Suppr超能文献

7T 下使用径向-笛卡尔 TURBINE 采样的超高分辨率 fMRI。

Ultrahigh Resolution fMRI at 7T Using Radial-Cartesian TURBINE Sampling.

机构信息

Wellcome Centre for Integrative Neuroscience, FMRIB Centre, University of Oxford, Oxford, United Kingdom.

Wellcome Centre for Human Neuroimaging, UCL Queen Square Institute of Neurology, University College London, London, United Kingdom.

出版信息

Magn Reson Med. 2022 Nov;88(5):2058-2073. doi: 10.1002/mrm.29359. Epub 2022 Jul 4.

Abstract

PURPOSE

We investigate the use of TURBINE, a 3D radial-Cartesian acquisition scheme in which EPI planes are rotated about the phase-encoding axis to acquire a cylindrical k-space for high-fidelity ultrahigh isotropic resolution fMRI at 7 Tesla with minimal distortion and blurring.

METHODS

An improved, completely self-navigated version of the TURBINE sampling scheme was designed for fMRI at 7 Telsa. To demonstrate the image quality and spatial specificity of the acquisition, thin-slab visual and motor BOLD fMRI at 0.67 mm isotropic resolution (16 mm slab, TRvol = 2.32 s), and 0.8 × 0.8 × 2.0 mm (whole-brain, TRvol = 2.4 s) data were acquired. To prioritize the high spatial fidelity, we employed a temporally regularized reconstruction to improve sensitivity without any spatial bias.

RESULTS

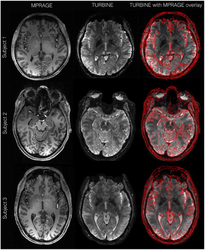
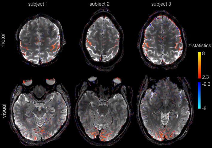
TURBINE images provide high structural fidelity with almost no distortion, dropout, or T * blurring for the thin-slab acquisitions compared to conventional 3D EPI owing to the radial sampling in-plane and the short echo train used. This results in activation that can be localized to pre- and postcentral gyri in a motor task, for example, with excellent correspondence to brain structure measured by a T -MPRAGE. The benefits of TURBINE (low distortion, dropout, blurring) are reduced for the whole-brain acquisition due to the longer EPI train. We demonstrate robust BOLD activation at 0.67 mm isotropic resolution (thin-slab) and also anisotropic 0.8 × 0.8 × 2.0 mm (whole-brain) acquisitions.

CONCLUSION

TURBINE is a promising acquisition approach for high-resolution, minimally distorted fMRI at 7 Tesla and could be particularly useful for fMRI in areas of high B inhomogeneity.

摘要

目的

我们研究了使用 TURBINE,一种 3D 径向笛卡尔采集方案,其中 EPI 平面围绕相位编码轴旋转,以在 7T 下以最小的失真和模糊获得高保真超高各向同性分辨率 fMRI 的圆柱形 k 空间。

方法

为在 7T 下进行 fMRI,设计了一种改进的、完全自我导航的 TURBINE 采样方案。为了展示采集的图像质量和空间特异性,我们在 0.67 毫米各向同性分辨率(16 毫米片层,TRvol = 2.32 秒)下进行了薄切片视觉和运动 BOLD fMRI,以及 0.8×0.8×2.0 毫米(全脑,TRvol = 2.4 秒)数据采集。为了优先考虑高空间保真度,我们采用了时间正则化重建来提高灵敏度,而没有任何空间偏差。

结果

与传统的 3D EPI 相比,TURBINE 图像提供了几乎没有失真、缺失或 T * 模糊的高结构保真度,这是由于在平面内进行的径向采样和使用的短回波链。这导致例如在运动任务中,可以将激活定位到中央前回和中央后回,与 T -MPRAGE 测量的大脑结构具有极好的对应关系。由于 EPI 链较长,TURBINE(低失真、缺失、模糊)的优势对于全脑采集会降低。我们在 0.67 毫米各向同性分辨率(薄片)下证明了稳健的 BOLD 激活,并且还在各向异性 0.8×0.8×2.0 毫米(全脑)采集下证明了稳健的 BOLD 激活。

结论

TURBINE 是一种有前途的高分辨率、最小失真 fMRI 采集方法,在 B 不均匀性较高的区域进行 fMRI 时可能特别有用。

https://cdn.ncbi.nlm.nih.gov/pmc/blobs/9b62/9546489/0238a815d30d/MRM-88-2058-g009.jpg

文献AI研究员

20分钟写一篇综述,助力文献阅读效率提升50倍。

立即体验

用中文搜PubMed

大模型驱动的PubMed中文搜索引擎

马上搜索

文档翻译

学术文献翻译模型,支持多种主流文档格式。

立即体验