Suppr超能文献

小儿脑肿瘤的磁共振成像

MR Imaging of Pediatric Brain Tumors.

作者信息

Jaju Alok, Yeom Kristen W, Ryan Maura E

机构信息

Department of Medical Imaging, Ann and Robert H. Lurie Children's Hospital of Chicago, Northwestern University Feinberg School of Medicine, Chicago, IL 60611, USA.

Department of Radiology, Lucile Packard Children's Hospital, Stanford University, Palo Alto, CA 94304, USA.

出版信息

Diagnostics (Basel). 2022 Apr 12;12(4):961. doi: 10.3390/diagnostics12040961.

Abstract

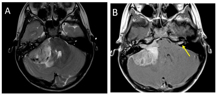
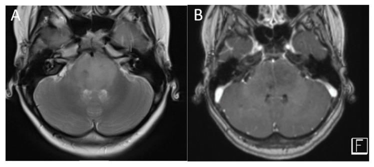
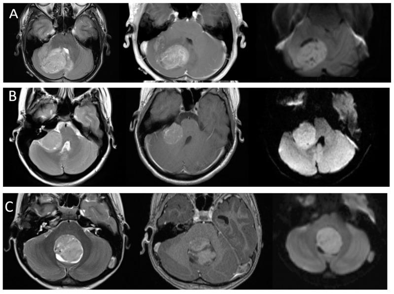
Primary brain tumors are the most common solid neoplasms in children and a leading cause of mortality in this population. MRI plays a central role in the diagnosis, characterization, treatment planning, and disease surveillance of intracranial tumors. The purpose of this review is to provide an overview of imaging methodology, including conventional and advanced MRI techniques, and illustrate the MRI appearances of common pediatric brain tumors.

摘要

原发性脑肿瘤是儿童中最常见的实体肿瘤,也是该人群死亡的主要原因。磁共振成像(MRI)在颅内肿瘤的诊断、特征描述、治疗规划和疾病监测中起着核心作用。本综述的目的是概述成像方法,包括传统和先进的MRI技术,并阐述常见儿童脑肿瘤的MRI表现。

https://cdn.ncbi.nlm.nih.gov/pmc/blobs/62ae/9029699/44a6983b8aaa/diagnostics-12-00961-g001a.jpg

文献检索

告别复杂PubMed语法,用中文像聊天一样搜索,搜遍4000万医学文献。AI智能推荐,让科研检索更轻松。

立即免费搜索

文件翻译

保留排版,准确专业,支持PDF/Word/PPT等文件格式,支持 12+语言互译。

免费翻译文档

深度研究

AI帮你快速写综述,25分钟生成高质量综述,智能提取关键信息,辅助科研写作。

立即免费体验