• 文献检索
  • 文档翻译
  • 深度研究
  • 学术资讯
  • Suppr Zotero 插件Zotero 插件
  • 邀请有礼
  • 套餐&价格
  • 历史记录
应用&插件
Suppr Zotero 插件Zotero 插件浏览器插件Mac 客户端Windows 客户端微信小程序
定价
高级版会员购买积分包购买API积分包
服务
文献检索文档翻译深度研究API 文档MCP 服务
关于我们
关于 Suppr公司介绍联系我们用户协议隐私条款
关注我们

Suppr 超能文献

核心技术专利:CN118964589B侵权必究
粤ICP备2023148730 号-1Suppr @ 2026

文献检索

告别复杂PubMed语法,用中文像聊天一样搜索,搜遍4000万医学文献。AI智能推荐,让科研检索更轻松。

立即免费搜索

文件翻译

保留排版,准确专业,支持PDF/Word/PPT等文件格式,支持 12+语言互译。

免费翻译文档

深度研究

AI帮你快速写综述,25分钟生成高质量综述,智能提取关键信息,辅助科研写作。

立即免费体验

阴茎鳞状细胞癌中的免疫疗法:现状还是未来?程序性细胞死亡配体1表达与微卫星不稳定性的多靶点分析

Immunotherapy in Penile Squamous Cell Carcinoma: Present or Future? Multi-Target Analysis of Programmed Cell Death Ligand 1 Expression and Microsatellite Instability.

作者信息

Montella Marco, Sabetta Rosalaura, Ronchi Andrea, De Sio Marco, Arcaniolo Davide, De Vita Ferdinando, Tirino Giuseppe, Caputo Alessandro, D'Antonio Antonio, Fiorentino Francesco, Facchini Gaetano, Lauro Giovanni Di, Perdonà Sisto, Ventriglia Jole, Aquino Gabriella, Feroce Florinda, Borges Dos Reis Rodolfo, Neder Luciano, Brunelli Matteo, Franco Renato, Zito Marino Federica

机构信息

Pathology Unit, Department of Mental Health, Physic and Preventive Medicine University of Campania "Luigi Vanvitelli", Naples, Italy.

Urology Unit, Department of Woman Child and of General and Specialist Surgery, University of Campania "Luigi Vanvitelli", Naples, Italy.

出版信息

Front Med (Lausanne). 2022 May 3;9:874213. doi: 10.3389/fmed.2022.874213. eCollection 2022.

DOI:10.3389/fmed.2022.874213
PMID:35592855
原文链接:
https://pmc.ncbi.nlm.nih.gov/articles/PMC9113025/
Abstract

BACKGROUND

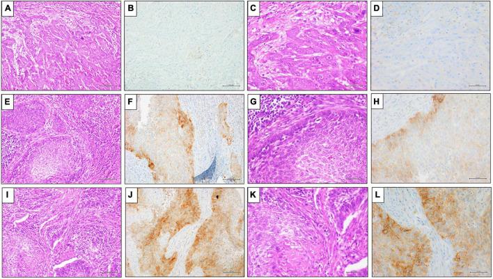
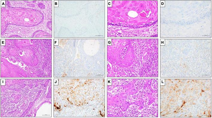
Penile cancer (PC) is an extremely rare malignancy, and the patients at advanced stages have currently limited treatment options with disappointing results. Immune checkpoint inhibitors anti-programmed cell death 1 (PD-1)/programmed cell death ligand 1 (PD-L1) are currently changing the treatment of several tumors. Furthermore, the microsatellite instability (MSI) and the deficient mismatch repair system (dMMR) proteins represent predictive biomarkers for response to immune checkpoint therapy. Until present, few data have been reported related to PD-L1 expression and MSI in PC. The main aim of our study was the evaluation of PD-L1 expression in tumor cells (TCs) and tumor-infiltrating lymphocytes (TILs) in immune cells and the analysis of dMMR/MSI status in a large series of PCs.

