• 文献检索
  • 文档翻译
  • 深度研究
  • 学术资讯
  • Suppr Zotero 插件Zotero 插件
  • 邀请有礼
  • 套餐&价格
  • 历史记录
应用&插件
Suppr Zotero 插件Zotero 插件浏览器插件Mac 客户端Windows 客户端微信小程序
定价
高级版会员购买积分包购买API积分包
服务
文献检索文档翻译深度研究API 文档MCP 服务
关于我们
关于 Suppr公司介绍联系我们用户协议隐私条款
关注我们

Suppr 超能文献

核心技术专利:CN118964589B侵权必究
粤ICP备2023148730 号-1Suppr @ 2026

文献检索

告别复杂PubMed语法,用中文像聊天一样搜索,搜遍4000万医学文献。AI智能推荐,让科研检索更轻松。

立即免费搜索

文件翻译

保留排版,准确专业,支持PDF/Word/PPT等文件格式,支持 12+语言互译。

免费翻译文档

深度研究

AI帮你快速写综述,25分钟生成高质量综述,智能提取关键信息,辅助科研写作。

立即免费体验

抑制NEK7通过介导癌细胞焦亡抑制肝癌进展。

Inhibition of NEK7 Suppressed Hepatocellular Carcinoma Progression by Mediating Cancer Cell Pyroptosis.

作者信息

Yan Zilong, Da Qingen, Li Zhangfu, Lin Qirui, Yi Jing, Su Yanze, Yu Guanyin, Ren Qingqi, Liu Xu, Lin Zewei, Qu Jianhua, Yin Weihua, Liu Jikui

机构信息

Department of Hepatobiliary Surgery, Peking University Shenzhen Hospital, Shenzhen-Peking University-Hong Kong University of Science and Technology Medical Center, Shenzhen, China.

Department of Hepatobiliary Surgery, Peking University Shenzhen Hospital, Shenzhen, China.

出版信息

Front Oncol. 2022 Feb 10;12:812655. doi: 10.3389/fonc.2022.812655. eCollection 2022.

DOI:10.3389/fonc.2022.812655
PMID:35223495
原文链接:https://pmc.ncbi.nlm.nih.gov/articles/PMC8866693/
Abstract

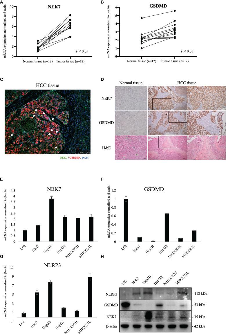
NIMA-related kinase 7 (NEK7) is a serine/threonine kinase involved in cell cycle progression mitotic spindle formation and cytokinesis. It has been related to multiple cancers, including breast cancer, hepatocellular cancer, lung cancer, and colorectal cancer. Moreover, NEK7 regulated the NLRP3 inflammasome to activate Caspase-1, resulting in cell pyroptosis. In the present study, we investigated whether NEK7 is involved in cell pyroptosis of hepatocellular carcinoma (HCC). Interestingly, we found that NEK7 was significantly related to expression of pyroptosis marker GSDMD in HCC. We found that NEK7 expression was significantly correlated with GSDMD expression in bioinformatics analysis, and NEK7 expression was significantly co-expressed with GSDMD in our HCC specimens. Cell viability, migration, and invasion capacity of HCC cell lines were inhibited, and the tumor growth in the xenograft mouse model was also suppressed following knockdown of NEK7 expression. Mechanistic studies revealed that knockdown of NEK7 in HCC cells significantly upregulated the expression of pyroptosis markers such as NLRP3, Caspase-1, and GSDMD. Coculture of HCC cells stimulated hepatic stellate cell activation by increasing p-ERK1/2 and α-SMA. Knockdown of NEK7 impaired the stimulation of HCC cells. Therefore, downregulation of NEK7 inhibited cancer-stromal interaction by triggering cancer cell pyroptosis. Taken together, this study highlights the functional role of NEK7-regulated pyroptosis in tumor progression and cancer-stromal interaction of HCC, suggesting NEK7 as a potential target for a new therapeutic strategy of HCC treatment.

