• 文献检索
  • 文档翻译
  • 深度研究
  • 学术资讯
  • Suppr Zotero 插件Zotero 插件
  • 邀请有礼
  • 套餐&价格
  • 历史记录
应用&插件
Suppr Zotero 插件Zotero 插件浏览器插件Mac 客户端Windows 客户端微信小程序
定价
高级版会员购买积分包购买API积分包
服务
文献检索文档翻译深度研究API 文档MCP 服务
关于我们
关于 Suppr公司介绍联系我们用户协议隐私条款
关注我们

Suppr 超能文献

核心技术专利:CN118964589B侵权必究
粤ICP备2023148730 号-1Suppr @ 2026

文献检索

告别复杂PubMed语法,用中文像聊天一样搜索,搜遍4000万医学文献。AI智能推荐,让科研检索更轻松。

立即免费搜索

文件翻译

保留排版,准确专业,支持PDF/Word/PPT等文件格式,支持 12+语言互译。

免费翻译文档

深度研究

AI帮你快速写综述,25分钟生成高质量综述,智能提取关键信息,辅助科研写作。

立即免费体验

血性积液细胞学处理技术的比较研究

A comparative study of cytological processing techniques in hemorrhagic effusion.

作者信息

Inbasekaran Poovizhi, Subramanian Ramaswamy Anikode

机构信息

Department of Pathology, Vinayaka Mission Kirupananda Variyar Medical College and Hospital, Salem, Tamil Nadu, India.

Department of Pathology, PES Institute of Medical Sciences and Research, Chittoor, Andhra Pradesh, India.

出版信息

Cytojournal. 2022 Jul 11;19:44. doi: 10.25259/Cytojournal_14_2021. eCollection 2022.

DOI:10.25259/Cytojournal_14_2021
PMID:35928534
原文链接:https://pmc.ncbi.nlm.nih.gov/articles/PMC9345103/
Abstract

OBJECTIVES

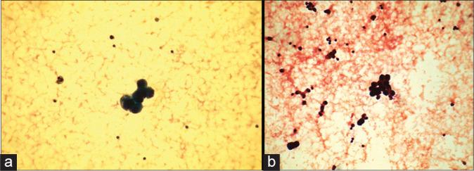
Fluids are one the most common specimens received in cytology laboratories. The presence of erythrocytes may obscure the cells in the smears, making the diagnosis, and identification of cells difficult. Many techniques are being used by laboratories to eliminate these erythrocytes. The present study was undertaken to improve the quality of cytology smears of hemorrhagic samples by comparing three different techniques, namely, Carnoy's fixative (CF), modified CF, and normal saline rehydration technique (NSRT) to hemolysis red blood cells (RBC) present in the smear background for better cytological assessment. The present study was a prospective study done over 1 year 6 months from November 2012 to March 2014, in the Department of Pathology in a Tertiary Care Rural Medical College.

MATERIALS AND METHODS

All hemorrhagic effusions received in the department of pathology were processed using CF, modified CF, and NSRT. The background of the smear and cytomorphological details with two different stains was analyzed. The Chi-square test was used to find out the association of different techniques in the reduction of RBC.

RESULTS

More than 60% reduction of RBCs in the smear was noted in 85.40%, 14.60%, and 15.60% by NSRT, modified CF, and CF, respectively. Staining was better and nuclear features were best preserved in NSRT.

CONCLUSION

NSRT is the best, simple, and cheaper technique to lyse RBC in the hemorrhagic fluid. It also shows better staining and well-preserved cytomorphological features of the cell.

摘要

目的

体液是细胞学实验室接收的最常见标本之一。红细胞的存在可能会使涂片上的细胞模糊不清,从而难以进行细胞诊断和识别。实验室正在使用多种技术来去除这些红细胞。本研究旨在通过比较三种不同技术,即卡诺伊固定液(CF)、改良CF和生理盐水复水技术(NSRT),来溶解涂片背景中存在的红细胞,以提高出血性样本的细胞学涂片质量,从而进行更好的细胞学评估。本研究是一项前瞻性研究,于2012年11月至2014年3月在一所三级农村医学院的病理科进行,为期1年6个月。

材料与方法

病理科接收的所有出血性积液均采用CF、改良CF和NSRT进行处理。分析了涂片背景以及两种不同染色方法下的细胞形态学细节。采用卡方检验来确定不同技术在减少红细胞方面的相关性。

