Suppr超能文献

前瞻性研究 CAD/CAM 纳米陶瓷(复合)修复体治疗重度牙磨损。

Prospective Study on CAD/CAM Nano-Ceramic (Composite) Restorations in the Treatment of Severe Tooth Wear.

出版信息

J Adhes Dent. 2022 Mar 24;24:105-116. doi: 10.3290/j.jad.b2838137.

Abstract

PURPOSE

The aim of this prospective study was to evaluate the clinical performance of minimally invasive, CAD/CAM nano-ceramic (composite) restorations in patients with severe tooth wear, the effect of the restorative treatment on the oral health-related quality of life (OHRQoL), and the etiology of tooth wear as a risk factor for restoration failure.

MATERIALS AND METHODS

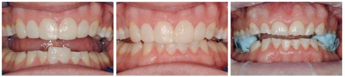
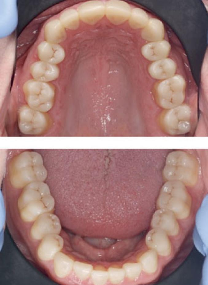
Patients with generalized severe tooth wear were included. Restorations (LAVA Ultimate, 3M Oral Care) were cemented (RelyX Ultimate, 3M Oral Care) on all teeth and were evaluated after 1 month and 1 year. OHRQoL was assessed via questionnaires at baseline and after 1 year. Differences were evaluated (paired t-test). Two mechanical tooth-wear lesions resulting from tooth-tooth contact, and 3 chemical tooth wear lesions resulting from intrinsic or extrinsic acids dissolving natural hard tooth substance, were evaluated to assess the etiology of tooth wear in association with restoration failure using multilevel logistic regression analyses (p < 0.05).

RESULTS

Twenty-one patients (age: 41.7 ± 10.4 years) were evaluated after 1 year (13.5 ± 1.2 months). 568 indirect CAD/CAM restorations were placed. None were replaced or lost. Twelve were repaired and 10 were refurbished. Success rates were 100% to 97.2%. Questionnaires showed a significant positive impact of the treatment on OHRQoL (p < 0.001). The presence of mechanical lesions did not pose a higher risk for restoration failure (p = 0.78). The presence of chemical lesions showed a lower risk of restoration failure (p = 0.002).

CONCLUSION

The use of minimally invasive, CAD/CAM nano-ceramic (composite) restorations in the restorative treatment of severely worn dentitions showed satisfactory results in the short term.

摘要

目的

本前瞻性研究旨在评估微创 CAD/CAM 纳米陶瓷修复体在严重牙齿磨损患者中的临床性能、修复治疗对口腔健康相关生活质量 (OHRQoL) 的影响,以及牙齿磨损作为修复失败的风险因素的病因。

材料和方法

纳入患有广泛严重牙齿磨损的患者。在所有牙齿上粘结修复体(LAVA Ultimate,3M 口腔护理),并在 1 个月和 1 年后进行评估。在基线和 1 年后通过问卷评估 OHRQoL。评估差异(配对 t 检验)。评估两种由于牙齿接触导致的机械性牙齿磨损病变,以及三种由于内在或外在酸溶解天然硬牙体物质导致的化学性牙齿磨损病变,以评估与修复失败相关的牙齿磨损病因,使用多级逻辑回归分析(p<0.05)。

结果

21 名患者(年龄:41.7±10.4 岁)在 1 年后(13.5±1.2 个月)进行了评估。共放置 568 个间接 CAD/CAM 修复体。无替换或丢失。12 个需要修复,10 个需要整修。成功率为 100%至 97.2%。问卷显示治疗对 OHRQoL 有显著积极影响(p<0.001)。机械性病变的存在并未增加修复失败的风险(p=0.78)。化学性病变的存在显示出降低修复失败的风险(p=0.002)。

结论

微创 CAD/CAM 纳米陶瓷(复合)修复体在严重磨损牙列的修复治疗中的应用在短期内显示出令人满意的结果。

https://cdn.ncbi.nlm.nih.gov/pmc/blobs/76fe/11734267/b4b324ee8ed0/jad-24-105-g001.jpg

文献检索

告别复杂PubMed语法,用中文像聊天一样搜索,搜遍4000万医学文献。AI智能推荐,让科研检索更轻松。

立即免费搜索

文件翻译

保留排版,准确专业,支持PDF/Word/PPT等文件格式,支持 12+语言互译。

免费翻译文档

深度研究

AI帮你快速写综述,25分钟生成高质量综述,智能提取关键信息,辅助科研写作。

立即免费体验