摘要

NIMA相关激酶7(NEK7)是一种丝氨酸/苏氨酸激酶,参与细胞周期进程、有丝分裂纺锤体形成和胞质分裂。它与多种癌症相关,包括乳腺癌、肝细胞癌、肺癌和结直肠癌。此外,NEK7调节NLRP3炎性小体以激活半胱天冬酶-1,导致细胞焦亡。在本研究中,我们调查了NEK7是否参与肝细胞癌(HCC)的细胞焦亡。有趣的是,我们发现NEK7与HCC中焦亡标志物GSDMD的表达显著相关。我们发现在生物信息学分析中NEK7表达与GSDMD表达显著相关,并且在我们的HCC标本中NEK7表达与GSDMD显著共表达。敲低NEK7表达后,HCC细胞系的细胞活力、迁移和侵袭能力受到抑制,异种移植小鼠模型中的肿瘤生长也受到抑制。机制研究表明,在HCC细胞中敲低NEK7显著上调了焦亡标志物如NLRP3、半胱天冬酶-1和GSDMD的表达。HCC细胞的共培养通过增加p-ERK1/2和α-SMA刺激肝星状细胞活化。敲低NEK7削弱了HCC细胞的刺激作用。因此,NEK7的下调通过触发癌细胞焦亡抑制癌-基质相互作用。综上所述,本研究突出了NEK7调节的焦亡在HCC肿瘤进展和癌-基质相互作用中的功能作用,表明NEK7作为HCC治疗新策略的潜在靶点。

https://cdn.ncbi.nlm.nih.gov/pmc/blobs/2648/8866693/340f00f480af/fonc-12-812655-g006.jpg
https://cdn.ncbi.nlm.nih.gov/pmc/blobs/2648/8866693/bbade0e7a328/fonc-12-812655-g001.jpg
https://cdn.ncbi.nlm.nih.gov/pmc/blobs/2648/8866693/670f6ea8e0e6/fonc-12-812655-g002.jpg
https://cdn.ncbi.nlm.nih.gov/pmc/blobs/2648/8866693/a5bc4ecbb52f/fonc-12-812655-g003.jpg
https://cdn.ncbi.nlm.nih.gov/pmc/blobs/2648/8866693/932ef0db92f4/fonc-12-812655-g004.jpg
https://cdn.ncbi.nlm.nih.gov/pmc/blobs/2648/8866693/0c54ce987717/fonc-12-812655-g005.jpg
https://cdn.ncbi.nlm.nih.gov/pmc/blobs/2648/8866693/340f00f480af/fonc-12-812655-g006.jpg
https://cdn.ncbi.nlm.nih.gov/pmc/blobs/2648/8866693/bbade0e7a328/fonc-12-812655-g001.jpg
https://cdn.ncbi.nlm.nih.gov/pmc/blobs/2648/8866693/670f6ea8e0e6/fonc-12-812655-g002.jpg
https://cdn.ncbi.nlm.nih.gov/pmc/blobs/2648/8866693/a5bc4ecbb52f/fonc-12-812655-g003.jpg
https://cdn.ncbi.nlm.nih.gov/pmc/blobs/2648/8866693/932ef0db92f4/fonc-12-812655-g004.jpg
https://cdn.ncbi.nlm.nih.gov/pmc/blobs/2648/8866693/0c54ce987717/fonc-12-812655-g005.jpg
https://cdn.ncbi.nlm.nih.gov/pmc/blobs/2648/8866693/340f00f480af/fonc-12-812655-g006.jpg

