• 文献检索
  • 文档翻译
  • 深度研究
  • 学术资讯
  • Suppr Zotero 插件Zotero 插件
  • 邀请有礼
  • 套餐&价格
  • 历史记录
应用&插件
Suppr Zotero 插件Zotero 插件浏览器插件Mac 客户端Windows 客户端微信小程序
定价
高级版会员购买积分包购买API积分包
服务
文献检索文档翻译深度研究API 文档MCP 服务
关于我们
关于 Suppr公司介绍联系我们用户协议隐私条款
关注我们

Suppr 超能文献

核心技术专利:CN118964589B侵权必究
粤ICP备2023148730 号-1Suppr @ 2026

文献检索

告别复杂PubMed语法,用中文像聊天一样搜索,搜遍4000万医学文献。AI智能推荐,让科研检索更轻松。

立即免费搜索

文件翻译

保留排版,准确专业,支持PDF/Word/PPT等文件格式,支持 12+语言互译。

免费翻译文档

深度研究

AI帮你快速写综述,25分钟生成高质量综述,智能提取关键信息,辅助科研写作。

立即免费体验

DCML:用于新冠肺炎识别的深度对比互学习

DCML: Deep contrastive mutual learning for COVID-19 recognition.

作者信息

Zhang Hongbin, Liang Weinan, Li Chuanxiu, Xiong Qipeng, Shi Haowei, Hu Lang, Li Guangli

机构信息

School of Software, East China Jiaotong University, China.

School of Information Engineering, East China Jiaotong University, China.

出版信息

Biomed Signal Process Control. 2022 Aug;77:103770. doi: 10.1016/j.bspc.2022.103770. Epub 2022 May 2.

DOI:10.1016/j.bspc.2022.103770
PMID:35530170
原文链接:https://pmc.ncbi.nlm.nih.gov/articles/PMC9058053/
Abstract

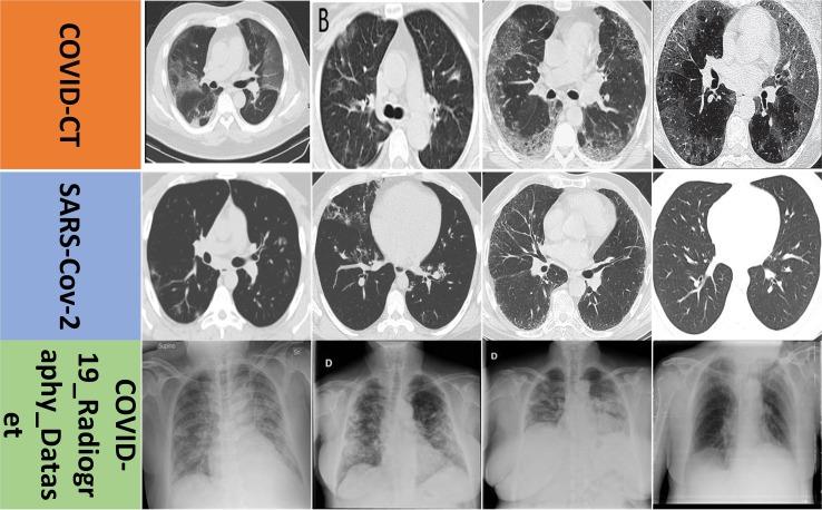
COVID-19 is a form of disease triggered by a new strain of coronavirus. Automatic COVID-19 recognition using computer-aided methods is beneficial for speeding up diagnosis efficiency. Current researches usually focus on a deeper or wider neural network for COVID-19 recognition. And the implicit contrastive relationship between different samples has not been fully explored. To address these problems, we propose a novel model, called deep contrastive mutual learning (DCML), to diagnose COVID-19 more effectively. A multi-way data augmentation strategy based on Fast AutoAugment (FAA) was employed to enrich the original training dataset, which helps reduce the risk of overfitting. Then, we incorporated the popular contrastive learning idea into the conventional deep mutual learning (DML) framework to mine the relationship between diverse samples and created more discriminative image features through a new adaptive model fusion method. Experimental results on three public datasets demonstrate that the DCML model outperforms other state-of-the-art baselines. More importantly, DCML is easier to reproduce and relatively efficient, strengthening its high practicality.