METHODS

A series of 72 PC, including 65 usual squamous cell carcinoma (USCC), 1 verrucous, 4 basaloid, 1 warty, and 1 mixed (warty-basaloid), was collected. Immunohistochemistry (IHC) was performed to assess PD-L1 expression using two different anti-PD-L1 antibodies (clone SP263 and SP142 Ventana) and MMR proteins expression using anti-MLH1, anti-PMS2, anti-MSH2, and anti-MSH6 antibodies. PCR analysis was performed for the detection of MSI status.

RESULTS

Of the 72 PC cases analyzed by IHC, 45 (62.5%) cases were TC positive and 57 (79%) cases were combined positive score (CPS) using PDL1 SP263. In our cohort, TILs were present in 62 out of 72 cases (86.1%), 47 (75.8%) out of 62 cases showed positivity to PDL1 clone SP142. In our series, 59 cases (82%) had pMMR, 12 cases (16.7%) had lo-paMMR, and only 1 case (1.3%) had MMR. PCR results showed that only one case lo-paMMR was MSI-H, and the case dMMR by IHC not confirmed MSI status.

CONCLUSION

Our findings showed that PD-L1 expression and MSI status represent frequent biological events in this tumor suggesting a rationale for a new frontier in the treatment of patients with PC based on the immune checkpoint inhibitors.

摘要

背景

阴茎癌(PC)是一种极为罕见的恶性肿瘤,晚期患者目前的治疗选择有限,效果令人失望。免疫检查点抑制剂抗程序性细胞死亡蛋白1(PD-1)/程序性细胞死亡配体1(PD-L1)目前正在改变多种肿瘤的治疗方式。此外,微卫星不稳定性(MSI)和错配修复缺陷系统(dMMR)蛋白是免疫检查点治疗反应的预测生物标志物。到目前为止,关于阴茎癌中PD-L1表达和MSI的报道数据很少。我们研究的主要目的是评估肿瘤细胞(TCs)和免疫细胞中肿瘤浸润淋巴细胞(TILs)的PD-L1表达,并分析大量阴茎癌病例的dMMR/MSI状态。

方法

收集了一系列72例阴茎癌病例,包括65例常见鳞状细胞癌(USCC)、1例疣状癌、4例基底样癌、1例疣状癌和1例混合性(疣状-基底样)癌。采用两种不同的抗PD-L1抗体(克隆号SP263和SP142 Ventana)进行免疫组织化学(IHC)检测以评估PD-L1表达,使用抗MLH1、抗PMS2、抗MSH2和抗MSH6抗体检测MMR蛋白表达。进行PCR分析以检测MSI状态。

结果

在通过IHC分析的72例阴茎癌病例中,45例(62.5%)病例的肿瘤细胞呈阳性,使用PDL1 SP263时57例(79%)病例的综合阳性评分(CPS)为阳性。在我们的队列中,72例病例中有62例(86.1%)存在肿瘤浸润淋巴细胞,62例中的47例(75.8%)对PDL1克隆号SP142呈阳性。在我们的系列病例中,59例(82%)为错配修复功能完整(pMMR),12例(16.7%)为低水平错配修复功能部分缺失(lo-paMMR),只有1例(1.3%)为错配修复缺陷(dMMR)。PCR结果显示,只有1例lo-paMMR病例为微卫星高度不稳定(MSI-H),而通过IHC检测为dMMR的病例未得到MSI状态的证实。

