• 文献检索
  • 文档翻译
  • 深度研究
  • 学术资讯
  • Suppr Zotero 插件Zotero 插件
  • 邀请有礼
  • 套餐&价格
  • 历史记录
应用&插件
Suppr Zotero 插件Zotero 插件浏览器插件Mac 客户端Windows 客户端微信小程序
定价
高级版会员购买积分包购买API积分包
服务
文献检索文档翻译深度研究API 文档MCP 服务
关于我们
关于 Suppr公司介绍联系我们用户协议隐私条款
关注我们

Suppr 超能文献

核心技术专利:CN118964589B侵权必究
粤ICP备2023148730 号-1Suppr @ 2026

文献检索

告别复杂PubMed语法,用中文像聊天一样搜索,搜遍4000万医学文献。AI智能推荐,让科研检索更轻松。

立即免费搜索

文件翻译

保留排版,准确专业,支持PDF/Word/PPT等文件格式,支持 12+语言互译。

免费翻译文档

深度研究

AI帮你快速写综述,25分钟生成高质量综述,智能提取关键信息,辅助科研写作。

立即免费体验

编码潜在分子模拟蛋白的基因作为聚合酶链反应和环介导等温扩增检测中的特异性检测靶点。

Genes Encoding Potential Molecular Mimicry Proteins as the Specific Targets for Detecting in PCR and Loop-Mediated Isothermal Amplification Assays.

作者信息

Meng Fanli, Liu Zhenkai, Li Yongxia, Zhang Xingyao

机构信息

The Key Laboratory for Silviculture and Conservation of Ministry of Education, College of Forestry, Beijing Forestry University, Beijing, China.

Key Laboratory of Forest Protection of National Forestry and Grassland Administration, Ecology and Nature Conservation Institute, Chinese Academy of Forestry, Beijing, China.

出版信息

Front Plant Sci. 2022 May 11;13:890949. doi: 10.3389/fpls.2022.890949. eCollection 2022.

DOI:10.3389/fpls.2022.890949
PMID:35646005
原文链接:https://pmc.ncbi.nlm.nih.gov/articles/PMC9131030/
Abstract

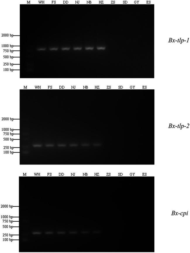
The introduction of the pine wood nematode () to new areas has affected the international forestry industry because this pathogen causes pine wilt disease (PWD). Therefore, methods for the accurate and reliable detection of are essential for controlling and managing this pest. The PCR and Loop-Mediated Isothermal Amplification (LAMP) techniques developed in this study involve species-specific primer sets targeting genes encoding potential molecular mimicry proteins (, , and ), which are associated with pathogenicity. The PCR and LAMP results revealed that the primers were specific for , , and . Moreover, our LAMP assay targeting conducted at 63°C detected within 20 min and from or within 30 min. The lower limits of detection for the LAMP and PCR assays were 10 pg and 10 ng genomic DNA, respectively, implying these assays may be useful for the rapid detection of in pine forests. Designing primers specific for , , and enabled the relatively rapid detection of isolates as well as or carrying . These primers, which were designed following a thorough functional analysis of key pathogenicity-related genes, may be useful for developing improved assays for the early diagnosis and prevention of PWD.

摘要

松材线虫()传入新区域对国际林业产业造成了影响,因为这种病原体会引发松材线虫病(PWD)。因此,准确可靠地检测松材线虫的方法对于控制和管理这种害虫至关重要。本研究开发的聚合酶链式反应(PCR)和环介导等温扩增(LAMP)技术涉及针对编码潜在分子模拟蛋白(、和)的基因的物种特异性引物组,这些蛋白与致病性相关。PCR和LAMP结果表明,这些引物对、和具有特异性。此外,我们在63°C进行的针对的LAMP检测在20分钟内检测到松材线虫,在30分钟内检测到来自或携带松材线虫的。LAMP和PCR检测的最低检测限分别为10 pg和10 ng基因组DNA,这意味着这些检测方法可能有助于在松林快速检测松材线虫。设计针对、和的特异性引物能够相对快速地检测松材线虫分离株以及携带松材线虫的或。这些引物是在对松材线虫关键致病相关基因进行全面功能分析后设计的,可能有助于开发改进的检测方法用于松材线虫病的早期诊断和预防。

