Suppr超能文献

与严重急性呼吸综合征冠状病毒2(SARS-CoV-2)相关的穿山甲冠状病毒在仓鼠中表现出与SARS-CoV-2相似的感染特征和直接接触传播能力。

SARS-CoV-2-related pangolin coronavirus exhibits similar infection characteristics to SARS-CoV-2 and direct contact transmissibility in hamsters.

作者信息

Guo Zhendong, Zhang Cheng, Zhang Chunmao, Cui Huan, Chen Zhaoliang, Jiang Xinyun, Wang Tiecheng, Li Yuanguo, Liu Jun, Wan Zhonghai, Meng Keyin, Li Jiping, Tong Yigang, Gao Yuwei

机构信息

Changchun Veterinary Research Institute, Chinese Academy of Agricultural Sciences, 573 Tulip Street, Changchun, Jilin 130122, China.

College of Veterinary Medicine, Hebei Agricultural University, 2596 Lucky South Street, Baoding, Hebei 071000, China.

出版信息

iScience. 2022 Jun 17;25(6):104350. doi: 10.1016/j.isci.2022.104350. Epub 2022 May 4.

Abstract

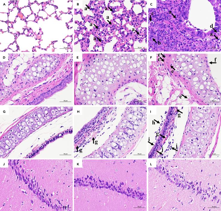
To date, intermediate hosts of SARS-CoV-2 remain obscure and controversial. Several studies have shown that SARS-CoV-2-related pangolin coronavirus (Pangolin-CoV) has a high sequence similarity to SARS-CoV-2 and might be the initial source of SARS-CoV-2; however, the biological characteristics of Pangolin-CoV are still largely unknown. In this study, we evaluated the pathogenicity and transmissibility of Pangolin-CoV in Syrian golden hamsters (Linnaeus, 1758) and compared it with SARS-CoV-2. Pangolin-CoV could effectively infect hamsters, showed similar tissue tropism to SARS-CoV-2 and replicated efficiently in the respiratory system and brain. The infected hamsters had no weight loss but had obvious viral shedding and lung pathological injury. Notably, Pangolin-CoV could transmit between hamsters by direct contact but not via aerosols, and the infected hamsters could exhale infectious viral aerosols (>1 μm). These results highlight the importance of continuous monitoring of coronaviruses in pangolins owing to the potential threat of Pangolin-CoV to human health.

摘要

迄今为止,严重急性呼吸综合征冠状病毒2(SARS-CoV-2)的中间宿主仍不明确且存在争议。多项研究表明,与SARS-CoV-2相关的穿山甲冠状病毒(Pangolin-CoV)与SARS-CoV-2具有高度的序列相似性,可能是SARS-CoV-2的最初来源;然而,Pangolin-CoV的生物学特性仍大多未知。在本研究中,我们评估了Pangolin-CoV在叙利亚金黄地鼠(Linnaeus,1758)中的致病性和传播性,并将其与SARS-CoV-2进行比较。Pangolin-CoV可有效感染仓鼠,表现出与SARS-CoV-2相似的组织嗜性,并在呼吸系统和大脑中高效复制。受感染的仓鼠体重没有减轻,但有明显的病毒脱落和肺部病理损伤。值得注意的是,Pangolin-CoV可通过直接接触在仓鼠之间传播,但不能通过气溶胶传播,且受感染的仓鼠可呼出具有传染性的病毒气溶胶(>1μm)。这些结果凸显了由于Pangolin-CoV对人类健康的潜在威胁而持续监测穿山甲冠状病毒的重要性。

https://cdn.ncbi.nlm.nih.gov/pmc/blobs/92d2/9156949/d3dcf845e8f0/fx1.jpg

文献检索

告别复杂PubMed语法,用中文像聊天一样搜索,搜遍4000万医学文献。AI智能推荐,让科研检索更轻松。

立即免费搜索

文件翻译

保留排版,准确专业,支持PDF/Word/PPT等文件格式,支持 12+语言互译。

免费翻译文档

深度研究

AI帮你快速写综述,25分钟生成高质量综述,智能提取关键信息,辅助科研写作。

立即免费体验