Suppr超能文献

二甲双胍与地锦草叶提取物联合给药对大鼠四氧嘧啶诱导糖尿病的影响。

Effect of co-administration of metformin and extracts of D.Don leaves on alloxan-induced diabetes in rats.

作者信息

Naik Ami, Adeyemi Sherif Babatunde, Vyas Bhavin, Krishnamurthy Ramar

机构信息

C.G. Bhakta Institute of Biotechnology, Uka Tarsadia University, Bardoli-Mahuva Road, Pin-394350, Surat Dist., Gujarat State, India.

Ethnobotany Unit, Department of Life Sciences, Faculty of Life Sciences, University of Ilorin, PMB 1515, Ilorin, Kwara State, Nigeria.

出版信息

J Tradit Complement Med. 2021 Aug 12;12(3):269-280. doi: 10.1016/j.jtcme.2021.08.007. eCollection 2022 May.

Abstract

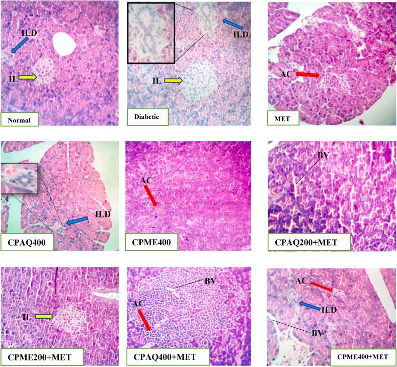
BACKGROUND AND AIM

The present study evaluates the antidiabetic effects of aqueous (CPAQ) and methanolic (CPME) extract of D. Don singly and/or in combination with metformin in alloxan-induced diabetic rats.

EXPERIMENTAL PROCEDURE

CPAQ and CPME (400 mg/kg dose), metformin (120 mg/kg) and two different combinations of plant extracts and metformin (200 + 60 mg/kg and 400 mg/kg + 60 mg/kg) were orally given to alloxan-induced diabetic rats for 21 days. At 0, 7, 14, and 21 days, body weight and blood glucose levels were measured.

RESULTS AND CONCLUSION

After 21 days of treatment, biochemical profiling and histopathology analysis were carried out. CPAQ and CPME, when administrated separately, could decrease blood glucose levels (P ≤ 0.05). CPME showed more promising results (P ≤ 0.05) compared to the diabetic control group. Extracts co-administrated with metformin showed dose-dependent significant recovery of hypoglycemic activity of metformin. Fasting blood glucose levels, body weight, protein, and lipid profile of the treatment group were compared to the diabetic and normal control groups. Animal groups co-administered with CPME and metformin showed more significant effects on the recovery of tissue damages. The synergistic effect of plant extracts with metformin has positive effects on all the parameters and enhanced the efficiency and reduction of blood glucose levels.

摘要

背景与目的

本研究评估了匙羹藤水提取物(CPAQ)和甲醇提取物(CPME)单独及/或与二甲双胍联合使用对四氧嘧啶诱导的糖尿病大鼠的抗糖尿病作用。

实验步骤

将CPAQ和CPME(400mg/kg剂量)、二甲双胍(120mg/kg)以及两种不同的植物提取物与二甲双胍的组合(200 + 60mg/kg和400mg/kg + 60mg/kg)口服给予四氧嘧啶诱导的糖尿病大鼠,持续21天。在第0、7、14和21天,测量体重和血糖水平。

结果与结论

治疗21天后,进行了生化分析和组织病理学分析。单独给予CPAQ和CPME可降低血糖水平(P≤0.05)。与糖尿病对照组相比,CPME显示出更有前景的结果(P≤0.05)。与二甲双胍联合给药的提取物显示出二甲双胍降血糖活性的剂量依赖性显著恢复。将治疗组的空腹血糖水平、体重、蛋白质和血脂谱与糖尿病对照组和正常对照组进行比较。与CPME和二甲双胍联合给药的动物组对组织损伤的恢复显示出更显著的效果。植物提取物与二甲双胍的协同作用对所有参数均有积极影响,并提高了效率,降低了血糖水平。

https://cdn.ncbi.nlm.nih.gov/pmc/blobs/ace5/9039101/54602162ef71/ga1.jpg

文献检索

告别复杂PubMed语法,用中文像聊天一样搜索,搜遍4000万医学文献。AI智能推荐,让科研检索更轻松。

立即免费搜索

文件翻译

保留排版,准确专业,支持PDF/Word/PPT等文件格式,支持 12+语言互译。

免费翻译文档

深度研究

AI帮你快速写综述,25分钟生成高质量综述,智能提取关键信息,辅助科研写作。

立即免费体验