结果

NSRT、改良CF和CF分别使涂片中红细胞减少60%以上的比例为85.40%、14.60%和15.60%。NSRT染色效果更好,细胞核特征保存最佳。

结论

NSRT是溶解出血性液体中红细胞的最佳、简单且成本较低的技术。它还能显示出更好的染色效果以及细胞良好保存的细胞形态学特征。

https://cdn.ncbi.nlm.nih.gov/pmc/blobs/8752/9345103/908e0efb3470/Cytojournal-19-44-g007.jpg
https://cdn.ncbi.nlm.nih.gov/pmc/blobs/8752/9345103/76843f8ad990/Cytojournal-19-44-g001.jpg
https://cdn.ncbi.nlm.nih.gov/pmc/blobs/8752/9345103/02a10769e945/Cytojournal-19-44-g002.jpg
https://cdn.ncbi.nlm.nih.gov/pmc/blobs/8752/9345103/f351a5e2af59/Cytojournal-19-44-g003.jpg
https://cdn.ncbi.nlm.nih.gov/pmc/blobs/8752/9345103/665e6c6892b9/Cytojournal-19-44-g004.jpg
https://cdn.ncbi.nlm.nih.gov/pmc/blobs/8752/9345103/3a2c01db80fd/Cytojournal-19-44-g005.jpg
https://cdn.ncbi.nlm.nih.gov/pmc/blobs/8752/9345103/3dfdfdfc82a1/Cytojournal-19-44-g006.jpg
https://cdn.ncbi.nlm.nih.gov/pmc/blobs/8752/9345103/908e0efb3470/Cytojournal-19-44-g007.jpg
https://cdn.ncbi.nlm.nih.gov/pmc/blobs/8752/9345103/76843f8ad990/Cytojournal-19-44-g001.jpg
https://cdn.ncbi.nlm.nih.gov/pmc/blobs/8752/9345103/02a10769e945/Cytojournal-19-44-g002.jpg
https://cdn.ncbi.nlm.nih.gov/pmc/blobs/8752/9345103/f351a5e2af59/Cytojournal-19-44-g003.jpg
https://cdn.ncbi.nlm.nih.gov/pmc/blobs/8752/9345103/665e6c6892b9/Cytojournal-19-44-g004.jpg
https://cdn.ncbi.nlm.nih.gov/pmc/blobs/8752/9345103/3a2c01db80fd/Cytojournal-19-44-g005.jpg
https://cdn.ncbi.nlm.nih.gov/pmc/blobs/8752/9345103/3dfdfdfc82a1/Cytojournal-19-44-g006.jpg
https://cdn.ncbi.nlm.nih.gov/pmc/blobs/8752/9345103/908e0efb3470/Cytojournal-19-44-g007.jpg

相似文献

1
A comparative study of cytological processing techniques in hemorrhagic effusion.血性积液细胞学处理技术的比较研究
Cytojournal. 2022 Jul 11;19:44. doi: 10.25259/Cytojournal_14_2021. eCollection 2022.
2
Comparative study of processing of haemorrhagic body fluids by using different techniques.使用不同技术处理出血性体液的比较研究。
J Clin Diagn Res. 2013 Oct;7(10):2186-8. doi: 10.7860/JCDR/2013/5589.3466. Epub 2013 Oct 5.
3
Utility of anticoagulation, pre-smearing and post-smearing hemolytic techniques on morphological assessment and reproducibility in fluid cytology.抗凝、涂片前和涂片后溶血技术在液体细胞学形态学评估及可重复性方面的效用。
Cytojournal. 2024 Mar 18;21:9. doi: 10.25259/Cytojournal_51_2023. eCollection 2024.
4
Comparative Evaluation of Honey Versus Alcohol as a Fixative in Cytological Samples: An Institutional Study.蜂蜜与酒精作为细胞学样本固定剂的比较评估:一项机构研究。
J Cytol. 2024 Jul-Sep;41(3):150-156. doi: 10.4103/joc.joc_182_23. Epub 2024 Jul 18.
5
Optimal fixation conditions for immunocytochemical analysis of estrogen receptor in cytologic specimens of breast carcinoma.乳腺癌细胞学标本中雌激素受体免疫细胞化学分析的最佳固定条件
Cancer. 2004 Feb 25;102(1):34-40. doi: 10.1002/cncr.11906.
6
Rehydration of Air-Dried Smears with Normal Saline: An Alternative for Conventional Wet Fixation Method in Cervical Cytological Study.用生理盐水复水风干涂片:宫颈细胞学研究中传统湿固定方法的替代方法
J Cytol. 2018 Oct-Dec;35(4):199-203. doi: 10.4103/JOC.JOC_186_17.
7
Rehydration before wet fixation in conventional body fluid cytology - An 18-year experience.常规体液细胞学湿固定前的补液——18年经验
Cytopathology. 2018 Apr;29(2):179-183. doi: 10.1111/cyt.12524.
8
Merits and pitfalls of normal saline rehydrated air-dried cervical smears over conventional wet.fixed PAP smears: A comparative study.生理盐水润湿性干燥宫颈涂片与传统湿固定巴氏涂片的优缺点比较:一项对照研究。
Indian J Pathol Microbiol. 2022 Jan-Mar;65(1):100-104. doi: 10.4103/IJPM.IJPM_1214_20.
9
Honey as a Cytological Fixative: A Comparative Study With 95% Alcohol.蜂蜜作为一种细胞固定剂:与95%酒精的比较研究。
Cureus. 2022 Aug 18;14(8):e28149. doi: 10.7759/cureus.28149. eCollection 2022 Aug.
10
Comparison of Carnoy's solution and 96% ethyl alcohol fixation in bloody Pap smears.卡诺氏固定液与96%乙醇用于血性巴氏涂片固定的比较
Acta Cytol. 2008 Mar-Apr;52(2):187-90. doi: 10.1159/000325477.