结论

我们的研究结果表明,PD-L1表达和MSI状态是该肿瘤中常见的生物学事件,这为基于免疫检查点抑制剂的阴茎癌患者治疗新领域提供了理论依据。

https://cdn.ncbi.nlm.nih.gov/pmc/blobs/8808/9113025/9d61d077fdae/fmed-09-874213-g005.jpg
https://cdn.ncbi.nlm.nih.gov/pmc/blobs/8808/9113025/f57b9590b21f/fmed-09-874213-g001.jpg
https://cdn.ncbi.nlm.nih.gov/pmc/blobs/8808/9113025/d0b5cab203bc/fmed-09-874213-g002.jpg
https://cdn.ncbi.nlm.nih.gov/pmc/blobs/8808/9113025/dbb632504f70/fmed-09-874213-g003.jpg
https://cdn.ncbi.nlm.nih.gov/pmc/blobs/8808/9113025/60d020d33b5a/fmed-09-874213-g004.jpg
https://cdn.ncbi.nlm.nih.gov/pmc/blobs/8808/9113025/9d61d077fdae/fmed-09-874213-g005.jpg
https://cdn.ncbi.nlm.nih.gov/pmc/blobs/8808/9113025/f57b9590b21f/fmed-09-874213-g001.jpg
https://cdn.ncbi.nlm.nih.gov/pmc/blobs/8808/9113025/d0b5cab203bc/fmed-09-874213-g002.jpg
https://cdn.ncbi.nlm.nih.gov/pmc/blobs/8808/9113025/dbb632504f70/fmed-09-874213-g003.jpg
https://cdn.ncbi.nlm.nih.gov/pmc/blobs/8808/9113025/60d020d33b5a/fmed-09-874213-g004.jpg
https://cdn.ncbi.nlm.nih.gov/pmc/blobs/8808/9113025/9d61d077fdae/fmed-09-874213-g005.jpg

相似文献

1
Immunotherapy in Penile Squamous Cell Carcinoma: Present or Future? Multi-Target Analysis of Programmed Cell Death Ligand 1 Expression and Microsatellite Instability.阴茎鳞状细胞癌中的免疫疗法:现状还是未来?程序性细胞死亡配体1表达与微卫星不稳定性的多靶点分析
Front Med (Lausanne). 2022 May 3;9:874213. doi: 10.3389/fmed.2022.874213. eCollection 2022.
2
Microsatellite Status Detection in Gastrointestinal Cancers: PCR/NGS Is Mandatory in Negative/Patchy MMR Immunohistochemistry.胃肠道癌症中的微卫星状态检测:在错配修复蛋白免疫组化结果为阴性/局灶性的情况下,聚合酶链反应/二代测序是必需的
Cancers (Basel). 2022 Apr 28;14(9):2204. doi: 10.3390/cancers14092204.
3
Endometrial Tumors with MSI-H and dMMR Share a Similar Tumor Immune Microenvironment.微卫星高度不稳定(MSI-H)和错配修复缺陷(dMMR)的子宫内膜肿瘤具有相似的肿瘤免疫微环境。
Onco Targets Ther. 2021 Aug 16;14:4485-4497. doi: 10.2147/OTT.S324641. eCollection 2021.
4
The relationship between the PD-1/PD-L1 pathway and DNA mismatch repair in cervical cancer and its clinical significance.宫颈癌中PD-1/PD-L1通路与DNA错配修复的关系及其临床意义。
Cancer Manag Res. 2018 Jan 18;10:105-113. doi: 10.2147/CMAR.S152232. eCollection 2018.
5
Comprehensive genomic profiling of penile squamous cell carcinoma and the impact of human papillomavirus status on immune-checkpoint inhibitor-related biomarkers.阴茎鳞状细胞癌的全面基因组分析及人乳头瘤病毒状态对免疫检查点抑制剂相关生物标志物的影响。
Cancer. 2023 Dec 15;129(24):3884-3893. doi: 10.1002/cncr.34982. Epub 2023 Aug 11.
6
ESMO recommendations on microsatellite instability testing for immunotherapy in cancer, and its relationship with PD-1/PD-L1 expression and tumour mutational burden: a systematic review-based approach.ESMO 关于免疫治疗中肿瘤微卫星不稳定性检测的建议,及其与 PD-1/PD-L1 表达和肿瘤突变负担的关系:基于系统评价的方法。
Ann Oncol. 2019 Aug 1;30(8):1232-1243. doi: 10.1093/annonc/mdz116.
7
No Evidence of Microsatellite Instability and Loss of Mismatch-Repair-Protein Expression in Squamous Cell Carcinoma of the Penis.阴茎鳞癌中无微卫星不稳定和错配修复蛋白表达缺失的证据。
Pathobiology. 2019;86(2-3):145-151. doi: 10.1159/000495251. Epub 2019 Jan 16.
8
Mismatch Repair Deficiency and Microsatellite Instability in Triple-Negative Breast Cancer: A Retrospective Study of 440 Patients.三阴性乳腺癌中的错配修复缺陷与微卫星不稳定性:一项对440例患者的回顾性研究
Front Oncol. 2021 Mar 4;11:570623. doi: 10.3389/fonc.2021.570623. eCollection 2021.
9
A subset of patients with MSS/MSI-low-colorectal cancer showed increased CD8(+) TILs together with up-regulated IFN-γ.一部分微卫星稳定/微卫星低度不稳定的结直肠癌患者表现出CD8(+)肿瘤浸润淋巴细胞增加以及干扰素-γ上调。
Oncol Lett. 2019 Dec;18(6):5977-5985. doi: 10.3892/ol.2019.10953. Epub 2019 Oct 2.
10
[Analysis of microsatellite instability in endometroid carcinoma with deficient mismatch repair].错配修复缺陷型子宫内膜样癌的微卫星不稳定性分析
Zhonghua Bing Li Xue Za Zhi. 2021 May 8;50(5):470-475. doi: 10.3760/cma.j.cn112151-20210201-00114.

