Suppr超能文献

新冠病毒肺炎合并血液系统恶性肿瘤患者的胸部多排螺旋计算机断层扫描成像

Chest multidetector computed tomography imaging of COVID-19 pneumonia patients with hematologic malignancies.

作者信息

El-Badrawy Adel, Elbadrawy Nada

机构信息

Department of Radiology, Faculty of Medicine, Mansoura University, Mansoura, Egypt.

Faculty of Oral and Dental Medicine, Delta University for Science and Technology, Gamasa, Dakahlya, Egypt.

出版信息

Blood Res. 2022 Sep 30;57(3):216-222. doi: 10.5045/br.2022.2022085. Epub 2022 Aug 3.

Abstract

BACKGROUND

Data on the association between coronavirus disease 2019 (COVID-19) and the epidemiology and outcomes of hematological malignancies are limited. Hence, the present study aimed to assess the imaging findings using chest multidetector computed tomography (MDCT) in patients with hematologic malignancies who developed COVID-19 pneumonia.

METHODS

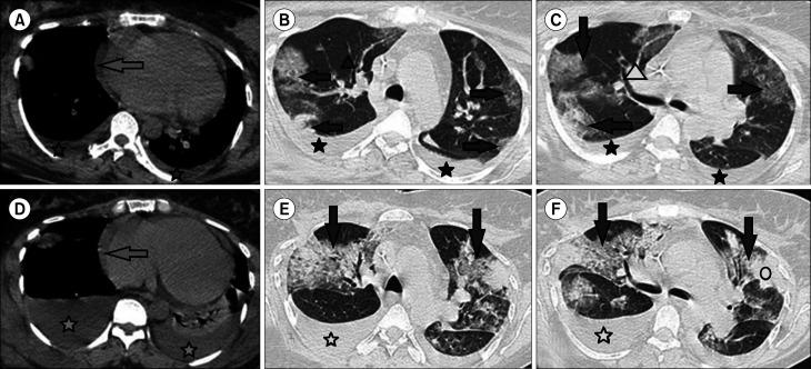
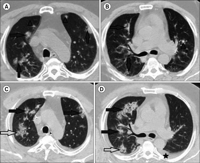
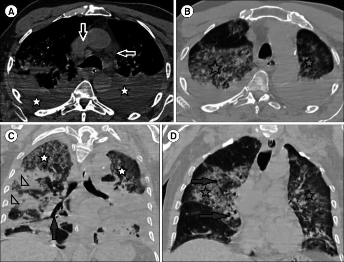
This retrospective study included two groups, the first group consisted of COVID-19 infected patients with hematologic malignancies (100 patients), while the second group consisted of COVID-19 infected patients without hematologic malignancies or other comorbidities (100 patients). The hematological malignancies included in this study were non-Hodgkin's lymphoma (40 patients), acute myeloid leukemia (25 patients), chronic lymphocytic leukemia (15 patients), multiple myeloma (10 patients), Hodgkin's lymphoma (8 patients), and myelodysplastic syndrome (2 patients). Chest multidetector CT imaging was performed in all patients to assess for ground-glass opacity, consolidation, pleural effusion, and airway abnormalities.

RESULTS

More than one CT finding was reported in each patient. No significant difference was observed in the ground-glass opacities (=0.0594), nodule formation (=0.2278), or airway thickening/dilatation (=0.0566) between the two groups; meanwhile, a significant difference was observed in the degree of consolidation, the number of lobes affected, and pleural effusion (=0.0001) as well as in the total lung severity (=0.0001); minimal, mild, and severe affection rates; and (=0.0047) moderate affection rates.

CONCLUSION

Early and reliable diagnosis of lung disease in COVID-19-infected patients may be achieved through multidetector CT imaging. Patients with hematological malignancies are more likely to have severe COVID-19 pneumonia, and radiologists should recognize the CT characteristics of this infection.

摘要

背景

关于2019冠状病毒病(COVID-19)与血液系统恶性肿瘤的流行病学及预后之间关联的数据有限。因此,本研究旨在评估发生COVID-19肺炎的血液系统恶性肿瘤患者胸部多排螺旋计算机断层扫描(MDCT)的影像学表现。

方法

本回顾性研究包括两组,第一组为感染COVID-19的血液系统恶性肿瘤患者(100例),第二组为感染COVID-19但无血液系统恶性肿瘤或其他合并症的患者(100例)。本研究纳入的血液系统恶性肿瘤包括非霍奇金淋巴瘤(40例)、急性髓系白血病(25例)、慢性淋巴细胞白血病(15例)、多发性骨髓瘤(10例)、霍奇金淋巴瘤(8例)和骨髓增生异常综合征(2例)。对所有患者进行胸部多排螺旋CT成像,以评估磨玻璃影、实变、胸腔积液和气道异常情况。

结果

每位患者均报告有不止一项CT表现。两组之间在磨玻璃影(=0.0594)结节形成(=0.2278)或气道增厚/扩张(=0.0566)方面未观察到显著差异;同时,在实变程度、受累肺叶数量和胸腔积液(=0.0001)以及全肺严重程度(=0.0001)、轻度、中度和重度受累率(=0.0047)方面观察到显著差异。

结论

通过多排螺旋CT成像可实现对COVID-19感染患者肺部疾病的早期可靠诊断。血液系统恶性肿瘤患者更易发生重症COVID-19肺炎,放射科医生应认识到这种感染的CT特征。

https://cdn.ncbi.nlm.nih.gov/pmc/blobs/a6f2/9492526/2c38d312cf8e/br-57-3-216-f1.jpg

文献AI研究员

20分钟写一篇综述,助力文献阅读效率提升50倍。

立即体验

用中文搜PubMed

大模型驱动的PubMed中文搜索引擎

马上搜索

文档翻译

学术文献翻译模型,支持多种主流文档格式。

立即体验