Suppr超能文献

向绝经大鼠卵巢内注射骨髓来源的c-Kit细胞以实现卵巢年轻化

Intra-ovarian injection of bone marrow-derived c-Kit cells for ovarian rejuvenation in menopausal rats.

作者信息

Sheshpari Sepideh, Shahnazi Mahnaz, Ahmadian Shahin, Nouri Mohammad, Mesgari Abbasi Mehran, Beheshti Rahim, Rahbarghazi Reza, Honaramooz Ali, Mahdipour Mahdi

机构信息

Department of Midwifery, Faculty of Nursing and Midwifery, Tabriz University of Medical Sciences, Tabriz, Iran.

Department of Biology, Faculty of Science, Azerbaijan Shahid Madani University, Tabriz, Iran.

出版信息

Bioimpacts. 2022;12(4):325-335. doi: 10.34172/bi.2021.23499. Epub 2021 Sep 25.

Abstract

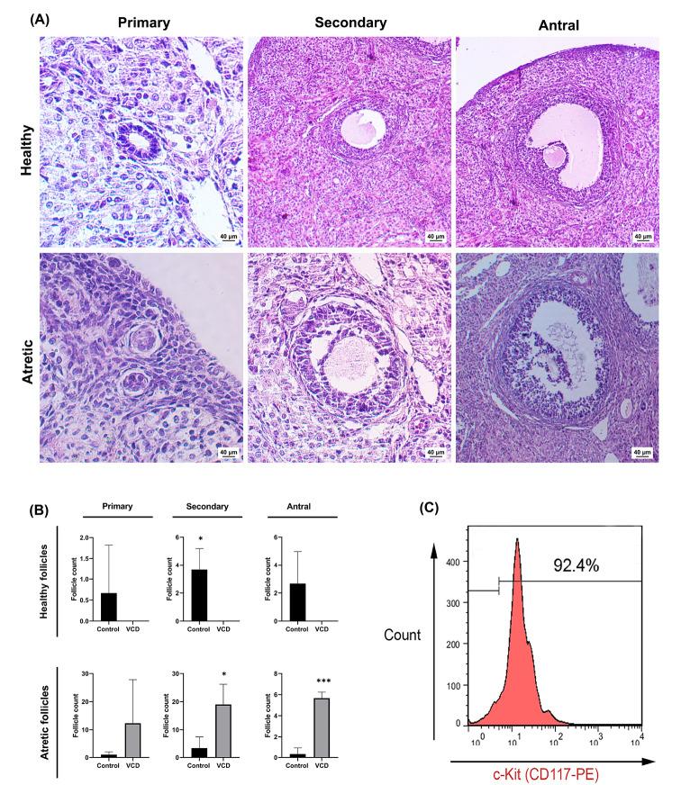
Cell-based therapies with certain cell types are touted as novel and hopeful therapeutic intervention in the clinical setting. Here, we aimed to assess the regenerative potential of c-Kit cells in the rejuvenation of ovarian tissue and fertility rate in rat model of premature ovarian failure (POF). Rats were treated with 160 mg/kg/BW of 4-vinylcyclohexene dioxide for 15 days. Freshly enriched rat bone marrow-derived c-Kit (MACS) and c-Kit cells (4×10 cells/10 µL) were transplanted into the ovaries of treatment and control animals. Prior to transplantation as well as 2, 4, 6, and 8 weeks post-transplantation, randomly-selected rats were euthanized and ovarian tissues were subjected to pathophysiological examinations and real-time PCR analyses. POF status was confirmed by the presence of pathological features and a decreased number of immature and mature follicles compared with the control group (< 0.05). Histological examination revealed a substantial reduction of atretic follicles in POF rats receiving c-Kit cells in comparison with POF rats that did not receive these cells (< 0.05). Compared with the control samples, angiogenesis-related genes, and , showed increased and decreased expressions in POF ovaries, respectively (< 0.05). c-Kit cells had potential to restore angiogenesis in the ovarian tissue within normal ranges. Systemic levels of FSH did not significantly change in pre- or post-transplantation time points for any group (> 0.05). Notable reduction of collagen deposition was found in c-Kit-treated rats. Transplantation of c-Kit cells also restored the reduced fertility rate (< 0.05). The administration of c-Kit cells can modulate angiogenesis and pathological changes, leading to the rejuvenation of ovarian function of a rat model of premature menopause.

摘要

某些细胞类型的细胞疗法在临床环境中被吹捧为新颖且有希望的治疗干预手段。在此,我们旨在评估c-Kit细胞在卵巢早衰(POF)大鼠模型中对卵巢组织年轻化和生育率的再生潜力。大鼠用160mg/kg体重的二氧化乙烯基环己烯处理15天。将新鲜富集的大鼠骨髓来源的c-Kit(磁珠分选法)细胞和c-Kit细胞(4×10个细胞/10微升)移植到治疗组和对照组动物的卵巢中。在移植前以及移植后2、4、6和8周,随机选择大鼠实施安乐死,并对卵巢组织进行病理生理学检查和实时聚合酶链反应分析。与对照组相比,POF状态通过病理特征的存在以及未成熟和成熟卵泡数量的减少得以证实(<0.05)。组织学检查显示,与未接受这些细胞的POF大鼠相比,接受c-Kit细胞的POF大鼠中闭锁卵泡数量大幅减少(<0.05)。与对照样本相比,血管生成相关基因,和,在POF卵巢中的表达分别增加和减少(<0.05)。c-Kit细胞有潜力将卵巢组织中的血管生成恢复到正常范围内。任何组在移植前或移植后的时间点,促卵泡生成素的全身水平均未发生显著变化(>0.05)。在接受c-Kit治疗的大鼠中发现胶原沉积显著减少。c-Kit细胞的移植也恢复了降低的生育率(<0.05)。c-Kit细胞的给药可调节血管生成和病理变化,从而使过早绝经大鼠模型的卵巢功能恢复活力。

https://cdn.ncbi.nlm.nih.gov/pmc/blobs/bfb9/9376162/8be30806bcec/bi-12-325-g001.jpg

文献检索

告别复杂PubMed语法,用中文像聊天一样搜索,搜遍4000万医学文献。AI智能推荐,让科研检索更轻松。

立即免费搜索

文件翻译

保留排版,准确专业,支持PDF/Word/PPT等文件格式,支持 12+语言互译。

免费翻译文档

深度研究

AI帮你快速写综述,25分钟生成高质量综述,智能提取关键信息,辅助科研写作。

立即免费体验