Suppr超能文献

生发中心相关原发性皮肤弥漫性大B细胞淋巴瘤,腿部型:一例缓解病例报告

Germinal Centre-Related Primary Cutaneous Diffuse Large B-Cell Lymphoma, Leg Type: Report of a Remission Case.

作者信息

Liu Fang, Qi Fei, Zhang Xiuying, Cao Mei, Peng Shiguang

机构信息

Department of Dermatology, Beijing Chaoyang Hospital, Capital Medical University, Beijing, People's Republic of China.

出版信息

Clin Cosmet Investig Dermatol. 2022 Jul 6;15:1265-1269. doi: 10.2147/CCID.S373937. eCollection 2022.

Abstract

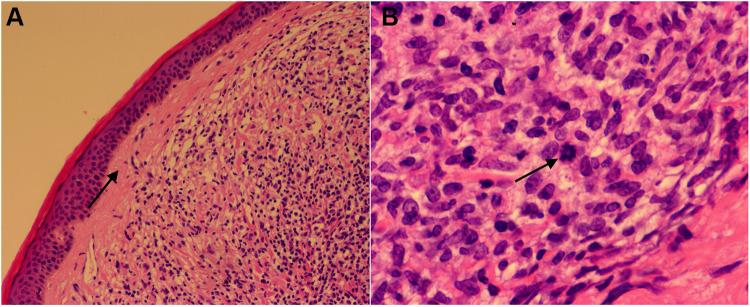
Primary cutaneous diffuse large B-cell lymphoma, leg type (PCDLBCL-LTs) is a rare and the most aggressive type of the cutaneous B-cell lymphoma with poor prognosis and low therapeutic response. It mostly affects elderly women, with a 5-year survival rate of 50% if not efficiently treated. We present a 28-year-old male patient with indolent PCDLBCL-LT who reached nearly 100% clearance after six rituximab plus cyclophosphamide, doxorubicin, vincristine, and prednisone (R-CHOP) chemotherapy sessions.

摘要

原发性皮肤弥漫性大B细胞淋巴瘤,腿部型(PCDLBCL-LTs)是一种罕见且侵袭性最强的皮肤B细胞淋巴瘤,预后差,治疗反应低。它主要影响老年女性,若未得到有效治疗,5年生存率为50%。我们报告一名28岁患有惰性PCDLBCL-LT的男性患者,在接受6个周期的利妥昔单抗联合环磷酰胺、多柔比星、长春新碱和泼尼松(R-CHOP)化疗后,几乎达到了100%的清除率。

https://cdn.ncbi.nlm.nih.gov/pmc/blobs/284a/9271285/7c0e0a342f51/CCID-15-1265-g0001.jpg

文献检索

告别复杂PubMed语法,用中文像聊天一样搜索,搜遍4000万医学文献。AI智能推荐,让科研检索更轻松。

立即免费搜索

文件翻译

保留排版,准确专业,支持PDF/Word/PPT等文件格式,支持 12+语言互译。

免费翻译文档

深度研究

AI帮你快速写综述,25分钟生成高质量综述,智能提取关键信息,辅助科研写作。

立即免费体验