Suppr超能文献

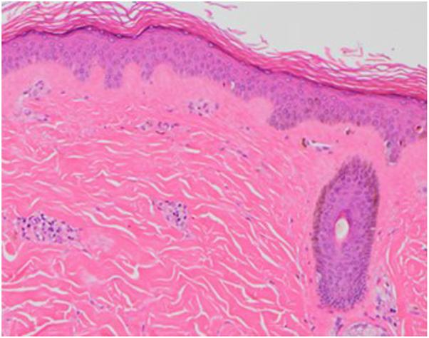
Vitiligo of the arm after COVID-19 vaccination.

作者信息

Singh Rhea, Cohen Jay L, Astudillo Michael, Harris John E, Freeman Esther E

机构信息

Department of Dermatology, Massachusetts General Hospital, Harvard Medical School, Boston, Massachusetts.

Virginia Commonwealth University School of Medicine, Richmond, Virginia.

出版信息

JAAD Case Rep. 2022 Oct;28:142-144. doi: 10.1016/j.jdcr.2022.06.003. Epub 2022 Jun 20.

Abstract
摘要
https://cdn.ncbi.nlm.nih.gov/pmc/blobs/d979/9523092/c04be225f921/gr1.jpg

文献检索

告别复杂PubMed语法,用中文像聊天一样搜索,搜遍4000万医学文献。AI智能推荐,让科研检索更轻松。

立即免费搜索

文件翻译

保留排版,准确专业,支持PDF/Word/PPT等文件格式,支持 12+语言互译。

免费翻译文档

深度研究

AI帮你快速写综述,25分钟生成高质量综述,智能提取关键信息,辅助科研写作。

立即免费体验