摘要

新型冠状病毒肺炎(COVID-19)是由一种新型冠状病毒引发的疾病形式。使用计算机辅助方法对COVID-19进行自动识别,有利于加快诊断效率。当前的研究通常聚焦于用于COVID-19识别的更深或更宽的神经网络。并且不同样本之间的隐含对比关系尚未得到充分探索。为了解决这些问题,我们提出了一种名为深度对比互学习(DCML)的新型模型,以更有效地诊断COVID-19。采用了基于快速自动增强(FAA)的多方式数据增强策略来丰富原始训练数据集,这有助于降低过拟合风险。然后,我们将流行的对比学习思想融入传统的深度互学习(DML)框架,以挖掘不同样本之间的关系,并通过一种新的自适应模型融合方法创建更具判别力的图像特征。在三个公共数据集上的实验结果表明,DCML模型优于其他现有最先进的基线模型。更重要的是,DCML更易于重现且相对高效,增强了其高实用性。

https://cdn.ncbi.nlm.nih.gov/pmc/blobs/1a59/9058053/290040a5c179/gr7_lrg.jpg
https://cdn.ncbi.nlm.nih.gov/pmc/blobs/1a59/9058053/6083ec4404ff/gr1_lrg.jpg
https://cdn.ncbi.nlm.nih.gov/pmc/blobs/1a59/9058053/ce83e853135e/gr2_lrg.jpg
https://cdn.ncbi.nlm.nih.gov/pmc/blobs/1a59/9058053/81bcea44e52a/gr3_lrg.jpg
https://cdn.ncbi.nlm.nih.gov/pmc/blobs/1a59/9058053/2c705a4977ef/gr4_lrg.jpg
https://cdn.ncbi.nlm.nih.gov/pmc/blobs/1a59/9058053/71ee7bc21ed9/gr5_lrg.jpg
https://cdn.ncbi.nlm.nih.gov/pmc/blobs/1a59/9058053/93af2a4ec14d/gr6_lrg.jpg
https://cdn.ncbi.nlm.nih.gov/pmc/blobs/1a59/9058053/290040a5c179/gr7_lrg.jpg
https://cdn.ncbi.nlm.nih.gov/pmc/blobs/1a59/9058053/6083ec4404ff/gr1_lrg.jpg
https://cdn.ncbi.nlm.nih.gov/pmc/blobs/1a59/9058053/ce83e853135e/gr2_lrg.jpg
https://cdn.ncbi.nlm.nih.gov/pmc/blobs/1a59/9058053/81bcea44e52a/gr3_lrg.jpg
https://cdn.ncbi.nlm.nih.gov/pmc/blobs/1a59/9058053/2c705a4977ef/gr4_lrg.jpg
https://cdn.ncbi.nlm.nih.gov/pmc/blobs/1a59/9058053/71ee7bc21ed9/gr5_lrg.jpg
https://cdn.ncbi.nlm.nih.gov/pmc/blobs/1a59/9058053/93af2a4ec14d/gr6_lrg.jpg
https://cdn.ncbi.nlm.nih.gov/pmc/blobs/1a59/9058053/290040a5c179/gr7_lrg.jpg

相似文献

1
DCML: Deep contrastive mutual learning for COVID-19 recognition.DCML:用于新冠肺炎识别的深度对比互学习
Biomed Signal Process Control. 2022 Aug;77:103770. doi: 10.1016/j.bspc.2022.103770. Epub 2022 May 2.
2
Contrastive domain adaptation with consistency match for automated pneumonia diagnosis.用于自动肺炎诊断的具有一致性匹配的对比域适应
Med Image Anal. 2023 Jan;83:102664. doi: 10.1016/j.media.2022.102664. Epub 2022 Oct 22.
3
Multi-task contrastive learning for automatic CT and X-ray diagnosis of COVID-19.用于COVID-19的CT和X射线自动诊断的多任务对比学习
Pattern Recognit. 2021 Jun;114:107848. doi: 10.1016/j.patcog.2021.107848. Epub 2021 Jan 26.
4
ECCT: Efficient Contrastive Clustering via Pseudo-Siamese Vision Transformer and Multi-view Augmentation.ECCT:基于伪孪生视觉 Transformer 和多视图增强的高效对比聚类。
Neural Netw. 2024 Dec;180:106684. doi: 10.1016/j.neunet.2024.106684. Epub 2024 Sep 2.
5
Local contrastive loss with pseudo-label based self-training for semi-supervised medical image segmentation.基于伪标签自训练的局部对比损失的半监督医学图像分割。
Med Image Anal. 2023 Jul;87:102792. doi: 10.1016/j.media.2023.102792. Epub 2023 Mar 11.
6
Few-shot disease recognition algorithm based on supervised contrastive learning.基于监督对比学习的少样本疾病识别算法
Front Plant Sci. 2024 Feb 7;15:1341831. doi: 10.3389/fpls.2024.1341831. eCollection 2024.
7
Liver fibrosis automatic diagnosis utilizing dense-fusion attention contrastive learning network.利用密集融合注意力对比学习网络进行肝纤维化自动诊断。
Med Phys. 2024 Aug;51(8):5550-5562. doi: 10.1002/mp.17130. Epub 2024 May 16.
8
MuRCL: Multi-Instance Reinforcement Contrastive Learning for Whole Slide Image Classification.MuRCL:用于全切片图像分类的多实例强化对比学习。
IEEE Trans Med Imaging. 2023 May;42(5):1337-1348. doi: 10.1109/TMI.2022.3227066. Epub 2023 May 2.
9
Reducing annotation burden in MR: A novel MR-contrast guided contrastive learning approach for image segmentation.减少磁共振成像中的标注负担:一种新的基于磁共振对比引导的对比学习方法用于图像分割。
Med Phys. 2024 Apr;51(4):2707-2720. doi: 10.1002/mp.16820. Epub 2023 Nov 13.
10
Mutual Information Driven Equivariant Contrastive Learning for 3D Action Representation Learning.用于3D动作表示学习的互信息驱动等变对比学习
IEEE Trans Image Process. 2024;33:1883-1897. doi: 10.1109/TIP.2024.3372451. Epub 2024 Mar 12.