https://cdn.ncbi.nlm.nih.gov/pmc/blobs/e36c/9131030/76c7bcb0f9a0/fpls-13-890949-g004.jpg
https://cdn.ncbi.nlm.nih.gov/pmc/blobs/e36c/9131030/ad116006ef7c/fpls-13-890949-g001.jpg
https://cdn.ncbi.nlm.nih.gov/pmc/blobs/e36c/9131030/524eac1d30e3/fpls-13-890949-g002.jpg
https://cdn.ncbi.nlm.nih.gov/pmc/blobs/e36c/9131030/6537eccb5690/fpls-13-890949-g003.jpg
https://cdn.ncbi.nlm.nih.gov/pmc/blobs/e36c/9131030/76c7bcb0f9a0/fpls-13-890949-g004.jpg
https://cdn.ncbi.nlm.nih.gov/pmc/blobs/e36c/9131030/ad116006ef7c/fpls-13-890949-g001.jpg
https://cdn.ncbi.nlm.nih.gov/pmc/blobs/e36c/9131030/524eac1d30e3/fpls-13-890949-g002.jpg
https://cdn.ncbi.nlm.nih.gov/pmc/blobs/e36c/9131030/6537eccb5690/fpls-13-890949-g003.jpg
https://cdn.ncbi.nlm.nih.gov/pmc/blobs/e36c/9131030/76c7bcb0f9a0/fpls-13-890949-g004.jpg

相似文献

1
Genes Encoding Potential Molecular Mimicry Proteins as the Specific Targets for Detecting in PCR and Loop-Mediated Isothermal Amplification Assays.编码潜在分子模拟蛋白的基因作为聚合酶链反应和环介导等温扩增检测中的特异性检测靶点。
Front Plant Sci. 2022 May 11;13:890949. doi: 10.3389/fpls.2022.890949. eCollection 2022.
2
Potential Molecular Mimicry Proteins Responsive to α-pinene in .对 α-蒎烯有反应的潜在分子模拟蛋白。
Int J Mol Sci. 2020 Feb 1;21(3):982. doi: 10.3390/ijms21030982.
3
Expression of the Thaumatin-Like Protein-1 Gene (--) from Pine Wood Nematode Affects Terpene Metabolism in Pine Trees.松材线虫 Thaumatin-like 蛋白-1 基因(--)的表达影响松树萜烯代谢。
Phytopathology. 2022 Apr;112(4):888-897. doi: 10.1094/PHYTO-07-21-0289-R. Epub 2022 Mar 21.
4
Thaumatin-Like Protein-1 Gene () Is Associated with the Pathogenicity of .Thaumatin-Like Protein-1 基因()与 的致病性有关。
Phytopathology. 2019 Nov;109(11):1949-1956. doi: 10.1094/PHYTO-03-19-0082-R. Epub 2019 Sep 30.
5
Characteristics and function of a novel cystatin gene in the pine wood nematode .松材线虫中一个新的胱抑素基因的特征与功能
Biol Open. 2019 Sep 18;8(9):bio042655. doi: 10.1242/bio.042655.
6
Molecular characterization and functional analysis of glutathione S-transferase genes of pine wood nematode (Bursaphelenchus xylophilus) for avermectin.松材线虫谷胱甘肽 S-转移酶基因的分子特征和功能分析及其对阿维菌素的作用。
Comp Biochem Physiol C Toxicol Pharmacol. 2023 Sep;271:109687. doi: 10.1016/j.cbpc.2023.109687. Epub 2023 Jun 17.
7
Screening and functional analysis of the peroxiredoxin specifically expressed in Bursaphelenchus xylophilus--the causative agent of pine wilt disease.松材线虫(松树萎蔫病的病原体)中特异性表达的过氧化物还原酶的筛选及功能分析
Int J Mol Sci. 2014 Jun 10;15(6):10215-32. doi: 10.3390/ijms150610215.
8
Rapid On-Site Detection of the Using Recombinase Polymerase Amplification Combined With Lateral Flow Dipstick That Eliminates Interference From Primer-Dependent Artifacts.使用重组酶聚合酶扩增结合侧向流动试纸条快速现场检测,可消除引物依赖性假象的干扰。 (你提供的原文似乎不完整,“of the”后面缺少具体内容)
Front Plant Sci. 2022 Mar 18;13:856109. doi: 10.3389/fpls.2022.856109. eCollection 2022.
9
Cathepsin L-like Cysteine Proteinase Genes Are Associated with the Development and Pathogenicity of Pine Wood Nematode, .组织蛋白酶 L 样半胱氨酸蛋白酶基因与松材线虫的发育和致病性相关。
Int J Mol Sci. 2019 Jan 8;20(1):215. doi: 10.3390/ijms20010215.
10
Comparison of Ethanedinitrile (C2N2) and Metam Sodium for Control of Bursaphelenchus xylophilus (Nematoda: Aphelenchidae) and Monochamus alternatus (Coleoptera: Cerambycidae) in Naturally Infested Logs at Low Temperatures.低温下乙二腈(C2N2)与威百亩对自然感染原木中松材线虫(线虫纲:滑刃科)和松墨天牛(鞘翅目:天牛科)防治效果的比较
J Econ Entomol. 2014 Dec;107(6):2055-60. doi: 10.1603/EC14009.

