Suppr超能文献

全内脏转位患者的降结肠癌:一例报告及文献复习

Descending colon cancer in a patient with situs inversus totalis: a case report and literature review.

作者信息

Cheng Long, Feng Yi-Guo, He Lin, Xie Jie-Bin, Zhou Cen-Ji, Liu Jian-Jun, Wang Pan

机构信息

Department of Gastrointestinal Surgery, Affiliated Hospital of North Sichuan Medical College, Nanchong, China.

出版信息

J Surg Case Rep. 2022 Mar 26;2022(3):rjab568. doi: 10.1093/jscr/rjab568. eCollection 2022 Mar.

Abstract

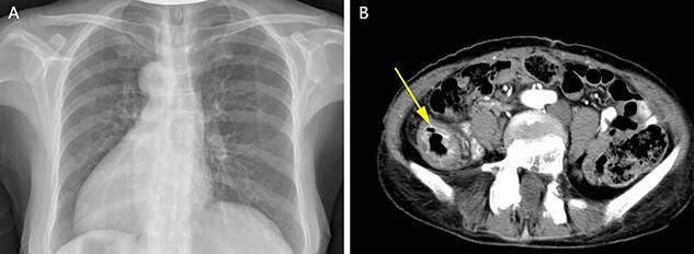
Situs inversus totalis (SIT) is a congenital disorder of anatomical position, and the operation of patients with total visceral inversion often brings great challenges to surgeons. Although there have been previously documented on patients with SIT and colonic cancer, this is the first case report of descending colon cancer in patient with SIT. The current report presents a case of a 67-year-old female patient with descending colon cancer and SIT. After preoperative preparation and discussion, open left hemicolectomy was performed for the patient. The postoperative recovery of the patient was smooth; however, there was a mild lymphatic leakage in the patient, which was cured by conservative treatment for 5 days. The patient was discharged on postoperative Day 10. There was no tumor recurrence or other discomfort in 1 year follow-up period.

摘要

全内脏反位(SIT)是一种先天性解剖位置异常疾病,全内脏反位患者的手术常常给外科医生带来巨大挑战。尽管此前已有关于SIT患者合并结肠癌的文献记载,但这是首例全内脏反位患者降结肠癌的病例报告。本报告介绍了一例67岁患有降结肠癌和全内脏反位的女性患者。经过术前准备和讨论,为该患者实施了左半结肠切除术。患者术后恢复顺利;然而,患者出现轻度淋巴漏,经5天保守治疗治愈。患者于术后第10天出院。在1年的随访期内无肿瘤复发或其他不适。

https://cdn.ncbi.nlm.nih.gov/pmc/blobs/c14b/8963140/659170560639/rjab568f1.jpg

文献检索

告别复杂PubMed语法,用中文像聊天一样搜索,搜遍4000万医学文献。AI智能推荐,让科研检索更轻松。

立即免费搜索

文件翻译

保留排版,准确专业,支持PDF/Word/PPT等文件格式,支持 12+语言互译。

免费翻译文档

深度研究

AI帮你快速写综述,25分钟生成高质量综述,智能提取关键信息,辅助科研写作。

立即免费体验