相似文献

1
Inhibition of NEK7 Suppressed Hepatocellular Carcinoma Progression by Mediating Cancer Cell Pyroptosis.抑制NEK7通过介导癌细胞焦亡抑制肝癌进展。
Front Oncol. 2022 Feb 10;12:812655. doi: 10.3389/fonc.2022.812655. eCollection 2022.
2
Nek7 is overexpressed in hepatocellular carcinoma and promotes hepatocellular carcinoma cell proliferation in vitro and in vivo.Nek7在肝细胞癌中过度表达,并在体外和体内促进肝癌细胞增殖。
Oncotarget. 2016 Apr 5;7(14):18620-30. doi: 10.18632/oncotarget.7620.
3
Quercetin-induced pyroptosis in colon cancer through NEK7-mediated NLRP3 inflammasome-GSDMD signaling pathway activation.槲皮素通过NEK7介导的NLRP3炎性小体-GSDMD信号通路激活诱导结肠癌细胞焦亡。
Am J Cancer Res. 2024 Mar 15;14(3):934-958. doi: 10.62347/MKAN3550. eCollection 2024.
4
NEK7 interacts with NLRP3 to modulate the pyroptosis in inflammatory bowel disease via NF-κB signaling.NEK7 通过 NF-κB 信号与 NLRP3 相互作用,调节炎症性肠病中的细胞焦亡。
Cell Death Dis. 2019 Dec 2;10(12):906. doi: 10.1038/s41419-019-2157-1.
5
EK7 Regulates NLRP3 Inflammasome Activation and Neuroinflammation Post-traumatic Brain Injury.EK7调节创伤性脑损伤后的NLRP3炎性小体激活和神经炎症。
Front Mol Neurosci. 2019 Aug 29;12:202. doi: 10.3389/fnmol.2019.00202. eCollection 2019.
6
LncRNA SNHG3 Promotes Sevoflurane-Induced Neuronal Injury by Activating NLRP3 via NEK7.长链非编码 RNA SNHG3 通过激活 NEK7 促进七氟醚诱导的神经元损伤。
Neurochem Res. 2023 Sep;48(9):2754-2766. doi: 10.1007/s11064-023-03939-3. Epub 2023 Apr 24.
7
E2-Induced Activation of the NLRP3 Inflammasome Triggers Pyroptosis and Inhibits Autophagy in HCC Cells.E2 诱导的 NLRP3 炎性小体激活触发 HCC 细胞焦亡并抑制自噬。
Oncol Res. 2019 Jul 12;27(7):827-834. doi: 10.3727/096504018X15462920753012. Epub 2019 Mar 25.
8
NIMA-related kinase 7 amplifies NLRP3 inflammasome pro-inflammatory signaling in microglia/macrophages and mice models of spinal cord injury.NIMA 相关激酶 7 在小胶质细胞/巨噬细胞和脊髓损伤小鼠模型中放大 NLRP3 炎性体炎症信号。
Exp Cell Res. 2021 Jan 15;398(2):112418. doi: 10.1016/j.yexcr.2020.112418. Epub 2020 Dec 9.
9
Miltirone induces cell death in hepatocellular carcinoma cell through GSDME-dependent pyroptosis.米替罗宁通过Gasdermin E(GSDME)依赖的细胞焦亡诱导肝癌细胞死亡。
Acta Pharm Sin B. 2020 Aug;10(8):1397-1413. doi: 10.1016/j.apsb.2020.06.015. Epub 2020 Jul 2.
10
Alpinumisoflavone suppresses hepatocellular carcinoma cell growth and metastasis via NLRP3 inflammasome-mediated pyroptosis.白杨素通过 NLRP3 炎性小体介导的细胞焦亡抑制肝癌细胞的生长和转移。
Pharmacol Rep. 2020 Oct;72(5):1370-1382. doi: 10.1007/s43440-020-00064-8. Epub 2020 Mar 3.

引用本文的文献

1
Curcumin as a Dual Modulator of Pyroptosis: Mechanistic Insights and Therapeutic Potential.姜黄素作为细胞焦亡的双重调节剂:作用机制及治疗潜力
Int J Mol Sci. 2025 Aug 6;26(15):7590. doi: 10.3390/ijms26157590.
2
Identification of a NEK7-related pyroptosis gene signature against pancreatic cancer and evaluation of its potential in tumor microenvironment remodeling via regulating inflammasome complex.鉴定与NEK7相关的胰腺癌焦亡基因特征并评估其通过调节炎性小体复合物在肿瘤微环境重塑中的潜力。
Funct Integr Genomics. 2025 Apr 21;25(1):92. doi: 10.1007/s10142-025-01597-y.
3
The NIMA-related kinase family and cancer.

