Suppr超能文献

病例报告:新冠疫苗接种后心肌炎——病例系列及文献综述

Case Report: Myocarditis After COVID-19 Vaccination - Case Series and Literature Review.

作者信息

Nunn Samuel, Kersten Johannes, Tadic Marijana, Wolf Alexander, Gonska Birgid, Hüll Elina, Dietenberger Hanna, Rottbauer Wolfgang, Buckert Dominik

机构信息

Department for Internal Medicine II, University of Ulm, Ulm, Germany.

Department of Pathology, University of Ulm, Ulm, Germany.

出版信息

Front Med (Lausanne). 2022 Feb 14;9:836620. doi: 10.3389/fmed.2022.836620. eCollection 2022.

Abstract

BACKGROUND

The ongoing COVID-19 pandemic demands a series of measures and, above all, the vaccination of a substantial proportion of the population. Acute myocarditis is a rare complication of the widely used mRNA-based vaccines.

CASE PRESENTATION

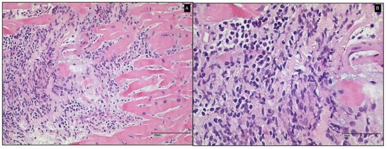
We present a case series of four patients (three men and one woman, 16 to 47 years old) with acute pericarditis/myocarditis 3 to 17 days after mRNA vaccination. They presented with chest pain, fever, and flu-like symptoms. Diagnosis was made based on the synopsis of clinical presentation, elevated levels of troponin T and NT-proBNP, impaired systolic function on echocardiography, and findings in non-invasive tissue characterization by cardiovascular magnetic resonance imaging. Two patients also underwent endomyocardial biopsies. As none of the patients showed signs of cardiogenic shock, they were discharged from ward care only a few days after their initial presentations.

CONCLUSIONS

Our data are consistent with other case reports of myocarditis early after mRNA vaccination and demonstrate the need for multimodal diagnostics. In view of its rarity and mild course, the risk-benefit ratio of vaccination remains positive compared to potential SARS-CoV-2 infection.

摘要

背景

持续的新冠疫情需要一系列措施,尤其是要让很大一部分人口接种疫苗。急性心肌炎是广泛使用的基于信使核糖核酸(mRNA)的疫苗的一种罕见并发症。

病例报告

我们报告了一组病例,4名患者(3名男性和1名女性,年龄在16至47岁之间)在接种mRNA疫苗后3至17天出现急性心包炎/心肌炎。他们表现为胸痛、发热和流感样症状。诊断基于临床表现概要、肌钙蛋白T和N末端脑钠肽前体(NT-proBNP)水平升高、超声心动图显示的收缩功能受损以及心血管磁共振成像的非侵入性组织特征检查结果。两名患者还接受了心内膜心肌活检。由于所有患者均未出现心源性休克迹象,他们在初次就诊后仅几天就从病房护理中出院。

结论

我们的数据与其他关于接种mRNA疫苗后早期心肌炎的病例报告一致,并表明需要进行多模式诊断。鉴于其罕见性和病程较轻,与潜在的新冠病毒感染相比,疫苗接种的风险效益比仍然是积极的。

https://cdn.ncbi.nlm.nih.gov/pmc/blobs/3c13/8882906/6ad88b4e22b4/fmed-09-836620-g0001.jpg

文献检索

告别复杂PubMed语法,用中文像聊天一样搜索,搜遍4000万医学文献。AI智能推荐,让科研检索更轻松。

立即免费搜索

文件翻译

保留排版,准确专业,支持PDF/Word/PPT等文件格式,支持 12+语言互译。

免费翻译文档

深度研究

AI帮你快速写综述,25分钟生成高质量综述,智能提取关键信息,辅助科研写作。

立即免费体验