Suppr超能文献

结核性缩窄性心包炎合并大量心包积液和气胸:一例罕见病例报告

Pneumopericardium with massive pericardial effusion in the setting of tuberculosis constrictive pericarditis: a rare case report.

作者信息

Ahmed Said Abdirahman, Mohamud Mohamed Abdullah, Özkurt Yalçın, Abdi Ishak Ahmed, Hassan Mohamed Omar

机构信息

Cardiology Department, Mogadishu Somali-Turkish Training and Research Hospital, Mogadishu, Somalia.

出版信息

J Surg Case Rep. 2022 Aug 21;2022(8):rjac380. doi: 10.1093/jscr/rjac380. eCollection 2022 Aug.

Abstract

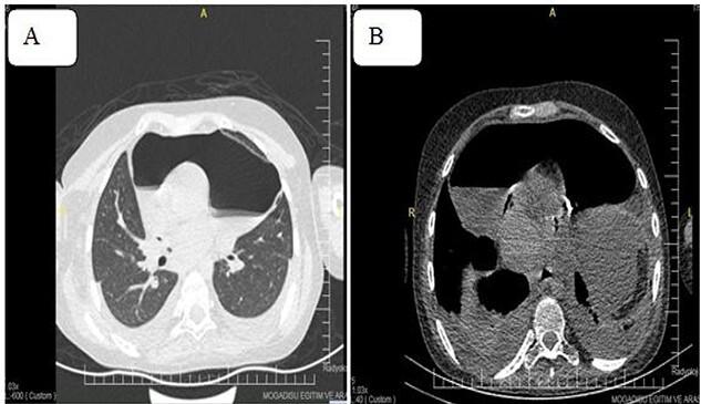
Constrictive pericarditis is an uncommon complication of acute pericarditis, mainly caused by non-idiopathic sources. Pneumopericardium is the presence of air in the pericardial sac resulting from various procedures and circumstances, including trauma, iatrogenic, non-iatrogenic and natural causes. Here, we report a 16-year-old girl who came to the cardiology outpatient complaining of weakness, abdominal distention and shortness of breath while lying down and exertion. An echocardiography evaluation revealed a thickened precordium and massive pericardial effusion. Pericardiocentesis was performed for diagnosis and treatment purposes. Despite the patient's remaining symptomatic and having no improvement following the procedure, we decided to perform chest computed tomography, which revealed a thickened pericardium with pneumopericardium. Partial pericardiectomy was performed successfully, and the sample was sent to the pathology department, which confirmed tuberculous constrictive pericarditis. The patient's symptoms improved, and she was discharged on postoperative Day 5 standing on her foot.

摘要

缩窄性心包炎是急性心包炎的一种罕见并发症,主要由非特发性病因引起。心包积气是指心包腔内存在气体,其由各种操作及情况导致,包括创伤、医源性、非医源性及自然原因。在此,我们报告一名16岁女孩,她因平卧及活动时出现乏力、腹胀和气短而前来心脏科门诊就诊。超声心动图评估显示心前区增厚及大量心包积液。为诊断和治疗目的进行了心包穿刺术。尽管患者术后仍有症状且无改善,但我们决定进行胸部计算机断层扫描,结果显示心包增厚并伴有心包积气。成功实施了部分心包切除术,样本被送至病理科,病理结果证实为结核性缩窄性心包炎。患者症状改善,术后第5天自行出院。

https://cdn.ncbi.nlm.nih.gov/pmc/blobs/d4e8/9393189/8f46f57970f9/rjac380f1.jpg

相似文献

1
Pneumopericardium with massive pericardial effusion in the setting of tuberculosis constrictive pericarditis: a rare case report.
J Surg Case Rep. 2022 Aug 21;2022(8):rjac380. doi: 10.1093/jscr/rjac380. eCollection 2022 Aug.
2
A Rare Case of Pneumopericardium in the Setting of Tuberculous Constrictive Pericarditis.
Case Rep Cardiol. 2017;2017:4257452. doi: 10.1155/2017/4257452. Epub 2017 May 28.
3
Transitory effusive-constrictive pericarditis.
Am J Emerg Med. 2018 Mar;36(3):524.e1-524.e6. doi: 10.1016/j.ajem.2017.11.047. Epub 2017 Nov 21.
5
Effusive-constrictive pericarditis secondary to pneumopericardium associated with gastropericardial fistula.
ESC Heart Fail. 2021 Feb;8(1):778-781. doi: 10.1002/ehf2.13135. Epub 2020 Dec 10.
6
A 15-year-old girl with pericardial tuberculosis complicated by cardiac tamponade: A case report in Somalia.
Ann Med Surg (Lond). 2022 Jul 31;80:104252. doi: 10.1016/j.amsu.2022.104252. eCollection 2022 Aug.
7
A rare cause of effusive-constrictive pericarditis.
ESC Heart Fail. 2021 Oct;8(5):4313-4317. doi: 10.1002/ehf2.13470. Epub 2021 Jun 26.
8
[Pneumopericardium after pericardiocentesis: a case report].
Turk Kardiyol Dern Ars. 2011 Dec;39(8):697-700. doi: 10.5543/tkda.2011.01699.
9
Isolated primary chylopericardium: A rare case report and literature review.
Int J Surg Case Rep. 2022 Nov;100:107764. doi: 10.1016/j.ijscr.2022.107764. Epub 2022 Oct 22.

本文引用的文献

1
Complicated Iatrogenic Pneumopericardium in a Patient With Suspected Multiple Myeloma.
Cureus. 2022 Apr 25;14(4):e24483. doi: 10.7759/cureus.24483. eCollection 2022 Apr.
2
Subacute Polymicrobial Bacterial Pericarditis Mimicking Tuberculous Pericarditis: A Case Report.
Am J Case Rep. 2021 Nov 16;22:e933684. doi: 10.12659/AJCR.933684.
3
A Rare Case of Pneumopericardium in the Setting of Tuberculous Constrictive Pericarditis.
Case Rep Cardiol. 2017;2017:4257452. doi: 10.1155/2017/4257452. Epub 2017 May 28.
4
Echocardiographic diagnosis of constrictive pericarditis: Mayo Clinic criteria.
Circ Cardiovasc Imaging. 2014 May;7(3):526-34. doi: 10.1161/CIRCIMAGING.113.001613. Epub 2014 Mar 14.
5
Management of a pneumopericardium due to penetrating trauma.
Injury. 2014 Sep;45(9):1368-72. doi: 10.1016/j.injury.2014.02.017. Epub 2014 Feb 20.
6
Pneumopericardium as a complication of pericardiocentesis.
Korean Circ J. 2011 May;41(5):280-2. doi: 10.4070/kcj.2011.41.5.280. Epub 2011 May 31.
7
Aetiological diagnosis in acute and recurrent pericarditis: when and how.
J Cardiovasc Med (Hagerstown). 2009 Mar;10(3):217-30. doi: 10.2459/JCM.0b013e328322f9b1.
9
Constrictive pericarditis: clinical and pathophysiologic characteristics.
Am Heart J. 1999 Aug;138(2 Pt 1):219-32. doi: 10.1016/s0002-8703(99)70105-5.

文献AI研究员

20分钟写一篇综述,助力文献阅读效率提升50倍。

立即体验

用中文搜PubMed

大模型驱动的PubMed中文搜索引擎

马上搜索

文档翻译

学术文献翻译模型,支持多种主流文档格式。

立即体验