本文引用的文献

1
Collection and processing of effusion fluids for cytopathologic evaluation.用于细胞病理学评估的积液采集与处理
Cytojournal. 2022 Jan 31;19:5. doi: 10.25259/CMAS_02_14_2021. eCollection 2022.
2
Immunocytochemistry of effusions: Processing and commonly used immunomarkers.积液的免疫细胞化学:处理方法及常用免疫标志物
Cytojournal. 2022 Jan 31;19:6. doi: 10.25259/CMAS_02_15_2021. eCollection 2022.
3
Approach to Diagnostic Cytopathology of Serous Effusions.浆液性积液的诊断细胞病理学方法
Cytojournal. 2021 Dec 6;18:32. doi: 10.25259/CMAS_02_03_2021. eCollection 2021.
4
Comparative study of processing of haemorrhagic body fluids by using different techniques.使用不同技术处理出血性体液的比较研究。
J Clin Diagn Res. 2013 Oct;7(10):2186-8. doi: 10.7860/JCDR/2013/5589.3466. Epub 2013 Oct 5.
5
Cytologic examination of hemorrhagic fluid by capillary centrifugation: a new technique.通过毛细管离心法对出血性液体进行细胞学检查:一种新技术。
Acta Cytol. 2009 Sep-Oct;53(5):527-32. doi: 10.1159/000325380.
6
Comparison of Carnoy's solution and 96% ethyl alcohol fixation in bloody Pap smears.卡诺氏固定液与96%乙醇用于血性巴氏涂片固定的比较
Acta Cytol. 2008 Mar-Apr;52(2):187-90. doi: 10.1159/000325477.
7
Cell block alone as an ideal preparatory method for hemorrhagic thyroid nodule aspirates procured without onsite cytologists.对于在没有现场细胞病理学家的情况下获取的出血性甲状腺结节抽吸物,单独使用细胞块作为一种理想的制备方法。
Acta Cytol. 2008 Mar-Apr;52(2):139-44. doi: 10.1159/000325471.
8
Haemorrhagic cytology samples - how to get the best diagnostic results.出血性细胞学样本——如何获得最佳诊断结果。
Cytopathology. 2007 Jun;18(3):175-9. doi: 10.1111/j.1365-2303.2006.00435.x. Epub 2007 Mar 27.
9
Cytomorphologic comparison between rehydrated air-dried and conventional wet-fixed pap smears.复水风干涂片与传统湿固定巴氏涂片的细胞形态学比较。
J Med Assoc Thai. 2006 Nov;89(11):1811-6.
10
Rehydration of air-dried cervical smears: a feasible alternative to conventional wet fixation.空气干燥宫颈涂片的复水:传统湿固定的可行替代方法。
Obstet Gynecol. 2003 Oct;102(4):761-4. doi: 10.1016/s0029-7844(03)00771-3.