• 文献检索
  • 文档翻译
  • 深度研究
  • 学术资讯
  • Suppr Zotero 插件Zotero 插件
  • 邀请有礼
  • 套餐&价格
  • 历史记录
应用&插件
Suppr Zotero 插件Zotero 插件浏览器插件Mac 客户端Windows 客户端微信小程序
定价
高级版会员购买积分包购买API积分包
服务
文献检索文档翻译深度研究API 文档MCP 服务
关于我们
关于 Suppr公司介绍联系我们用户协议隐私条款
关注我们

Suppr 超能文献

核心技术专利:CN118964589B侵权必究
粤ICP备2023148730 号-1Suppr @ 2026

文献检索

告别复杂PubMed语法,用中文像聊天一样搜索,搜遍4000万医学文献。AI智能推荐,让科研检索更轻松。

立即免费搜索

文件翻译

保留排版,准确专业,支持PDF/Word/PPT等文件格式,支持 12+语言互译。

免费翻译文档

深度研究

AI帮你快速写综述,25分钟生成高质量综述,智能提取关键信息,辅助科研写作。

立即免费体验

非洲爪蟾细胞骨架肌动蛋白和人类原癌基因c-fos启动子共享一个保守的蛋白质结合位点。

Xenopus cytoskeletal actin and human c-fos gene promoters share a conserved protein-binding site.

作者信息

Mohun T, Garrett N, Treisman R

出版信息

EMBO J. 1987 Mar;6(3):667-73. doi: 10.1002/j.1460-2075.1987.tb04806.x.

DOI:10.1002/j.1460-2075.1987.tb04806.x
PMID:3582369
原文链接:https://pmc.ncbi.nlm.nih.gov/articles/PMC553449/
Abstract

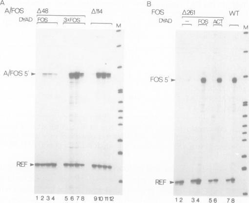
Xenopus laevis cytoskeletal actin gene promoters contain a 20-bp sequence homologous to the serum response element (SRE) required for transient human c-fos gene transcription in response to serum factors. Both sequences bind the same factor in HeLa cell extracts, as shown by binding competition, DNase I and dimethylsulphate (DMS) protection and DMS interference assays. A similar protein is present in Xenopus laevis oocytes. Sequences containing the SRE homology are essential for constitutive activity of the actin promoter in both Xenopus and mouse cells, and a synthetic SRE functions as a promoter element in these cells. In mouse cells, transcription of both transfected Xenopus actin and actin/c-fos fusion genes is activated following serum stimulation. These data suggest that the SRE and its cognate protein form part of a regulatory pathway that has been highly conserved during evolution.

摘要

非洲爪蟾细胞骨架肌动蛋白基因启动子包含一段20个碱基对的序列,该序列与血清反应元件(SRE)同源,血清反应元件是人类c-fos基因在对血清因子作出反应时进行瞬时转录所必需的。结合竞争、DNA酶I和硫酸二甲酯(DMS)保护以及DMS干扰试验表明,这两个序列在HeLa细胞提取物中结合相同的因子。非洲爪蟾卵母细胞中存在一种类似的蛋白质。含有SRE同源性的序列对于肌动蛋白启动子在非洲爪蟾和小鼠细胞中的组成型活性至关重要,并且一个合成的SRE在这些细胞中作为启动子元件发挥作用。在小鼠细胞中,血清刺激后,转染的非洲爪蟾肌动蛋白基因和肌动蛋白/c-fos融合基因的转录均被激活。这些数据表明,SRE及其同源蛋白构成了一条在进化过程中高度保守的调控途径的一部分。

https://cdn.ncbi.nlm.nih.gov/pmc/blobs/1045/553449/2253194fb781/emboj00243-0124-b.jpg
https://cdn.ncbi.nlm.nih.gov/pmc/blobs/1045/553449/92dcb43d8dbd/emboj00243-0122-a.jpg
https://cdn.ncbi.nlm.nih.gov/pmc/blobs/1045/553449/8a29a5d93183/emboj00243-0122-b.jpg
https://cdn.ncbi.nlm.nih.gov/pmc/blobs/1045/553449/5a409a699f85/emboj00243-0123-a.jpg
https://cdn.ncbi.nlm.nih.gov/pmc/blobs/1045/553449/888d8dc22395/emboj00243-0124-a.jpg
https://cdn.ncbi.nlm.nih.gov/pmc/blobs/1045/553449/2253194fb781/emboj00243-0124-b.jpg
https://cdn.ncbi.nlm.nih.gov/pmc/blobs/1045/553449/92dcb43d8dbd/emboj00243-0122-a.jpg
https://cdn.ncbi.nlm.nih.gov/pmc/blobs/1045/553449/8a29a5d93183/emboj00243-0122-b.jpg
https://cdn.ncbi.nlm.nih.gov/pmc/blobs/1045/553449/5a409a699f85/emboj00243-0123-a.jpg
https://cdn.ncbi.nlm.nih.gov/pmc/blobs/1045/553449/888d8dc22395/emboj00243-0124-a.jpg
https://cdn.ncbi.nlm.nih.gov/pmc/blobs/1045/553449/2253194fb781/emboj00243-0124-b.jpg