引用本文的文献

1
Feasibility and effectiveness of second-line chemotherapy with mitomycin C in patients with advanced penile cancer.丝裂霉素C二线化疗在晚期阴茎癌患者中的可行性及有效性
Front Urol. 2024 Jan 24;3:1198980. doi: 10.3389/fruro.2023.1198980. eCollection 2023.
2
Survivin and Ki-67 immunohistochemical expression in penile squamous cell carcinoma: clinicopathological features and overall survival.生存素和Ki-67在阴茎鳞状细胞癌中的免疫组化表达:临床病理特征与总生存率
Int Urol Nephrol. 2025 Jul 21. doi: 10.1007/s11255-025-04672-2.
3
The role of immunotherapy in targeting tumor microenvironment in genitourinary cancers.

本文引用的文献

1
The peri- and intratumoral immune cell infiltrate and PD-L1 status in invasive squamous cell carcinomas of the penis.阴茎浸润性鳞状细胞癌的瘤周和瘤内免疫细胞浸润和 PD-L1 状态。
Clin Transl Oncol. 2022 Feb;24(2):331-341. doi: 10.1007/s12094-021-02694-7. Epub 2021 Aug 27.
2
Interpretation According to Clone-Specific PD-L1 Cutoffs Reveals Better Concordance in Muscle-Invasive Urothelial Carcinoma.根据克隆特异性程序性死亡受体配体1(PD-L1)临界值进行解读,显示其在肌层浸润性尿路上皮癌中具有更好的一致性。
Diagnostics (Basel). 2021 Mar 5;11(3):448. doi: 10.3390/diagnostics11030448.
3
Discrepancy of p16 immunohistochemical expression and HPV RNA in penile cancer. A multiplex in situ hybridization/immunohistochemistry approach study.
免疫疗法在靶向泌尿生殖系统癌症肿瘤微环境中的作用。
Front Immunol. 2025 Apr 7;16:1506278. doi: 10.3389/fimmu.2025.1506278. eCollection 2025.
4
Immunotherapy in the Management of Penile Cancer-A Systematic Review.阴茎癌治疗中的免疫疗法——一项系统评价
Cancers (Basel). 2025 Mar 4;17(5):883. doi: 10.3390/cancers17050883.
5
Treatment approaches in advanced penile cancer: targeted therapies and immunotherapy.晚期阴茎癌的治疗方法:靶向治疗与免疫治疗。
Front Oncol. 2025 Jan 15;14:1457006. doi: 10.3389/fonc.2024.1457006. eCollection 2024.
6
Identification of new tissue markers for the monitoring and standardization of penile cancer according to the degree of differentiation.根据分化程度鉴定用于阴茎癌监测和标准化的新组织标志物。
Histol Histopathol. 2025 Jul;40(7):1013-1039. doi: 10.14670/HH-18-846. Epub 2024 Nov 7.
7
Invasive penile glans Squamous Cell Carcinoma (peSCC) and Reflectance Confocal Microscopy (RCM): is it a valuable alternative to histopathology?侵袭性阴茎头鳞状细胞癌(peSCC)与反射共聚焦显微镜检查(RCM):它是组织病理学的一种有价值的替代方法吗?
Skin Res Technol. 2024 Jan;30(1):e13564. doi: 10.1111/srt.13564.
8
Human Papillomavirus Infection in Penile Cancer: Multidimensional Mechanisms and Vaccine Strategies.人乳头瘤病毒感染与阴茎癌:多维机制与疫苗策略。