本文引用的文献

1
NEK7 Promotes Pancreatic Cancer Progression And Its Expression Is Correlated With Poor Prognosis.NEK7促进胰腺癌进展,其表达与不良预后相关。
Front Oncol. 2021 Jul 6;11:705797. doi: 10.3389/fonc.2021.705797. eCollection 2021.
2
LAMA4 upregulation is associated with high liver metastasis potential and poor survival outcome of Pancreatic Cancer.LAMA4上调与胰腺癌的高肝转移潜能及不良生存结果相关。
Theranostics. 2020 Aug 13;10(22):10274-10289. doi: 10.7150/thno.47001. eCollection 2020.
3
Induction of ASC pyroptosis requires gasdermin D or caspase-1/11-dependent mediators and IFNβ from pyroptotic macrophages.
NIMA相关激酶家族与癌症。
Front Oncol. 2025 Mar 27;15:1556917. doi: 10.3389/fonc.2025.1556917. eCollection 2025.
4
NEK kinases in cell cycle regulation, DNA damage response, and cancer progression.NEK激酶在细胞周期调控、DNA损伤反应及癌症进展中的作用
Tissue Cell. 2025 Jun;94:102811. doi: 10.1016/j.tice.2025.102811. Epub 2025 Feb 28.
5
NEK6 functions as an oncogene to promote the proliferation and metastasis of ovarian cancer.NEK6作为一种癌基因,促进卵巢癌的增殖和转移。
J Cancer. 2025 Jan 13;16(4):1335-1346. doi: 10.7150/jca.103769. eCollection 2025.
6
Identification of pyroptosis-associated miRNAs in the immunoscape and prognosis of hepatocellular carcinoma.肝细胞癌免疫景观及预后中焦亡相关 microRNA 的鉴定
BMC Cancer. 2024 Dec 18;24(1):1513. doi: 10.1186/s12885-024-13276-5.
7
The mC/mA/mG-related non-apoptotic regulatory cell death genes for the prediction of the prognosis and immune infiltration status in hepatocellular carcinoma.用于预测肝细胞癌预后和免疫浸润状态的与mC/mA/mG相关的非凋亡调节性细胞死亡基因。
Transl Cancer Res. 2024 Sep 30;13(9):4714-4735. doi: 10.21037/tcr-24-499. Epub 2024 Aug 30.
8
Pyroptosis in health and disease: mechanisms, regulation and clinical perspective.细胞焦亡在健康和疾病中的作用:机制、调控及临床研究进展
Signal Transduct Target Ther. 2024 Sep 20;9(1):245. doi: 10.1038/s41392-024-01958-2.
9
Research progress on the effect of pyroptosis on the occurrence, development, invasion and metastasis of colorectal cancer.焦亡对结直肠癌发生、发展、侵袭和转移影响的研究进展
World J Gastrointest Oncol. 2024 Aug 15;16(8):3410-3427. doi: 10.4251/wjgo.v16.i8.3410.
10
Programmed cell death in hepatocellular carcinoma: mechanisms and therapeutic prospects.肝细胞癌中的程序性细胞死亡:机制与治疗前景
Cell Death Discov. 2024 Aug 8;10(1):356. doi: 10.1038/s41420-024-02116-x.
诱导 ASC 细胞焦亡需要 gasdermin D 或 caspase-1/11 依赖性介质以及来自焦亡巨噬细胞的 IFNβ。
Cell Death Dis. 2020 Jun 18;11(6):470. doi: 10.1038/s41419-020-2664-0.
4
FDA-approved disulfiram inhibits pyroptosis by blocking gasdermin D pore formation.美国食品药品监督管理局批准的双硫仑通过阻断gasdermin D 孔形成来抑制细胞焦亡。
Nat Immunol. 2020 Jul;21(7):736-745. doi: 10.1038/s41590-020-0669-6. Epub 2020 May 4.
5
Short Exposure to Ethanol Diminishes Caspase-1 and ASC Activation in Human HepG2 Cells In Vitro.短时间接触乙醇可减少人 HepG2 细胞中 Caspase-1 和 ASC 的激活。
Int J Mol Sci. 2020 Apr 30;21(9):3196. doi: 10.3390/ijms21093196.
6
NEK7: a potential therapy target for NLRP3-related diseases.NEK7:NLRP3 相关疾病的潜在治疗靶点。
Biosci Trends. 2020 May 21;14(2):74-82. doi: 10.5582/bst.2020.01029. Epub 2020 Apr 16.
7
Structural Mechanism for GSDMD Targeting by Autoprocessed Caspases in Pyroptosis.细胞焦亡的 Caspase 自加工靶向 GSDMD 的结构机制。
Cell. 2020 Mar 5;180(5):941-955.e20. doi: 10.1016/j.cell.2020.02.002. Epub 2020 Feb 27.
8
Therapeutic modulators of hepatic stellate cells for hepatocellular carcinoma.用于肝细胞癌的肝星状细胞治疗调节剂。
Int J Cancer. 2020 Sep 15;147(6):1519-1527. doi: 10.1002/ijc.32899. Epub 2020 Mar 5.
9
TGF-β in Hepatic Stellate Cell Activation and Liver Fibrogenesis-Updated 2019.TGF-β 在肝星状细胞激活和肝纤维化中的作用-2019 更新版。
Cells. 2019 Nov 11;8(11):1419. doi: 10.3390/cells8111419.
10
The role of pyroptosis in cancer: pro-cancer or pro-"host"?细胞焦亡在癌症中的作用:促癌还是促“宿主”?
Cell Death Dis. 2019 Sep 9;10(9):650. doi: 10.1038/s41419-019-1883-8.