引用本文的文献

1
A Parallel Spiking Neural Network Based on Adaptive Lateral Inhibition Mechanism for Objective Recognition.基于自适应侧抑制机制的用于目标识别的并行尖峰神经网络。
Comput Intell Neurosci. 2022 Oct 13;2022:4242235. doi: 10.1155/2022/4242235. eCollection 2022.
2
A Comprehensive Review of Machine Learning Used to Combat COVID-19.用于抗击新冠疫情的机器学习综合综述
Diagnostics (Basel). 2022 Jul 31;12(8):1853. doi: 10.3390/diagnostics12081853.
3
TiM-Net: Transformer in M-Net for Retinal Vessel Segmentation.TiM-Net:用于视网膜血管分割的 M-Net 中的 Transformer。

本文引用的文献

1
RETRACTED ARTICLE: Deep learning system to screen coronavirus disease 2019 pneumonia.撤稿文章:用于筛查2019冠状病毒病肺炎的深度学习系统。
Appl Intell (Dordr). 2023;53(4):4874. doi: 10.1007/s10489-020-01714-3. Epub 2020 Apr 22.
2
A Review on Deep Learning Techniques for the Diagnosis of Novel Coronavirus (COVID-19).关于用于新型冠状病毒(COVID-19)诊断的深度学习技术的综述
IEEE Access. 2021 Feb 10;9:30551-30572. doi: 10.1109/ACCESS.2021.3058537. eCollection 2021.
3
Covid-19 recognition from cough sounds using lightweight separable-quadratic convolutional network.
J Healthc Eng. 2022 Jul 11;2022:9016401. doi: 10.1155/2022/9016401. eCollection 2022.
基于轻量级可分离二次卷积网络的咳嗽声新冠病毒识别
Biomed Signal Process Control. 2022 Feb;72:103333. doi: 10.1016/j.bspc.2021.103333. Epub 2021 Nov 15.
4
A bi-stage feature selection approach for COVID-19 prediction using chest CT images.一种使用胸部CT图像进行COVID-19预测的双阶段特征选择方法。
Appl Intell (Dordr). 2021;51(12):8985-9000. doi: 10.1007/s10489-021-02292-8. Epub 2021 Apr 19.
5
Classification of COVID-19 in chest X-ray images using DeTraC deep convolutional neural network.使用DeTraC深度卷积神经网络对胸部X光图像中的新冠肺炎进行分类。
Appl Intell (Dordr). 2021;51(2):854-864. doi: 10.1007/s10489-020-01829-7. Epub 2020 Sep 5.
6
ENResNet: A novel residual neural network for chest X-ray enhancement based COVID-19 detection.ENResNet:一种用于基于胸部X光增强的新型残差神经网络,用于新冠病毒检测。
Biomed Signal Process Control. 2022 Feb;72:103286. doi: 10.1016/j.bspc.2021.103286. Epub 2021 Nov 1.
7
A Comprehensive Survey of COVID-19 Detection Using Medical Images.利用医学图像进行COVID-19检测的综合调查。
SN Comput Sci. 2021;2(6):434. doi: 10.1007/s42979-021-00823-1. Epub 2021 Aug 28.
8
COVID-19 disease identification from chest CT images using empirical wavelet transformation and transfer learning.基于经验小波变换和迁移学习的胸部CT图像COVID-19疾病识别
Biomed Signal Process Control. 2022 Jan;71:103076. doi: 10.1016/j.bspc.2021.103076. Epub 2021 Aug 25.
9
Deep Fractional Max Pooling Neural Network for COVID-19 Recognition.用于 COVID-19 识别的深度分数最大池化神经网络。
Front Public Health. 2021 Aug 10;9:726144. doi: 10.3389/fpubh.2021.726144. eCollection 2021.
10
An Overview of Deep Learning Techniques on Chest X-Ray and CT Scan Identification of COVID-19.深度学习技术在胸部 X 光和 CT 扫描识别 COVID-19 中的应用概述。
Comput Math Methods Med. 2021 Jun 4;2021:5528144. doi: 10.1155/2021/5528144. eCollection 2021.