Suppr超能文献

纳米材料防治蚊虫(库蚊,Culex quinquefasciatus Say,1823)的杀虫效果及其对大鼠的肝毒性研究

Insecticidal efficacy of nanomaterials used to control mosquito, Culex quinquefasciatus Say, 1823 with special reference to their hepatotoxicity in rats.

机构信息

Department of Zoology and Agricultural Nematology, Faculty of Agriculture, Cairo University, Giza 12613, Egypt.

Department of Parasitology, Faculty of Veterinary Medicine, Cairo University, Giza 12211, Egypt.

出版信息

Biosci Rep. 2022 Jul 29;42(7). doi: 10.1042/BSR20220630.

Abstract

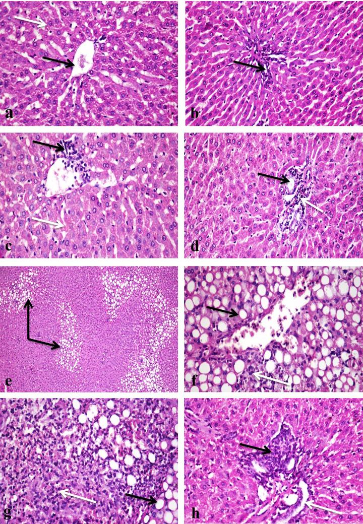
The present study aimed to develop a novel methodology for controlling the mosquito larvae using different nanoparticles, with special reference to their effect on rats (a non-target mammalian model). The mosquito species of Culex quinquefasciatus was reared in the laboratory. Chitosan, silver nanoparticles and their combination as well as lavender (Lavandula officinalis) nanoemulsion with different concentrations were tested as biological insecticides against the mosquito larvae. Mammalian toxicity of the used nanoparticles were evaluated using 27 adult male rats, experimental rats were divided into 9 equal groups (n=3). The nanoparticles were added to the drinking water for 30 days. At the end of the study, blood and tissue samples were collected to assess the levels of the serum alanine aminotransferase and aspartate aminotransferase, different genes expression as interleukin 6 (IL-6) and IL-1β activity. Histopathological and immunohistochemical studies using two markers (TNF-α and BAX expression) were also applied. The LC50 and LC90 were recorded for each tested nanoparticles, and also the changes of the treated mosquito larvae cuticle were assessed using the scanning electron microscopy. Green nanoemulsion (Lavandula officinalis) was more effective than metal (silver) or even biodegradable (chitosan) nanoparticles in controlling of Culex quiquefasciatus mosquito larvae, and also it proved its safety by evaluation of the mammalian hepatotoxicity of the tested nanoparticles.

摘要

本研究旨在开发一种新的方法来控制蚊子幼虫,使用不同的纳米颗粒,特别是它们对大鼠(非靶哺乳动物模型)的影响。在实验室中饲养了库蚊(Culex quinquefasciatus)蚊子。壳聚糖、银纳米颗粒及其组合以及薰衣草(Lavandula officinalis)纳米乳液以不同浓度被测试为生物杀虫剂对蚊子幼虫。使用 27 只成年雄性大鼠评估了所用纳米颗粒的哺乳动物毒性,实验大鼠分为 9 个相等的组(n=3)。纳米颗粒被添加到饮用水中 30 天。研究结束时,收集血液和组织样本,以评估血清丙氨酸氨基转移酶和天冬氨酸氨基转移酶、白细胞介素 6 (IL-6) 和白细胞介素 1β (IL-1β) 活性等不同基因的表达水平。还应用了两种标记物(TNF-α 和 BAX 表达)的组织病理学和免疫组织化学研究。记录了每种测试纳米颗粒的 LC50 和 LC90,还使用扫描电子显微镜评估了处理后的蚊子幼虫表皮的变化。绿色纳米乳液(薰衣草)比金属(银)甚至可生物降解(壳聚糖)纳米颗粒更有效地控制库蚊幼虫,并且通过评估测试纳米颗粒对哺乳动物的肝毒性来证明其安全性。

https://cdn.ncbi.nlm.nih.gov/pmc/blobs/a2e5/9334753/b475bebb0052/bsr-42-bsr20220630-g1.jpg

文献检索

告别复杂PubMed语法,用中文像聊天一样搜索,搜遍4000万医学文献。AI智能推荐,让科研检索更轻松。

立即免费搜索

文件翻译

保留排版,准确专业,支持PDF/Word/PPT等文件格式,支持 12+语言互译。

免费翻译文档

深度研究

AI帮你快速写综述,25分钟生成高质量综述,智能提取关键信息,辅助科研写作。

立即免费体验