引用本文的文献

1
Detection Methods for Pine Wilt Disease: A Comprehensive Review.松材线虫病检测方法:综述
Plants (Basel). 2024 Oct 14;13(20):2876. doi: 10.3390/plants13202876.
2
Establishment of a Sensitive and Reliable Droplet Digital PCR Assay for the Detection of .建立一种用于检测……的灵敏且可靠的液滴数字PCR检测方法。
Plants (Basel). 2024 Sep 26;13(19):2701. doi: 10.3390/plants13192701.
3
Evolution of parasitism genes in the plant parasitic nematodes.寄生性线虫中寄生基因的进化。

本文引用的文献

1
Expression of the Thaumatin-Like Protein-1 Gene (--) from Pine Wood Nematode Affects Terpene Metabolism in Pine Trees.松材线虫 Thaumatin-like 蛋白-1 基因(--)的表达影响松树萜烯代谢。
Phytopathology. 2022 Apr;112(4):888-897. doi: 10.1094/PHYTO-07-21-0289-R. Epub 2022 Mar 21.
2
Discovery, characterization and engineering of ligases for amide synthesis.酰胺合成酶的发现、鉴定及工程改造。
Nature. 2021 May;593(7859):391-398. doi: 10.1038/s41586-021-03447-w. Epub 2021 May 19.
3
Thaumatin-like proteins and a cysteine protease inhibitor secreted by the pine wood nematode Bursaphelenchus xylophilus induce cell death in Nicotiana benthamiana.
Sci Rep. 2024 Feb 14;14(1):3733. doi: 10.1038/s41598-024-54330-3.
4
detection and analysis system based on CRISPR - Cas12.基于CRISPR-Cas12的检测与分析系统
Front Plant Sci. 2022 Dec 15;13:1075838. doi: 10.3389/fpls.2022.1075838. eCollection 2022.
松材线虫分泌的几丁质酶抑制剂和 Thau-matin 样蛋白诱导本氏烟细胞死亡。
PLoS One. 2020 Oct 30;15(10):e0241613. doi: 10.1371/journal.pone.0241613. eCollection 2020.
4
Potential Molecular Mimicry Proteins Responsive to α-pinene in .对 α-蒎烯有反应的潜在分子模拟蛋白。
Int J Mol Sci. 2020 Feb 1;21(3):982. doi: 10.3390/ijms21030982.
5
Thaumatin-Like Protein-1 Gene () Is Associated with the Pathogenicity of .Thaumatin-Like Protein-1 基因()与 的致病性有关。
Phytopathology. 2019 Nov;109(11):1949-1956. doi: 10.1094/PHYTO-03-19-0082-R. Epub 2019 Sep 30.
6
Molecular characterization and development of real-time PCR assay for pine-wood nematode Bursaphelenchus xylophilus (Nematoda: Parasitaphelenchidae).松材线虫(滑刃目:伞滑刃科)的分子特征分析及实时荧光定量PCR检测方法的建立
PLoS One. 2013 Nov 11;8(11):e78804. doi: 10.1371/journal.pone.0078804. eCollection 2013.
7
Secretome Analysis of the Pine Wood Nematode Bursaphelenchus xylophilus Reveals the Tangled Roots of Parasitism and Its Potential for Molecular Mimicry.松材线虫的分泌蛋白质组分析揭示了寄生关系的复杂根源及其分子模拟的可能性
PLoS One. 2013 Jun 21;8(6):e67377. doi: 10.1371/journal.pone.0067377. Print 2013.
8
Pine wood nematode, Bursaphelenchus xylophilus.松材线虫,松材线虫。
Annu Rev Phytopathol. 2013;51:61-83. doi: 10.1146/annurev-phyto-081211-172910. Epub 2013 May 6.
9
Framework for modelling economic impacts of invasive species, applied to pine wood nematode in Europe.建模入侵物种经济影响的框架,应用于欧洲的松材线虫。
PLoS One. 2012;7(9):e45505. doi: 10.1371/journal.pone.0045505. Epub 2012 Sep 20.
10
A rapid and precise diagnostic method for detecting the Pinewood nematode Bursaphelenchus xylophilus by loop-mediated isothermal amplification.环介导等温扩增技术快速准确检测松材线虫。
Phytopathology. 2009 Dec;99(12):1365-9. doi: 10.1094/PHYTO-99-12-1365.