Int J Mol Sci. 2023 Nov 27;24(23):16808. doi: 10.3390/ijms242316808.
9
Safety and efficacy of immune checkpoint inhibitors in advanced penile cancer: report from the Global Society of Rare Genitourinary Tumors.免疫检查点抑制剂在晚期阴茎癌中的安全性和疗效:来自全球罕见泌尿生殖系统肿瘤学会的报告。
J Natl Cancer Inst. 2023 Dec 6;115(12):1605-1615. doi: 10.1093/jnci/djad155.
10
Programmed death‑ligand 1 expression in tumor cells and tumor‑infiltrating lymphocytes are associated with depth of tumor invasion in penile cancer.肿瘤细胞和肿瘤浸润淋巴细胞中程序性死亡配体1的表达与阴茎癌肿瘤浸润深度相关。
Biomed Rep. 2023 May 29;19(1):44. doi: 10.3892/br.2023.1627. eCollection 2023 Jul.
阴茎癌中p16免疫组化表达与HPV RNA的差异:一项多重原位杂交/免疫组化方法研究
Infect Agent Cancer. 2021 Mar 31;16(1):22. doi: 10.1186/s13027-021-00361-8.
4
Real-world data on microsatellite instability status in various unresectable or metastatic solid tumors.各种不可切除或转移性实体瘤中微卫星不稳定性状态的真实世界数据。
Cancer Sci. 2021 Mar;112(3):1105-1113. doi: 10.1111/cas.14798. Epub 2021 Feb 7.
5
Comparing programmed death ligand 1 scores for predicting pembrolizumab efficacy in head and neck cancer.比较程序性死亡配体 1 评分预测头颈部癌中 pembrolizumab 疗效的效果。
Mod Pathol. 2021 Mar;34(3):532-541. doi: 10.1038/s41379-020-00710-9. Epub 2020 Nov 25.
6
Atezolizumab for First-Line Treatment of PD-L1-Selected Patients with NSCLC.阿替利珠单抗用于 PD-L1 选择的 NSCLC 患者的一线治疗。
N Engl J Med. 2020 Oct 1;383(14):1328-1339. doi: 10.1056/NEJMoa1917346.
7
Role of DNA repair defects in predicting immunotherapy response.DNA修复缺陷在预测免疫治疗反应中的作用。
Biomark Res. 2020 Jun 29;8:23. doi: 10.1186/s40364-020-00202-7. eCollection 2020.
8
PD-L1 and p16 Expression in Penile Squamous Cell Carcinoma From an Endemic Region.PD-L1 和 p16 在地方性流行区阴茎鳞癌中的表达。
Clin Genitourin Cancer. 2020 Jun;18(3):e254-e259. doi: 10.1016/j.clgc.2019.10.014. Epub 2019 Oct 16.
9
Atezolizumab for the treatment of breast cancer.阿替利珠单抗治疗乳腺癌。
Expert Rev Anticancer Ther. 2020 Mar;20(3):151-158. doi: 10.1080/14737140.2020.1732211. Epub 2020 Feb 27.
10
Pembrolizumab alone or with chemotherapy versus cetuximab with chemotherapy for recurrent or metastatic squamous cell carcinoma of the head and neck (KEYNOTE-048): a randomised, open-label, phase 3 study.帕博利珠单抗单药或联合化疗对比西妥昔单抗联合化疗用于治疗复发性或转移性头颈部鳞状细胞癌(KEYNOTE-048):一项随机、开放标签、III 期研究。
Lancet. 2019 Nov 23;394(10212):1915-1928. doi: 10.1016/S0140-6736(19)32591-7. Epub 2019 Nov 1.