• 文献检索
  • 文档翻译
  • 深度研究
  • 学术资讯
  • Suppr Zotero 插件Zotero 插件
  • 邀请有礼
  • 套餐&价格
  • 历史记录
应用&插件
Suppr Zotero 插件Zotero 插件浏览器插件Mac 客户端Windows 客户端微信小程序
定价
高级版会员购买积分包购买API积分包
服务
文献检索文档翻译深度研究API 文档MCP 服务
关于我们
关于 Suppr公司介绍联系我们用户协议隐私条款
关注我们

Suppr 超能文献

核心技术专利:CN118964589B侵权必究
粤ICP备2023148730 号-1Suppr @ 2026

文献检索

告别复杂PubMed语法,用中文像聊天一样搜索,搜遍4000万医学文献。AI智能推荐,让科研检索更轻松。

立即免费搜索

文件翻译

保留排版,准确专业,支持PDF/Word/PPT等文件格式,支持 12+语言互译。

免费翻译文档

深度研究

AI帮你快速写综述,25分钟生成高质量综述,智能提取关键信息,辅助科研写作。

立即免费体验

眼底镜引导下无荧光素血管造影的局灶性激光光凝治疗中心性浆液性脉络膜视网膜病变。

Funduscopy-guided fluorescein angiography-free focal laser photocoagulation for central serous chorioretinopathy.

机构信息

Department of Vitreoretina, JPM Rotary Eye Hospital and Research Institute, Cuttack, Odisha, India.

出版信息

Indian J Ophthalmol. 2022 Mar;70(3):890-894. doi: 10.4103/ijo.IJO_2006_21.

DOI:10.4103/ijo.IJO_2006_21
PMID:35225537
原文链接:https://pmc.ncbi.nlm.nih.gov/articles/PMC9114585/
Abstract

PURPOSE

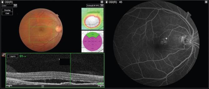
To identify and correlate hypopigmented spots on fundoscopy with the leakage points on fluorescein angiography (FA) in patients with central serous chorioretinopathy (CSCR) to provide criteria for FA-free focal laser photocoagulation (FLP).

METHODS

Fifty consecutive patients of acute CSCR were evaluated between March and October 2019 confirming the inclusion and exclusion criteria. Colocalization of leakage points with discrete hypopigmented spots on clinical fundoscopy was evaluated using FA. Positive predictive value (PPV) was calculated to identify the status of association between these to formulate criteria for FA-free FLP of CSCR patients in future.

RESULTS

Out of the 50 eyes, 38 (76%) had a discrete hypopigmented spot on fundoscopy which coincided with the leakage point on FA. The PPV of finding a leakage point at the area of discrete hypopigmented spot is 95%. Colocalization with a pigment epithelial detachment was found in 25 (65.7%) of these 38 eyes. Retinal pigment epithelial irregularities were found associated in all of these 38 eyes. Subretinal homogenously hyperreflective material was found in 8 (21.05%) of 38 eyes. optical coherence tomography following FLP of leakage point in all cases showed complete resolution of CSCR in 47 (94%) eyes.

CONCLUSION

This study demonstrates that hypopigmented spots on clinical fundus examination in CSCR patients, when present, coincide with the leakage point of FA. This may aid to undergo FA-free FLP treatment in CSCR patients.

摘要

目的

在中心性浆液性脉络膜视网膜病变(CSCR)患者中,通过眼底镜检查发现和关联色素减退斑与荧光素血管造影(FA)中的渗漏点,为无 FA 光斑激光光凝(FLP)提供标准。

方法

2019 年 3 月至 10 月间评估了 50 例连续的急性 CSCR 患者,以确定纳入和排除标准。使用 FA 评估 FA 中的渗漏点与临床眼底镜下离散色素减退斑的共定位。计算阳性预测值(PPV)以确定这些之间的关联状态,为未来 CSCR 患者无 FA FLP 制定标准。

结果

在 50 只眼中,38 只(76%)眼底镜检查有离散色素减退斑,与 FA 中的渗漏点吻合。在离散色素减退斑区域发现渗漏点的 PPV 为 95%。在这 38 只眼中,有 25 只(65.7%)与色素上皮脱离共定位。在所有这些 38 只眼中都发现了视网膜色素上皮不规则。在 38 只眼中的 8 只(21.05%)发现了视网膜下均匀高反射物质。所有病例在 FLP 治疗渗漏点后进行的光学相干断层扫描显示,47 只(94%)眼的 CSCR 完全消退。