相似文献

1
Xenopus cytoskeletal actin and human c-fos gene promoters share a conserved protein-binding site.非洲爪蟾细胞骨架肌动蛋白和人类原癌基因c-fos启动子共享一个保守的蛋白质结合位点。
EMBO J. 1987 Mar;6(3):667-73. doi: 10.1002/j.1460-2075.1987.tb04806.x.
2
Muscle-specific (CArG) and serum-responsive (SRE) promoter elements are functionally interchangeable in Xenopus embryos and mouse fibroblasts.肌肉特异性(CArG)和血清反应性(SRE)启动子元件在非洲爪蟾胚胎和小鼠成纤维细胞中功能上可互换。
Development. 1989 May;106(1):67-78. doi: 10.1242/dev.106.1.67.
3
Cross-binding of factors to functionally different promoter elements in c-fos and skeletal actin genes.因子与c-fos基因和骨骼肌动蛋白基因中功能不同的启动子元件的交叉结合。
Mol Cell Biol. 1989 May;9(5):2191-201. doi: 10.1128/mcb.9.5.2191-2201.1989.
4
Proliferin, a prolactin/growth hormone-like peptide represses myogenic-specific transcription by the suppression of an essential serum response factor-like DNA-binding activity.增殖蛋白,一种催乳素/生长激素样肽,通过抑制一种必需的血清反应因子样DNA结合活性来抑制肌源性特异性转录。
Mol Endocrinol. 1991 Jun;5(6):802-14. doi: 10.1210/mend-5-6-802.
5
Natural and synthetic DNA elements with the CArG motif differ in expression and protein-binding properties.具有CArG基序的天然和合成DNA元件在表达和蛋白质结合特性方面存在差异。
Mol Cell Biol. 1991 Dec;11(12):6296-305. doi: 10.1128/mcb.11.12.6296-6305.1991.
6
An amphibian cytoskeletal-type actin gene is expressed exclusively in muscle tissue.一种两栖动物细胞骨架型肌动蛋白基因仅在肌肉组织中表达。
Development. 1987 Oct;101(2):393-402. doi: 10.1242/dev.101.2.393.
7
A multiple cytokine- and second messenger-responsive element in the enhancer of the human interleukin-6 gene: similarities with c-fos gene regulation.人白细胞介素-6基因增强子中的一个多细胞因子和第二信使反应元件:与c-fos基因调控的相似性
Mol Cell Biol. 1989 Dec;9(12):5537-47. doi: 10.1128/mcb.9.12.5537-5547.1989.
8
Functional analysis of an isolated fos promoter element with AP-1 site homology reveals cell type-specific transcriptional properties.对具有AP-1位点同源性的分离的fos启动子元件进行功能分析,揭示了细胞类型特异性转录特性。
Mol Cell Biol. 1990 Dec;10(12):6273-82. doi: 10.1128/mcb.10.12.6273-6282.1990.
9
DNA bending is induced by a transcription factor that interacts with the human c-FOS and alpha-actin promoters.DNA弯曲是由一种与人类c-FOS和α-肌动蛋白启动子相互作用的转录因子诱导产生的。
Proc Natl Acad Sci U S A. 1989 Apr;86(7):2162-6. doi: 10.1073/pnas.86.7.2162.
10
Conserved elements in the 3' untranslated regions of c-fos and actin mRNAs.c-fos和肌动蛋白信使核糖核酸3'非翻译区中的保守元件。
Biosci Rep. 1986 Sep;6(9):819-25. doi: 10.1007/BF01117105.

引用本文的文献

1
Opposite T Response of ACTG1-FOS Subnetwork Differentiate Tailfin Fate in Xenopus Tadpole and Post-hatching Axolotl.ACTG1-FOS 子网的相反 T 反应区分非洲爪蟾蝌蚪和孵化后美西螈的尾鳍命运。
Front Endocrinol (Lausanne). 2019 Apr 2;10:194. doi: 10.3389/fendo.2019.00194. eCollection 2019.
2
Embryonic transcriptional activation of aXenopus cytoskeletal actin gene does not require a serum response element.非洲爪蟾细胞骨架肌动蛋白基因的胚胎转录激活不需要血清反应元件。
Rouxs Arch Dev Biol. 1990 Oct;199(2):89-96. doi: 10.1007/BF02029555.
3
Light-assisted small-molecule screening against protein kinases.

