Suppr超能文献

地奥司明靶向过氧化物酶体增殖物激活受体 γ 减轻晚期糖基化终产物诱导的神经元损伤。

Diosmetin Targeted at Peroxisome Proliferator-Activated Receptor Gamma Alleviates Advanced Glycation End Products Induced Neuronal Injury.

机构信息

Department of Pharmacy and Master Program, Collage of Pharmacy and Health Care, Tajen University, Pingtung 90741, Taiwan.

Department of Urology, Jen-Ai Hospital, Taichung 41265, Taiwan.

出版信息

Nutrients. 2022 May 27;14(11):2248. doi: 10.3390/nu14112248.

Abstract

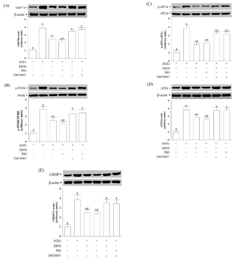
The present study aimed to evaluate the role of diosmetin in alleviating advanced glycation end products (AGEs)-induced Alzheimer's disease (AD)-like pathology and to clarify the action mechanisms. Before stimulation with AGEs (200 μg/mL), SH-SY5Y cells were treated with diosmetin (10 μmol/L), increasing cell viability. The induction of AGEs on the reactive oxygen species overproduction and downregulation of antioxidant enzyme activities, including superoxide dismutase, glutathione peroxidase, and catalase, were ameliorated by diosmetin. Amyloid precursor protein upregulation, accompanied by increased production of amyloid-β, caused by AGEs, was reversed by diosmetin. In the presence of diosmetin, not only β-site amyloid precursor protein cleaving enzyme1 expression was lowered, but the protein levels of insulin-degrading enzyme and neprilysin were elevated. Diosmetin protects SH-SY5Y cells from endoplasmic reticulum (ER) stress response to AGEs by suppressing ER stress-induced glucose regulated protein 78, thereby downregulating protein kinase R-like endoplasmic reticulum kinase, eukaryotic initiation factor 2 α, activating transcription factor 4, and C/EBP homologous protein. Diosmetin-pretreated cells had a lower degree of apoptotic DNA fragmentation; this effect may be associated with B-cell lymphoma (Bcl) 2 protein upregulation, Bcl-2-associated X protein downregulation, and decreased activities of caspase-12/-9/-3. The reversion of diosmetin on the AGEs-induced harmful effects was similar to that produced by pioglitazone. The peroxisome proliferator-activated receptor (PPAR) antagonist T0070907 (5 μmol/L) abolished the beneficial effects of diosmetin on AGEs-treated SH-SY5Y cells, indicating the involvement of PPAR. We conclude that diosmetin protects neuroblastoma cells against AGEs-induced ER injury via multiple mechanisms and may be a potential option for AD.

摘要

本研究旨在评估芫花素在缓解晚期糖基化终产物 (AGEs) 诱导的阿尔茨海默病 (AD) 样病变中的作用,并阐明其作用机制。在接受 AGEs(200μg/mL)刺激之前,用芫花素(10μmol/L)处理 SH-SY5Y 细胞,可提高细胞活力。芫花素可改善 AGEs 引起的活性氧过度产生和抗氧化酶活性(包括超氧化物歧化酶、谷胱甘肽过氧化物酶和过氧化氢酶)下调。AGEs 引起的淀粉样前体蛋白上调,并伴有淀粉样-β的产生增加,被芫花素逆转。在存在芫花素的情况下,不仅β位淀粉样前体蛋白裂解酶 1 的表达降低,而且胰岛素降解酶和 Neprilysin 的蛋白水平升高。芫花素通过抑制内质网应激诱导的葡萄糖调节蛋白 78,从而下调蛋白激酶 R 样内质网激酶、真核起始因子 2α、激活转录因子 4 和 C/EBP 同源蛋白,保护 SH-SY5Y 细胞免受 AGEs 的内质网应激反应。用芫花素预处理的细胞,其凋亡 DNA 片段的程度较低;这种作用可能与 B 细胞淋巴瘤(Bcl)2 蛋白上调、Bcl-2 相关 X 蛋白下调以及半胱天冬酶-12/-9/-3 活性降低有关。与吡格列酮相似,芫花素对 AGEs 诱导的有害作用的逆转作用。过氧化物酶体增殖物激活受体(PPAR)拮抗剂 T0070907(5μmol/L)消除了芫花素对 AGEs 处理的 SH-SY5Y 细胞的有益作用,表明 PPAR 的参与。我们得出结论,芫花素通过多种机制保护神经母细胞瘤细胞免受 AGEs 诱导的内质网损伤,可能是 AD 的一种潜在选择。

https://cdn.ncbi.nlm.nih.gov/pmc/blobs/8d10/9183070/2ca358d76130/nutrients-14-02248-g001.jpg

文献检索

告别复杂PubMed语法,用中文像聊天一样搜索,搜遍4000万医学文献。AI智能推荐,让科研检索更轻松。

立即免费搜索

文件翻译

保留排版,准确专业,支持PDF/Word/PPT等文件格式,支持 12+语言互译。

免费翻译文档

深度研究

AI帮你快速写综述,25分钟生成高质量综述,智能提取关键信息,辅助科研写作。

立即免费体验