结论

本研究表明,CSCR 患者眼底镜检查中出现的色素减退斑与 FA 的渗漏点吻合。这可能有助于 CSCR 患者进行无 FA 的 FLP 治疗。

https://cdn.ncbi.nlm.nih.gov/pmc/blobs/bb19/9114585/3e198d314147/IJO-70-890-g005.jpg
https://cdn.ncbi.nlm.nih.gov/pmc/blobs/bb19/9114585/a5e0ff60451a/IJO-70-890-g001.jpg
https://cdn.ncbi.nlm.nih.gov/pmc/blobs/bb19/9114585/0e2b8e5ec645/IJO-70-890-g002.jpg
https://cdn.ncbi.nlm.nih.gov/pmc/blobs/bb19/9114585/8e5ac54a8179/IJO-70-890-g003.jpg
https://cdn.ncbi.nlm.nih.gov/pmc/blobs/bb19/9114585/6b708b5c9013/IJO-70-890-g004.jpg
https://cdn.ncbi.nlm.nih.gov/pmc/blobs/bb19/9114585/3e198d314147/IJO-70-890-g005.jpg
https://cdn.ncbi.nlm.nih.gov/pmc/blobs/bb19/9114585/a5e0ff60451a/IJO-70-890-g001.jpg
https://cdn.ncbi.nlm.nih.gov/pmc/blobs/bb19/9114585/0e2b8e5ec645/IJO-70-890-g002.jpg
https://cdn.ncbi.nlm.nih.gov/pmc/blobs/bb19/9114585/8e5ac54a8179/IJO-70-890-g003.jpg
https://cdn.ncbi.nlm.nih.gov/pmc/blobs/bb19/9114585/6b708b5c9013/IJO-70-890-g004.jpg
https://cdn.ncbi.nlm.nih.gov/pmc/blobs/bb19/9114585/3e198d314147/IJO-70-890-g005.jpg

相似文献

1
Funduscopy-guided fluorescein angiography-free focal laser photocoagulation for central serous chorioretinopathy.眼底镜引导下无荧光素血管造影的局灶性激光光凝治疗中心性浆液性脉络膜视网膜病变。
Indian J Ophthalmol. 2022 Mar;70(3):890-894. doi: 10.4103/ijo.IJO_2006_21.
2
Topography-guided identification of leakage point in central serous chorioretinopathy: a base for fluorescein angiography-free focal laser photocoagulation.基于眼底地形图引导定位的中心性浆液性脉络膜视网膜病变渗漏点检测:无荧光素眼底血管造影的局灶性激光光凝治疗的基础。
Br J Ophthalmol. 2018 Sep;102(9):1218-1225. doi: 10.1136/bjophthalmol-2017-311338. Epub 2018 Jan 4.
3
[Optical coherence tomography in diagnostics and treatment of central serous chorioretinopathy].[光学相干断层扫描在中心性浆液性脉络膜视网膜病变诊断与治疗中的应用]
Vestn Oftalmol. 2018;134(6):15-24. doi: 10.17116/oftalma201813406115.
4
Clinical Application of Fluorescein Angiography-Free Navigated Focal Laser Photocoagulation in Central Serous Chorioretinopathy.无荧光素血管造影导航的局灶性激光光凝术在中心性浆液性脉络膜视网膜病变中的临床应用
Ophthalmic Surg Lasers Imaging Retina. 2019 Apr 1;50(4):e118-e124. doi: 10.3928/23258160-20190401-16.
5
Efficacy of Navigated Laser Photocoagulation for Chronic Central Serous Chorioretinopathy: A Retrospective Observational Study.导航激光光凝治疗慢性中心性浆液性脉络膜视网膜病变的疗效:一项回顾性观察研究。
Dis Markers. 2022 Apr 20;2022:7792291. doi: 10.1155/2022/7792291. eCollection 2022.
6
Central Serous Chorioretinopathy: Morphological and Functional Outcome after Subthreshold Thermal Laser Coagulation with a Frequency-Doubled Nd:YAG Continuous-Wave Laser.中心性浆液性脉络膜视网膜病变:倍频 Nd:YAG 连续波激光阈下热激光光凝术后的形态学和功能结果。
Ophthalmologica. 2022;245(1):59-68. doi: 10.1159/000519234. Epub 2021 Sep 13.
7
Correlation in acute CSCR between hyperreflectivity on the infrared image in optical coherence tomography and fluorescein angiography.光学相干断层扫描中红外图像的高反射性与荧光素血管造影在急性中心性浆液性脉络膜视网膜病变中的相关性。
Eur J Ophthalmol. 2021 Sep;31(5):2571-2577. doi: 10.1177/1120672120957600. Epub 2020 Sep 9.
8
Pathogenesis of Central Serous Chorioretinopathy and the Link Between Choroidal Hyperpermeability and Retinal Pigment Epithelium Pump Reversal.中心性浆液性脉络膜视网膜病变的发病机制及脉络膜高通透性与视网膜色素上皮泵功能逆转的关系。
Am J Ophthalmol. 2024 Oct;266:206-217. doi: 10.1016/j.ajo.2024.04.025. Epub 2024 May 7.
9
Multicolour imaging in central serous chorioretinopathy.多色成像在中心性浆液性脉络膜视网膜病变中的应用。
Clin Exp Optom. 2020 May;103(3):324-331. doi: 10.1111/cxo.12965. Epub 2019 Sep 6.
10
Fluorescein angiography as a primary guide for reduced-fluence photodynamic therapy for the treatment of chronic central serous chorioretinopathy.荧光素血管造影作为低强度光动力疗法治疗慢性中心性浆液性脉络膜视网膜病变的主要指导。
Int Ophthalmol. 2020 Jul;40(7):1807-1813. doi: 10.1007/s10792-020-01350-3. Epub 2020 Apr 9.