本文引用的文献

1
Contacts between Escherichia coli RNA polymerase and an early promoter of phage T7.大肠杆菌RNA聚合酶与噬菌体T7早期启动子之间的相互作用。
Proc Natl Acad Sci U S A. 1980 Jan;77(1):122-6. doi: 10.1073/pnas.77.1.122.
2
The structure and evolution of the human beta-globin gene family.人类β-珠蛋白基因家族的结构与进化
Cell. 1980 Oct;21(3):653-68. doi: 10.1016/0092-8674(80)90429-8.
3
Diversity of expression of non-muscle actin in amphibia.两栖动物中非肌肉肌动蛋白表达的多样性。
针对蛋白激酶的光辅助小分子筛选
Nat Chem Biol. 2015 Dec;11(12):952-4. doi: 10.1038/nchembio.1933. Epub 2015 Oct 12.
4
Proteomic profiling of cardiac tissue by isolation of nuclei tagged in specific cell types (INTACT).通过分离特定细胞类型标记的细胞核(INTACT)对心脏组织进行蛋白质组学分析。
Development. 2014 Feb;141(4):962-73. doi: 10.1242/dev.098327.
5
Degeneration of the mouse retina upon dysregulated activity of serum response factor.血清反应因子活性失调导致小鼠视网膜退化。
Mol Vis. 2011 Apr 29;17:1110-27.
6
Rho/Rho-associated kinase signal regulates myogenic differentiation via myocardin-related transcription factor-A/Smad-dependent transcription of the Id3 gene.Rho/ Rho相关激酶信号通过与心肌素相关转录因子A/ Smad依赖的Id3基因转录来调节肌源性分化。
J Biol Chem. 2008 Jul 25;283(30):21230-41. doi: 10.1074/jbc.M710525200. Epub 2008 May 12.
7
Human T-cell leukemia virus type 1 Tax enhances serum response factor DNA binding and alters site selection.人类1型T细胞白血病病毒Tax蛋白增强血清反应因子与DNA的结合并改变位点选择。
J Virol. 2007 Jun;81(11):6089-98. doi: 10.1128/JVI.02179-06. Epub 2007 Mar 21.
8
Neuronal migration in the murine rostral migratory stream requires serum response factor.小鼠吻侧迁移流中的神经元迁移需要血清反应因子。
Proc Natl Acad Sci U S A. 2005 Apr 26;102(17):6148-53. doi: 10.1073/pnas.0501191102. Epub 2005 Apr 18.
9
Mutant actins demonstrate a role for unpolymerized actin in control of transcription by serum response factor.突变肌动蛋白表明未聚合的肌动蛋白在血清反应因子对转录的控制中发挥作用。
Mol Biol Cell. 2002 Dec;13(12):4167-78. doi: 10.1091/mbc.02-05-0068.
10
The diaphanous-related formin mDia1 controls serum response factor activity through its effects on actin polymerization.与透明相关的formin蛋白mDia1通过其对肌动蛋白聚合的影响来控制血清反应因子的活性。
Mol Biol Cell. 2002 Nov;13(11):4088-99. doi: 10.1091/mbc.02-06-0092.
J Mol Biol. 1981 Oct 25;152(2):413-26. doi: 10.1016/0022-2836(81)90251-5.
4
Recombinant genomes which express chloramphenicol acetyltransferase in mammalian cells.在哺乳动物细胞中表达氯霉素乙酰转移酶的重组基因组。
Mol Cell Biol. 1982 Sep;2(9):1044-51. doi: 10.1128/mcb.2.9.1044-1051.1982.
5
Eukaryotic gene transcription with purified components.真核基因转录与纯化的组分。
Methods Enzymol. 1983;101:582-98. doi: 10.1016/0076-6879(83)01039-3.
6
Accurate transcription initiation by RNA polymerase II in a soluble extract from isolated mammalian nuclei.从分离的哺乳动物细胞核的可溶性提取物中,RNA聚合酶II进行准确的转录起始。
Nucleic Acids Res. 1983 Mar 11;11(5):1475-89. doi: 10.1093/nar/11.5.1475.
7
Cell type-specific activation of actin genes in the early amphibian embryo.早期两栖动物胚胎中肌动蛋白基因的细胞类型特异性激活。
Nature. 1984;311(5988):716-21. doi: 10.1038/311716a0.
8
A protein binds to a satellite DNA repeat at three specific sites that would be brought into mutual proximity by DNA folding in the nucleosome.一种蛋白质在三个特定位点与卫星DNA重复序列结合,这些位点在核小体中会通过DNA折叠而相互靠近。
Cell. 1984 Jul;37(3):889-901. doi: 10.1016/0092-8674(84)90424-0.
9
Platelet-derived growth factor induces rapid but transient expression of the c-fos gene and protein.血小板衍生生长因子诱导c-fos基因和蛋白的快速但短暂的表达。
Nature. 1984;312(5996):711-6. doi: 10.1038/312711a0.
10
Upstream elements necessary for optimal function of the hsp 70 promoter in transformed flies.转化果蝇中hsp 70启动子最佳功能所需的上游元件。
Cell. 1984 Sep;38(2):391-8. doi: 10.1016/0092-8674(84)90494-x.