• 文献检索
  • 文档翻译
  • 深度研究
  • 学术资讯
  • Suppr Zotero 插件Zotero 插件
  • 邀请有礼
  • 套餐&价格
  • 历史记录
应用&插件
Suppr Zotero 插件Zotero 插件浏览器插件Mac 客户端Windows 客户端微信小程序
定价
高级版会员购买积分包购买API积分包
服务
文献检索文档翻译深度研究API 文档MCP 服务
关于我们
关于 Suppr公司介绍联系我们用户协议隐私条款
关注我们

Suppr 超能文献

核心技术专利:CN118964589B侵权必究
粤ICP备2023148730 号-1Suppr @ 2026

文献检索

告别复杂PubMed语法,用中文像聊天一样搜索,搜遍4000万医学文献。AI智能推荐,让科研检索更轻松。

立即免费搜索

文件翻译

保留排版,准确专业,支持PDF/Word/PPT等文件格式,支持 12+语言互译。

免费翻译文档

深度研究

AI帮你快速写综述,25分钟生成高质量综述,智能提取关键信息,辅助科研写作。

立即免费体验

卢特巴赫综合征在尼日利亚年轻患者中表现为心力衰竭:奥巴费米·阿沃洛沃大学教学医院(OAUTHC)的病例报告。

Lutembacher syndrome presenting as heart failure in a young Nigerian at Obafemi Awolowo University Teaching Hospitals Complex (OAUTHC), Ile-Ife: a case report.

机构信息

Cardiology Unit, Department of Medicine, Obafemi Awolowo University Teaching Hospitals Complex (OAUTHC), Ile-Ife, Osun State, Nigeria.

出版信息

Pan Afr Med J. 2022 Apr 28;41:342. doi: 10.11604/pamj.2022.41.342.29903. eCollection 2022.

DOI:10.11604/pamj.2022.41.342.29903
PMID:35909428
原文链接:https://pmc.ncbi.nlm.nih.gov/articles/PMC9279463/
Abstract

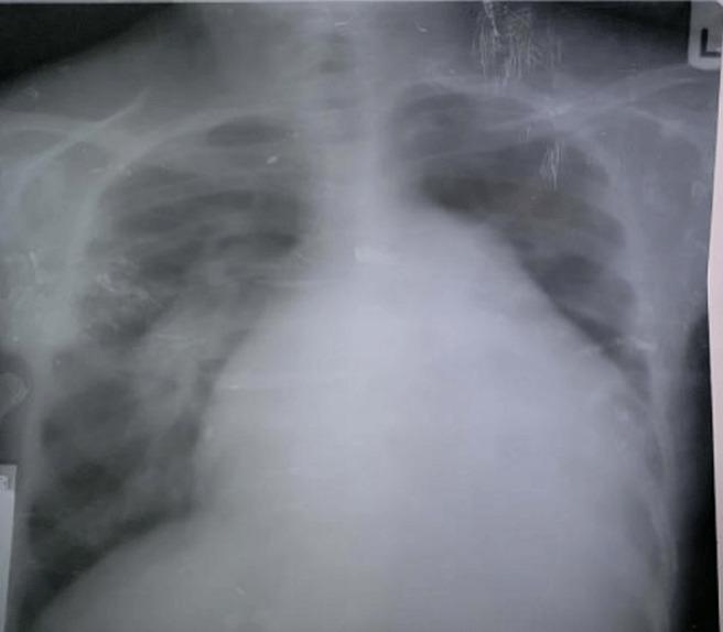
Lutembacher syndrome (LS) is a rare syndrome comprising a combination of atrial septal defect (ASD) and mitral stenosis. We present the case of a 28-year-old man, who presented with progressively worsening dyspnea of 2 months associated with orthopnea, paroxysmal nocturnal dyspnea, bilateral leg swelling and productive cough. Chest X-ray revealed plethoric lung fields with prominent pulmonary conus and cardiomegaly. Transthoracic echocardiography revealed a large ostium secundum ASD with left to right shunt, mild mitral stenosis, severe mitral and tricuspid regurgitations and pulmonary hypertension. A diagnosis of Lutembacher syndrome in heart failure with pulmonary hypertension was made. The patient was managed conservatively, but declined surgery primarily because of financial reasons. This rare case of LS presenting with heart failure and complicated by pulmonary hypertension is the first reported case in our centre and our region. The patient's inability to afford the cost of definitive care posed a significant problem in his management.