引用本文的文献

1
Fluorescein-free detection of focal leak in a patient with acute central serous chorioretinopathy.急性中心性浆液性脉络膜视网膜病变患者无荧光素聚焦渗漏检测
Oman J Ophthalmol. 2025 Feb 25;18(1):48-50. doi: 10.4103/ojo.ojo_29_24. eCollection 2025 Jan-Apr.
2
Commentary: Retinal pigment epithelial leak identification in central serous chorioretinopathy: Is fundus fluorescein angiography a must?述评:中心性浆液性脉络膜视网膜病变中视网膜色素上皮渗漏的识别:荧光素眼底血管造影是必需的吗?
Indian J Ophthalmol. 2022 Mar;70(3):895-896. doi: 10.4103/ijo.IJO_2753_21.

本文引用的文献

1
Multifocal electroretinography-assisted anatomical and functional evaluation of subthreshold green laser in acute central serous chorioretinopathy.多焦视网膜电图辅助亚阈值绿光激光治疗急性中心性浆液性脉络膜视网膜病变的解剖和功能评估。
Indian J Ophthalmol. 2021 Sep;69(9):2341-2346. doi: 10.4103/ijo.IJO_3401_20.
2
Central serous chorioretinopathy: Current update on pathophysiology and multimodal imaging.中心性浆液性脉络膜视网膜病变:病理生理学与多模态成像的最新进展
Oman J Ophthalmol. 2018 May-Aug;11(2):103-112. doi: 10.4103/ojo.OJO_75_2017.
3
Topography-guided identification of leakage point in central serous chorioretinopathy: a base for fluorescein angiography-free focal laser photocoagulation.
基于眼底地形图引导定位的中心性浆液性脉络膜视网膜病变渗漏点检测:无荧光素眼底血管造影的局灶性激光光凝治疗的基础。
Br J Ophthalmol. 2018 Sep;102(9):1218-1225. doi: 10.1136/bjophthalmol-2017-311338. Epub 2018 Jan 4.
4
Central Serous Chorioretinopathy.中心性浆液性脉络膜视网膜病变
Dev Ophthalmol. 2017;58:27-38. doi: 10.1159/000455267. Epub 2017 Mar 28.
5
RISK FACTORS FOR CENTRAL SEROUS CHORIORETINOPATHY: A Systematic Review and Meta-Analysis.中心性浆液性脉络膜视网膜病变的危险因素:一项系统评价与Meta分析
Retina. 2016 Jan;36(1):9-19. doi: 10.1097/IAE.0000000000000837.
6
Advances in the treatment of central serous chorioretinopathy.中心性浆液性脉络膜视网膜病变的治疗进展
Saudi J Ophthalmol. 2015 Oct-Dec;29(4):278-86. doi: 10.1016/j.sjopt.2015.01.007. Epub 2015 Jan 24.
7
Central serous chorioretinopathy: update on pathophysiology and treatment.中心性浆液性脉络膜视网膜病变:发病机制和治疗的最新进展。
Surv Ophthalmol. 2013 Mar-Apr;58(2):103-26. doi: 10.1016/j.survophthal.2012.07.004.
8
Morphologic changes in acute central serous chorioretinopathy using spectral domain optical coherence tomography.利用频域光学相干断层扫描技术观察急性中心性浆液性脉络膜视网膜病变的形态学变化。
Korean J Ophthalmol. 2012 Oct;26(5):347-54. doi: 10.3341/kjo.2012.26.5.347. Epub 2012 Sep 24.
9
Subretinal dot-like precipitates and yellow material in central serous chorioretinopathy.中浆病的脉络膜视网膜下有小点状沉淀物和黄色物质。
Retina. 2011 Apr;31(4):759-65. doi: 10.1097/IAE.0b013e3181fbce8e.
10
The optical coherence tomography-ophthalmoscope for examination of central serous chorioretinopathy with precipitates.用于检查伴有沉淀物的中心性浆液性脉络膜视网膜病变的光学相干断层扫描检眼镜。
Retina. 2008 Jun;28(6):864-9. doi: 10.1097/IAE.0b013e3181669795.