• 文献检索
  • 文档翻译
  • 深度研究
  • 学术资讯
  • Suppr Zotero 插件Zotero 插件
  • 邀请有礼
  • 套餐&价格
  • 历史记录
应用&插件
Suppr Zotero 插件Zotero 插件浏览器插件Mac 客户端Windows 客户端微信小程序
定价
高级版会员购买积分包购买API积分包
服务
文献检索文档翻译深度研究API 文档MCP 服务
关于我们
关于 Suppr公司介绍联系我们用户协议隐私条款
关注我们

Suppr 超能文献

核心技术专利:CN118964589B侵权必究
粤ICP备2023148730 号-1Suppr @ 2026

文献检索

告别复杂PubMed语法,用中文像聊天一样搜索,搜遍4000万医学文献。AI智能推荐,让科研检索更轻松。

立即免费搜索

文件翻译

保留排版,准确专业,支持PDF/Word/PPT等文件格式,支持 12+语言互译。

免费翻译文档

深度研究

AI帮你快速写综述,25分钟生成高质量综述,智能提取关键信息,辅助科研写作。

立即免费体验

鸡尾酒金刚鹦鹉感染艾美耳球虫(孢子纲:艾美耳科)的寄生虫学和组织病理学检查。

Parasitological and histopathological examination of Cocktail lovebirds infected with Eimeria aratinga (Apicomplexa: Eimeriidae).

机构信息

Department of Poultry Diseases, Faculty of Veterinary Medicine, Cairo University, Giza 12211, Egypt.

Department of Parasitology, Faculty of Veterinary Medicine, Cairo University, Giza 12211, Egypt.

出版信息

Poult Sci. 2022 May;101(5):101781. doi: 10.1016/j.psj.2022.101781. Epub 2022 Feb 11.

DOI:10.1016/j.psj.2022.101781
PMID:35320757
原文链接:https://pmc.ncbi.nlm.nih.gov/articles/PMC8938910/
Abstract

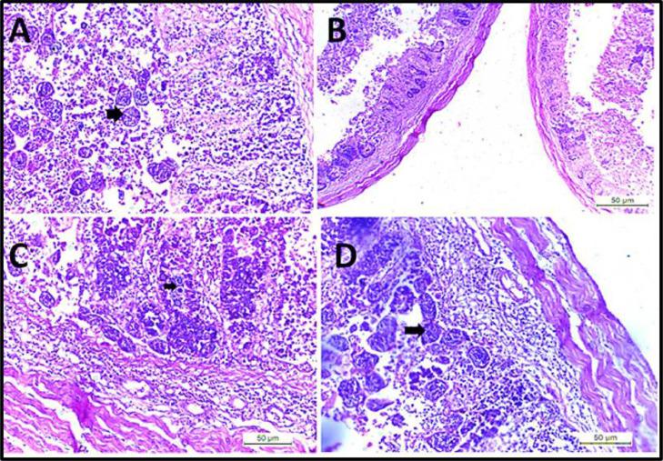
Coccidiosis is a devastating worldwide disease and is considered a dreadful disease in lovebirds. Indeed, a problem has been appeared cocktail lovebirds kept in a private pet birdhouse in Sheikh Zayed City, Giza, Egypt, in the shape of blood-tinged diarrhea, birds huddled together and showing signs of inappetence, ruffled feathers, unable to fly, general weakness and emaciation associated with high mortalities. Therefore, this study aimed to diagnose and find a suitable treatment to overcome such problems. To achieve this aim, blood and droppings samples were collected from infected and healthy birds for parasitological and hematological examinations, and tissue samples were collected from freshly dead birds for postmortem and histopathological examinations. A treatment trial was adopted on 50 infected birds and 25 healthy and parasitological negative birds and groups were classified as follows: group 1) 25 infected birds treated with Diclazuril, group 2) infected birds treated with Coccicure, and group 3) 25 birds kept as control negative reference birds. The parasitological identification revealed the presence of Eimeria aratinga (E. aratinga) oocysts in the infected bird intestine. Finally, we concluded that E. aratinga is a serious protozoon parasite infesting lovebirds revealing severe clinical signs, high mortalities, histopathological changes in the intestine and alteration in blood parameters. Diclazuril is an effective drug in treating E. aratinga in cocktail lovebirds.

