Hsu S M, Hsu P L
Am J Pathol. 1986 Feb;122(2):223-30.
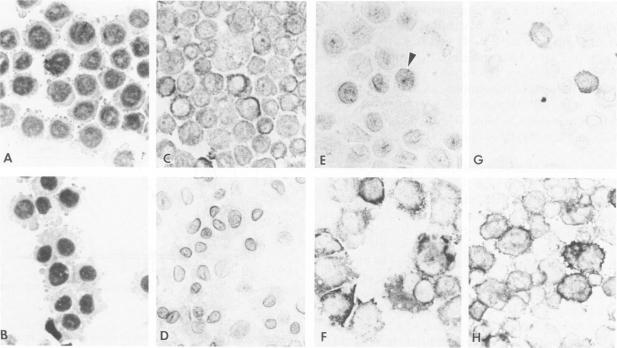
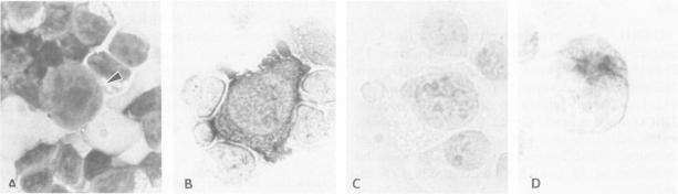
Hodgkin's mononuclear cells, Reed-Sternberg (H-RS) cells, and U-937 and SU-DHL-1 histocytic cell lines were induced to differentiate by phorbol ester in cultures. The phenotypes of cells were determined by a panel of antibodies specific for monocytes, histiocytes, and interdigitating reticulum cells. Before induction, SU-DHL-1 cells and H-RS cells expressed similar markers, such as HeFi-1, 2H9, 1A2, and 1E9. In addition, SU-DHL-1 cells were also stained by Tac and Leu M5. Other monocyte markers, including OK M1, Co Mo2, BRL Mo1, BRL Mo2, and Leu M3 were consistently negative in both types of cells. After induction, SU-DHL-1 cells conserved the same phenotype, but H-RS cells became negative for HeFi-1, 1A2, and 2H9. The U-937 cells expressed Leu M1 and Co Mo2 and became positive for Leu M5, OK M1, Co Mo2, BRL Mo2, 2H9, and 1E9 after phorbol ester induction. The U-937 cells did not express HeFi-1 or 1A2. The marker expression of H-RS cells, SU-DHL-1 cells, and U-937 cells were compared with those of histiocytes or interdigitating reticulum cells in lymphoid tissues and with neoplastic cells in true histiocytic lymphoma and malignant histiocytosis. It is concluded that SU-DHL-1, U-937, and H-RS cells are derived from or most closely related to fixed histiocytes, free histiocytes, and interdigitating reticulum cells, respectively. Our study further confirms the diagnosis of SU-DHL-1 as true histiocytic lymphoma but reveals that U-937 is a case of malignant histiocytosis rather than the previously diagnosed histiocytic lymphoma. The phenotypes and induction properties of SU-DHL-1 cells are quite different from those of U-937 cells, which suggests that true histiocytic lymphoma and malignant histiocytosis are two distinct disease entities.
霍奇金单核细胞、里德-施特恩伯格(H-RS)细胞以及U-937和SU-DHL-1组织细胞系在培养物中被佛波酯诱导分化。通过一组针对单核细胞、组织细胞和交错突网状细胞的特异性抗体来确定细胞的表型。诱导前,SU-DHL-1细胞和H-RS细胞表达相似的标志物,如HeFi-1、2H9、1A2和1E9。此外,SU-DHL-1细胞也被Tac和Leu M5染色。其他单核细胞标志物,包括OK M1、Co Mo2、BRL Mo1、BRL Mo2和Leu M3在这两种细胞中始终呈阴性。诱导后,SU-DHL-1细胞保持相同的表型,但H-RS细胞对HeFi-1、1A2和2H9呈阴性。U-937细胞表达Leu M1和Co Mo2,在佛波酯诱导后对Leu M5、OK M1、Co Mo2、BRL Mo2、2H9和1E9呈阳性。U-937细胞不表达HeFi-1或1A2。将H-RS细胞、SU-DHL-1细胞和U-937细胞的标志物表达与淋巴组织中的组织细胞或交错突网状细胞以及真性组织细胞淋巴瘤和恶性组织细胞增多症中的肿瘤细胞进行比较。得出的结论是,SU-DHL-1、U-937和H-RS细胞分别来源于固定组织细胞、游离组织细胞和交错突网状细胞或与之关系最为密切。我们的研究进一步证实SU-DHL-1诊断为真性组织细胞淋巴瘤,但显示U-937是恶性组织细胞增多症病例而非先前诊断的组织细胞淋巴瘤。SU-DHL-1细胞的表型和诱导特性与U-937细胞有很大不同,这表明真性组织细胞淋巴瘤和恶性组织细胞增多症是两个不同的疾病实体。