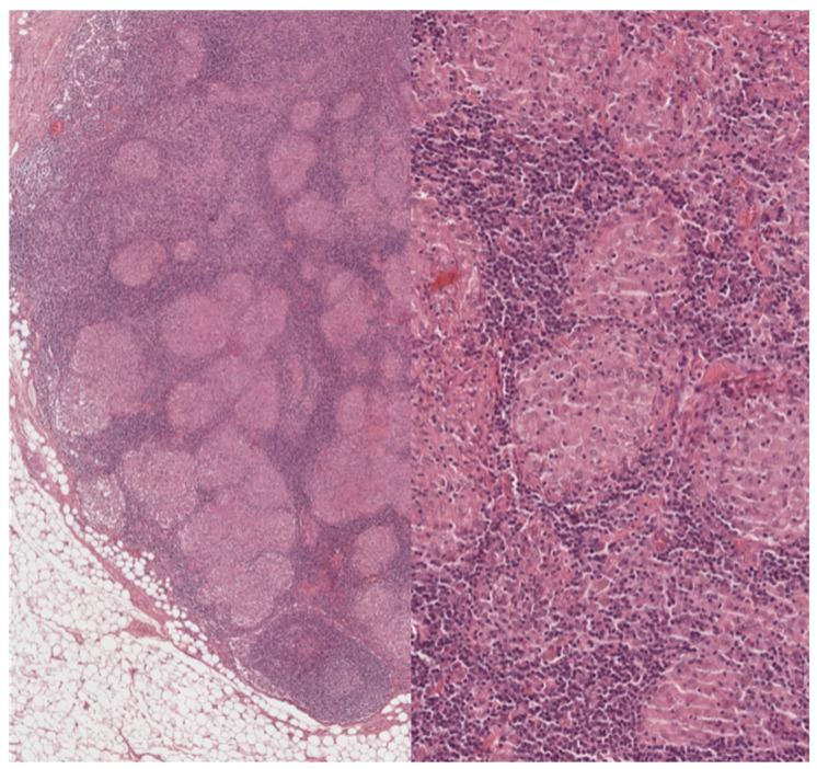
Sarcoidosis is a chameleon disease of unknown etiology, characterized by the growth of non-necrotizing and non-caseating granulomas and manifesting with clinical pictures that vary on the basis of the organs that are mainly affected. Lungs and intrathoracic lymph nodes are the sites that are most often involved, but virtually no organ is spared from this disease. Histopathology is distinctive but not pathognomonic, since the findings can be found also in other granulomatous disorders. The knowledge of these findings is important because it could be helpful to differentiate sarcoidosis from the other granulomatous-related diseases. This review aims at illustrating the main clinical and histopathological findings that could help clinicians in their routine clinical practice.
结节病是一种病因不明的变色龙病,其特征为非坏死性和非干酪样肉芽肿的生长,并表现出基于主要受影响器官的不同临床表现。肺和胸内淋巴结是最常受累的部位,但实际上没有任何器官能幸免于此病。组织病理学具有特征性但非特异性,因为这些发现也可见于其他肉芽肿性疾病中。了解这些发现很重要,因为这有助于将结节病与其他肉芽肿性相关疾病区分开来。本篇综述旨在阐述有助于临床医生在日常临床实践中进行鉴别的主要临床和组织病理学发现。