摘要

卢特巴赫综合征(LS)是一种罕见的综合征,包括房间隔缺损(ASD)和二尖瓣狭窄。我们报告了一例 28 岁男性病例,该患者出现进行性恶化的呼吸困难,病程为 2 个月,伴有端坐呼吸、阵发性夜间呼吸困难、双侧腿部肿胀和咳嗽有痰。胸部 X 线显示肺部过度充气,肺动脉圆锥突出,心脏增大。经胸超声心动图显示继发孔 ASD 大,左向右分流,二尖瓣轻度狭窄,二尖瓣和三尖瓣重度反流和肺动脉高压。诊断为心力衰竭合并肺动脉高压的卢特巴赫综合征。患者接受了保守治疗,但主要由于经济原因拒绝手术。这例罕见的 LS 合并心力衰竭和肺动脉高压的病例是我们中心和我们地区首例报告。患者无力承担确定性治疗的费用,这在他的管理中构成了一个重大问题。

https://cdn.ncbi.nlm.nih.gov/pmc/blobs/ad47/9279463/3aa3580a1a2a/PAMJ-41-342-g006.jpg
https://cdn.ncbi.nlm.nih.gov/pmc/blobs/ad47/9279463/ed48aac19c10/PAMJ-41-342-g001.jpg
https://cdn.ncbi.nlm.nih.gov/pmc/blobs/ad47/9279463/f17b0b3dfb91/PAMJ-41-342-g002.jpg
https://cdn.ncbi.nlm.nih.gov/pmc/blobs/ad47/9279463/4c827c7e7d86/PAMJ-41-342-g003.jpg
https://cdn.ncbi.nlm.nih.gov/pmc/blobs/ad47/9279463/ac946ca84b18/PAMJ-41-342-g004.jpg
https://cdn.ncbi.nlm.nih.gov/pmc/blobs/ad47/9279463/a393c64e9fa1/PAMJ-41-342-g005.jpg
https://cdn.ncbi.nlm.nih.gov/pmc/blobs/ad47/9279463/3aa3580a1a2a/PAMJ-41-342-g006.jpg
https://cdn.ncbi.nlm.nih.gov/pmc/blobs/ad47/9279463/ed48aac19c10/PAMJ-41-342-g001.jpg
https://cdn.ncbi.nlm.nih.gov/pmc/blobs/ad47/9279463/f17b0b3dfb91/PAMJ-41-342-g002.jpg
https://cdn.ncbi.nlm.nih.gov/pmc/blobs/ad47/9279463/4c827c7e7d86/PAMJ-41-342-g003.jpg
https://cdn.ncbi.nlm.nih.gov/pmc/blobs/ad47/9279463/ac946ca84b18/PAMJ-41-342-g004.jpg
https://cdn.ncbi.nlm.nih.gov/pmc/blobs/ad47/9279463/a393c64e9fa1/PAMJ-41-342-g005.jpg
https://cdn.ncbi.nlm.nih.gov/pmc/blobs/ad47/9279463/3aa3580a1a2a/PAMJ-41-342-g006.jpg

相似文献

1
Lutembacher syndrome presenting as heart failure in a young Nigerian at Obafemi Awolowo University Teaching Hospitals Complex (OAUTHC), Ile-Ife: a case report.卢特巴赫综合征在尼日利亚年轻患者中表现为心力衰竭:奥巴费米·阿沃洛沃大学教学医院(OAUTHC)的病例报告。
Pan Afr Med J. 2022 Apr 28;41:342. doi: 10.11604/pamj.2022.41.342.29903. eCollection 2022.
2
Lutembacher syndrome with mitral valve calcification in a 31-year old male.一名31岁男性患鲁登巴赫综合征伴二尖瓣钙化。
J Pak Med Assoc. 2018 Feb;68(2):340-342.
3
[Temporary occlusion of atrial septal defect in the Lutembacher syndrome].[鲁腾巴赫综合征房间隔缺损的临时封堵]
Medicina (B Aires). 2011;71(4):366-8.
4
Surgical correction of Lutembacher's syndrome in a patient with severe pulmonary artery hypertension.重度肺动脉高压患者鲁滕巴赫综合征的外科矫治
J Card Surg. 2014 Jul;29(4):569-71. doi: 10.1111/jocs.12340. Epub 2014 May 15.
5
[Lutembacher's syndrome].[鲁腾巴赫综合征]
Arq Bras Cardiol. 1993 Aug;61(2):107-9.
6
Rapid progression of mitral stenosis after atrial septal defect closure in a Lutembacher's syndrome patient.卢特巴赫氏综合征患者房间隔缺损封堵术后二尖瓣狭窄迅速进展。
J Card Surg. 2022 Apr;37(4):1066-1068. doi: 10.1111/jocs.16258. Epub 2022 Jan 20.
7
Giant left atrium secondary to tight mitral stenosis leading to acquired Lutembacher syndrome: a case report with emphasis on role of echocardiography in assessment of Lutembacher syndrome.二尖瓣重度狭窄继发巨大左心房导致获得性鲁登巴赫综合征:1例报告并着重探讨超声心动图在鲁登巴赫综合征评估中的作用
J Am Soc Echocardiogr. 2001 Oct;14(10):1033-5. doi: 10.1067/mje.2001.111265.
8
Echocardiography in the diagnosis of Lutembacher syndrome.超声心动图在鲁腾巴赫综合征诊断中的应用
Cathet Cardiovasc Diagn. 1978;4(3):283-8. doi: 10.1002/ccd.1810040310.
9
Cyanosis and clubbing in a patient with iatrogenic Lutembacher syndrome.医源性鲁腾巴赫综合征患者的发绀与杵状指
Eur Heart J. 1995 Mar;16(3):421-3. doi: 10.1093/oxfordjournals.eurheartj.a060927.
10
Surgical challenge in situs inversus with dextrocardia and Lutembacher syndrome.镜像右位心合并 Lutembacher 综合征的手术挑战。
Asian Cardiovasc Thorac Ann. 2018 Nov;26(9):690-693. doi: 10.1177/0218492317697449. Epub 2017 Mar 6.