摘要

球虫病是一种毁灭性的全球性疾病,被认为是爱情鸟的一种可怕疾病。事实上,在埃及吉萨的谢赫扎耶德市的私人宠物鸟舍中,出现了一个问题,即血便、鸟类挤在一起、食欲不振、羽毛蓬乱、无法飞行、全身无力和消瘦与高死亡率相关的鸡尾酒爱情鸟。因此,本研究旨在诊断并找到合适的治疗方法来克服这些问题。为了实现这一目标,从感染和健康的鸟类中采集血液和粪便样本进行寄生虫学和血液学检查,并从新死亡的鸟类中采集组织样本进行剖检和组织病理学检查。对 50 只感染鸟和 25 只健康且寄生虫阴性的鸟进行了治疗试验,并将它们分为以下几组:组 1)25 只感染的鸟用地克珠利治疗,组 2)感染的鸟用地克珠利治疗,组 3)25 只作为阴性对照的鸟。寄生虫学鉴定显示感染鸟的肠道中存在 Aratinga 艾美耳球虫(Eimeria aratinga)卵囊。最后,我们得出结论,E. aratinga 是一种严重的原生动物寄生虫,感染爱情鸟会出现严重的临床症状、高死亡率、肠道组织病理学变化和血液参数改变。地克珠利是治疗鸡尾酒爱情鸟中 E. aratinga 的有效药物。

https://cdn.ncbi.nlm.nih.gov/pmc/blobs/a36f/8938910/b6a79df106c6/gr8.jpg
https://cdn.ncbi.nlm.nih.gov/pmc/blobs/a36f/8938910/689ca0371dc5/gr1.jpg
https://cdn.ncbi.nlm.nih.gov/pmc/blobs/a36f/8938910/c3fe18a074f0/gr2.jpg
https://cdn.ncbi.nlm.nih.gov/pmc/blobs/a36f/8938910/b691c99df0e0/gr3.jpg
https://cdn.ncbi.nlm.nih.gov/pmc/blobs/a36f/8938910/22b00244b491/gr4.jpg
https://cdn.ncbi.nlm.nih.gov/pmc/blobs/a36f/8938910/d93988acc9fe/gr5.jpg
https://cdn.ncbi.nlm.nih.gov/pmc/blobs/a36f/8938910/6f552389a357/gr6.jpg
https://cdn.ncbi.nlm.nih.gov/pmc/blobs/a36f/8938910/ddca26087634/gr7.jpg
https://cdn.ncbi.nlm.nih.gov/pmc/blobs/a36f/8938910/b6a79df106c6/gr8.jpg
https://cdn.ncbi.nlm.nih.gov/pmc/blobs/a36f/8938910/689ca0371dc5/gr1.jpg
https://cdn.ncbi.nlm.nih.gov/pmc/blobs/a36f/8938910/c3fe18a074f0/gr2.jpg
https://cdn.ncbi.nlm.nih.gov/pmc/blobs/a36f/8938910/b691c99df0e0/gr3.jpg
https://cdn.ncbi.nlm.nih.gov/pmc/blobs/a36f/8938910/22b00244b491/gr4.jpg
https://cdn.ncbi.nlm.nih.gov/pmc/blobs/a36f/8938910/d93988acc9fe/gr5.jpg
https://cdn.ncbi.nlm.nih.gov/pmc/blobs/a36f/8938910/6f552389a357/gr6.jpg
https://cdn.ncbi.nlm.nih.gov/pmc/blobs/a36f/8938910/ddca26087634/gr7.jpg
https://cdn.ncbi.nlm.nih.gov/pmc/blobs/a36f/8938910/b6a79df106c6/gr8.jpg

