Suppr超能文献

六种唇形科民间药用植物精油的化学成分及生物活性

Chemical composition and biological activities of essential oils from six lamiaceae folk medicinal plants.

作者信息

Sun Jiahui, Sun Peipei, Kang Chuanzhi, Zhang Lanyue, Guo Lanping, Kou Yaping

机构信息

National Resources Center for Chinese Materia Medica, China Academy of Chinese Medical Sciences, Beijing, China.

Institute of Food Science and Technology, Chinese Academy of Agriculture Sciences, Beijing, China.

出版信息

Front Plant Sci. 2022 Aug 1;13:919294. doi: 10.3389/fpls.2022.919294. eCollection 2022.

Abstract

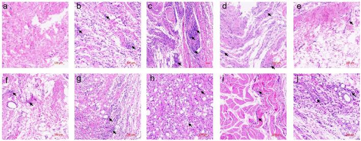
Essential oils have attracted wide attention in recent years due to their extensive applications in natural functional ingredients, pharmaceutical preparations, biomedical products, and the cosmetics industry. In this study, the chemical compositions and biological activities of essential oils extracted from six Lamiaceae herbs, including (Blanco) Benth. (PCEO), (L.) Britton (PFEO), Thunb. (SJEO), L. (ROEO), Mill. (LAEO), and (Fisch. & C. A. Mey.) Kuntze (AREO), were determined and analyzed. A total of 167 components were identified from the six essential oils by GC-MS analysis, with 35, 24, 47, 46, 54, and 37 components in PCEO, PFEO, SJEO, ROEO, LAEO, and AREO, respectively. Hierarchical cluster analysis of chemical compositions showed that the composition of the six essential oils was significantly different in content, and they were clearly divided into six classes. However, all of these six essential oils exhibited promising anti-inflammatory activity by inhibiting the expression of interleukin-1, interleukin-6, tumor necrosis factor-α, and cyclooxygenase-2 in rats with adjuvant arthritis, among which PFEO had the best performance. In addition, the six essential oils displayed significant cytotoxicity on B16 (IC = 86.91-228.91 μg/mL) and LNCaP cell lines (IC = 116.4-189.63 μg/mL). Meanwhile, all of them presented satisfactory antioxidant activity (IC = 4.88-13.89 μg/mL) compared with Trolox C (IC = 13.83 μg/mL), and SJEO (IC = 7.93 μg/mL) served as an optimal candidate natural antioxidant by DPPH assay. Taken together, these results indicate that the six Lamiaceae essential oils manifest excellent and diverse biological activities, enabling them to be used as perfect natural functional ingredients in antioxidant, antitumor, or anti-arthritic drugs. This study provides more references for pharmaphylogeny research and drug discovery from folk medicinal plants.

摘要

近年来,精油因其在天然功能成分、药物制剂、生物医学产品及化妆品行业中的广泛应用而备受关注。在本研究中,对从六种唇形科草本植物中提取的精油的化学成分和生物活性进行了测定与分析,这六种植物分别是:(布兰科)本特(PCEO)、(L.)布里顿(PFEO)、(图恩布尔)(SJEO)、(L.)(ROEO)、(米尔)(LAEO)以及(费希 & C. A. 迈耶)昆茨(AREO)。通过气相色谱 - 质谱联用(GC - MS)分析从这六种精油中总共鉴定出167种成分,其中PCEO、PFEO、SJEO、ROEO、LAEO和AREO分别含有35、24、47、46、54和37种成分。化学成分的层次聚类分析表明,这六种精油的成分在含量上有显著差异,它们被清晰地分为六类。然而,所有这六种精油通过抑制佐剂性关节炎大鼠中白细胞介素 - 1、白细胞介素 - 6、肿瘤坏死因子 - α和环氧化酶 - 2的表达均表现出有前景的抗炎活性,其中PFEO表现最佳。此外,这六种精油对B16细胞系(IC = 86.91 - 228.91 μg/mL)和LNCaP细胞系(IC = 116.4 - 189.63 μg/mL)显示出显著的细胞毒性。同时,与特罗洛克斯C(IC = 13.83 μg/mL)相比,它们均表现出令人满意的抗氧化活性(IC = 4.88 - 13.89 μg/mL),并且通过DPPH测定法,SJEO(IC = 7.93 μg/mL)是最佳的天然抗氧化剂候选物。综上所述,这些结果表明这六种唇形科精油具有优异且多样的生物活性,使其能够用作抗氧化、抗肿瘤或抗关节炎药物中理想的天然功能成分。本研究为药用植物系统发育研究和从民间药用植物中发现药物提供了更多参考。

https://cdn.ncbi.nlm.nih.gov/pmc/blobs/9552/9376358/4b032176eefb/fpls-13-919294-g0001.jpg

文献检索

告别复杂PubMed语法,用中文像聊天一样搜索,搜遍4000万医学文献。AI智能推荐,让科研检索更轻松。

立即免费搜索

文件翻译

保留排版,准确专业,支持PDF/Word/PPT等文件格式,支持 12+语言互译。

免费翻译文档

深度研究

AI帮你快速写综述,25分钟生成高质量综述,智能提取关键信息,辅助科研写作。

立即免费体验