引用本文的文献

1
Lutembacher's Syndrome in a 45-Year-Old Female From Ambo University Hospital of Ethiopia: A Case Report and literature Review.来自埃塞俄比亚安博大学医院的一名45岁女性的鲁滕巴赫综合征:病例报告及文献综述
Clin Case Rep. 2025 Apr 16;13(4):e70398. doi: 10.1002/ccr3.70398. eCollection 2025 Apr.
2
Lutembacher syndrome presenting as heart failure in an old female from rural Nepal: a case report.一名来自尼泊尔农村的老年女性因卢滕巴赫综合征表现为心力衰竭:病例报告
Ann Med Surg (Lond). 2024 Feb 28;86(8):4745-4749. doi: 10.1097/MS9.0000000000001873. eCollection 2024 Aug.
3
Severe Pulmonary Hypertension From Combined Ventricular Septal Defect and Rheumatic MIitral Valve Disease: A Case Report and Literature Review.

本文引用的文献

1
An Incidental Diagnosis of Rheumatic Mitral Stenosis and Secundum Atrial Septal Defect (Lutembacher's Syndrome) in a Young Woman.一名年轻女性风湿性二尖瓣狭窄合并继发孔型房间隔缺损(鲁登巴赫综合征)的偶然诊断
Case Rep Cardiol. 2019 Oct 30;2019:9402987. doi: 10.1155/2019/9402987. eCollection 2019.
2
Lutembacher's syndrome: Is the mitral pathology always rheumatic?鲁登巴赫综合征:二尖瓣病变总是风湿性的吗?
Indian Heart J. 2017 Jan-Feb;69(1):20-23. doi: 10.1016/j.ihj.2016.07.003. Epub 2016 Jul 9.
3
Occurrence of Lutembacher syndrome in a rural regional hospital: case report from Buea, Cameroon.
室间隔缺损合并风湿性二尖瓣疾病所致重度肺动脉高压:病例报告及文献综述
Clin Med Insights Case Rep. 2024 Feb 9;17:11795476241231140. doi: 10.1177/11795476241231140. eCollection 2024.
卢特巴赫尔氏综合征在农村地区医院的发生:喀麦隆布埃亚的病例报告。
Cardiovasc Diagn Ther. 2014 Jun;4(3):263-6. doi: 10.3978/j.issn.2223-3652.2014.06.01.
4
Lack of focus on cardiovascular disease in sub-Saharan Africa.撒哈拉以南非洲地区对心血管疾病重视不足。
Cardiovasc Diagn Ther. 2012 Mar;2(1):74-7. doi: 10.3978/j.issn.2223-3652.2012.01.03.
5
Two-dimensional and Doppler echocardiographic evaluation of patients presenting at Obafemi Awolowo University Teaching Hospitals Complex, Ile-Ife, Nigeria: a prospective study of 2501 subjects.尼日利亚伊费奥巴费米·阿沃洛沃大学教学医院综合大楼就诊患者的二维和多普勒超声心动图评估:2501 例患者的前瞻性研究。
Int J Gen Med. 2013 Jul 3;6:541-4. doi: 10.2147/IJGM.S43614. Print 2013.
6
Congenital heart disease in Nigerian children: a multicenter echocardiographic study.尼日利亚儿童的先天性心脏病:一项多中心超声心动图研究。
World J Pediatr Congenit Heart Surg. 2013 Apr;4(2):172-6. doi: 10.1177/2150135112474026.
7
Lutembacher's syndrome.鲁登巴赫综合征
J Cardiovasc Dis Res. 2012 Apr;3(2):179-81. doi: 10.4103/0975-3583.95381.
8
World Heart Federation criteria for echocardiographic diagnosis of rheumatic heart disease--an evidence-based guideline.世界心脏联盟超声心动图诊断风湿性心脏病标准——基于证据的指南。
Nat Rev Cardiol. 2012 Feb 28;9(5):297-309. doi: 10.1038/nrcardio.2012.7.
9
Trans-catheter therapy of Lutembacher syndrome: a case report.经导管治疗鲁登巴赫综合征:一例报告。
Acta Med Iran. 2011;49(5):327-30.
10
Isolated Rheumatic Tricuspid Stenosis with Reverse Lutembacher's Physiology.孤立性风湿性三尖瓣狭窄伴反向鲁登巴赫综合征生理学表现
Echocardiography. 1999 Aug;16(6):567-573. doi: 10.1111/j.1540-8175.1999.tb00105.x.