相似文献

1
Parasitological and histopathological examination of Cocktail lovebirds infected with Eimeria aratinga (Apicomplexa: Eimeriidae).鸡尾酒金刚鹦鹉感染艾美耳球虫(孢子纲:艾美耳科)的寄生虫学和组织病理学检查。
Poult Sci. 2022 May;101(5):101781. doi: 10.1016/j.psj.2022.101781. Epub 2022 Feb 11.
2
Coinfection of the gut with protozoal and metazoal parasites in broiler and laying chickens.肉鸡和蛋鸡的肠道中原虫和后生动物寄生虫的混合感染。
Poult Sci. 2024 Jan;103(1):103227. doi: 10.1016/j.psj.2023.103227. Epub 2023 Oct 22.
3
Protective potential of diclazuril-treated oocysts against coccidiosis in layer chicks.二氯苯脲处理卵囊对蛋鸡球虫病的保护潜力。
Vet Parasitol. 2019 Sep;273:105-111. doi: 10.1016/j.vetpar.2019.08.010. Epub 2019 Aug 20.
4
Supplementing broiler diets with bacterial selenium nanoparticles enhancing performance, carcass traits, blood indices, antioxidant status, and caecal microbiota of Eimeria tenella-infected broiler chickens.在肉鸡日粮中添加细菌硒纳米颗粒可提高感染柔嫩艾美耳球虫的肉鸡的生产性能、屠体特性、血液指标、抗氧化状态和盲肠微生物群。
Poult Sci. 2023 Dec;102(12):103111. doi: 10.1016/j.psj.2023.103111. Epub 2023 Sep 14.
5
Oocyst output and transmission rates during successive infections with Eimeria acervulina in experimental broiler flocks.在实验性肉鸡群中连续感染堆型艾美耳球虫(Eimeria acervulina)期间卵囊产量和排出率。
Vet Parasitol. 2012 Jun 8;187(1-2):63-71. doi: 10.1016/j.vetpar.2011.12.032. Epub 2012 Jan 5.
6
Prevalence and aetiology of coccidiosis in broiler chickens in Bejaia province, Algeria.阿尔及利亚贝贾亚省肉鸡球虫病的患病率及病因
Onderstepoort J Vet Res. 2018 Sep 18;85(1):e1-e6. doi: 10.4102/ojvr.v85i1.1590.
7
Effects of probiotics and application methods on performance and response of broiler chickens to an Eimeria challenge.益生菌及其应用方法对肉鸡性能以及应对艾美球虫攻击反应的影响。
Poult Sci. 2014 Nov;93(11):2772-8. doi: 10.3382/ps.2014-04207. Epub 2014 Sep 11.
8
Influence of Pediococcus-based probiotic on coccidiosis in broiler chickens.基于嗜热栖热放线菌的益生菌对肉鸡球虫病的影响。 需注意,你原文中的“Pediococcus”表述有误,应该是“Thermoactinomyces”,我按照正确的词汇进行了翻译。如果按照你给定的错误词汇“Pediococcus”,正确翻译为“片球菌属” ,则译文为“基于片球菌属的益生菌对肉鸡球虫病的影响” 。
Poult Sci. 2007 Jan;86(1):63-6. doi: 10.1093/ps/86.1.63.
9
Higher incidence of Eimeria spp. field isolates sensitive for diclazuril and monensin associated with the use of live coccidiosis vaccination with paracox-5 in broiler farms.与肉鸡场使用含paracox-5的活球虫疫苗相关,柔嫩艾美耳球虫等球虫属野外分离株对地克珠利和莫能菌素敏感的发生率更高。
Avian Dis. 2006 Sep;50(3):434-9. doi: 10.1637/7486-121205R.1.
10
Incidence of single and mixed infections with Eimeria kofoidi, E. caucasica and E. legionensis on the health of experimentally infected red-legged partridges (Alectoris rufa).考氏艾美耳球虫、高加索艾美耳球虫和军团艾美耳球虫单一及混合感染对实验感染的红腿鹧鸪(Alectoris rufa)健康的影响。
Vet Parasitol. 2014 Sep 15;205(1-2):77-84. doi: 10.1016/j.vetpar.2014.06.013. Epub 2014 Jun 26.

引用本文的文献

1
Impact of experimental Infection on intestinal and splenic reaction of broiler chickens.实验性感染对肉鸡肠道和脾脏反应的影响
J Parasit Dis. 2023 Dec;47(4):829-836. doi: 10.1007/s12639-023-01629-z. Epub 2023 Oct 21.
2
CircDCLRE1C Regulated Lipopolysaccharide-Induced Inflammatory Response and Apoptosis by Regulating miR-214b-3p/STAT3 Pathway in Macrophages.环状 RNA DCLRE1C 通过调控 miR-214b-3p/STAT3 通路调节巨噬细胞中脂多糖诱导的炎症反应和细胞凋亡。
Int J Mol Sci. 2022 Jun 19;23(12):6822. doi: 10.3390/ijms23126822.
3
Incidence of gastrointestinal parasites in pigeons with an assessment of the nematocidal activity of chitosan nanoparticles against Ascaridia columbae.

本文引用的文献

1
Low host specificity of infestation in different domestic animals and pigeon.在不同家畜和鸽子中感染的宿主特异性较低。
Saudi J Biol Sci. 2022 Apr;29(4):2112-2120. doi: 10.1016/j.sjbs.2021.11.050. Epub 2021 Nov 24.
2
Evaluation of the antiparasitic activity of the chitosan-silver nanocomposites in the treatment of experimentally infested pigeons with .壳聚糖-银纳米复合材料对实验性感染鸽子的抗寄生虫活性评估 。 你提供的原文似乎不完整,句末“with.”后面缺少具体内容。
Saudi J Biol Sci. 2022 Mar;29(3):1644-1652. doi: 10.1016/j.sjbs.2021.10.067. Epub 2021 Oct 29.
3
Influences of total sulfur amino acids and photoperiod on growth, carcass traits, blood parameters, meat quality and cecal microbial load of broilers.
鸽子胃肠道寄生虫感染的发生率及壳聚糖纳米粒对鸽蛔虫的驱虫活性评价。
Poult Sci. 2022 Jun;101(6):101820. doi: 10.1016/j.psj.2022.101820. Epub 2022 Feb 28.
总硫氨基酸和光照周期对肉鸡生长、胴体性状、血液参数、肉质和盲肠微生物载量的影响。
Saudi J Biol Sci. 2022 Mar;29(3):1683-1693. doi: 10.1016/j.sjbs.2021.10.063. Epub 2021 Oct 30.
4
The prevalence and intensity of external parasites in domestic pigeons () in Egypt with special reference to the role of deltamethrin as insecticidal agent.埃及家鸽体外寄生虫的流行情况和感染强度,特别提及溴氰菊酯作为杀虫剂的作用
Saudi J Biol Sci. 2022 Mar;29(3):1825-1831. doi: 10.1016/j.sjbs.2021.10.042. Epub 2021 Oct 22.
5
The impact of betaine supplementation in quail diet on growth performance, blood chemistry, and carcass traits.在鹌鹑日粮中添加甜菜碱对生长性能、血液生化指标和胴体性状的影响。
Saudi J Biol Sci. 2022 Mar;29(3):1604-1610. doi: 10.1016/j.sjbs.2021.11.002. Epub 2021 Nov 11.
6
Betaine and related compounds: Chemistry, metabolism and role in mitigating heat stress in poultry.甜菜碱及相关化合物:化学、代谢及缓解家禽热应激中的作用。
J Therm Biol. 2022 Feb;104:103168. doi: 10.1016/j.jtherbio.2021.103168. Epub 2021 Dec 21.
7
Hot red pepper powder as a safe alternative to antibiotics in organic poultry feed: an updated review.热辣椒粉作为有机禽饲料中抗生素的安全替代品:最新综述。
Poult Sci. 2022 Apr;101(4):101684. doi: 10.1016/j.psj.2021.101684. Epub 2022 Jan 7.
8
Alternatives to antibiotics for organic poultry production: types, modes of action and impacts on bird's health and production.有机家禽生产中抗生素替代品:种类、作用模式及对禽类健康和生产的影响。
Poult Sci. 2022 Apr;101(4):101696. doi: 10.1016/j.psj.2022.101696. Epub 2022 Jan 8.
9
Mycoplasma gallisepticum: a devastating organism for the poultry industry in Egypt.鸡毒支原体:埃及家禽业的毁灭性生物。
Poult Sci. 2022 Mar;101(3):101658. doi: 10.1016/j.psj.2021.101658. Epub 2021 Dec 8.
10
Necrotic enteritis in broiler chickens: disease characteristics and prevention using organic antibiotic alternatives - a comprehensive review.坏死性肠炎对肉鸡的影响:使用有机抗生素替代品预防疾病的特征和综述
Poult Sci. 2022 Feb;101(2):101590. doi: 10.1016/j.psj.2021.101590. Epub 2021 Nov 9.