Zhang Quanwei, Bai Xu, Shi Jun, Wang Xueying, Zhang Bohao, Dai Lijun, Lin Ting, Gao Yuan, Zhang Yong, Zhao Xingxu
College of Veterinary Medicine, Gansu Agriculture University, Lanzhou, China.
College of Life Science and Technology, Gansu Agriculture University, Lanzhou, China.
Front Vet Sci. 2022 Aug 8;9:980963. doi: 10.3389/fvets.2022.980963. eCollection 2022.
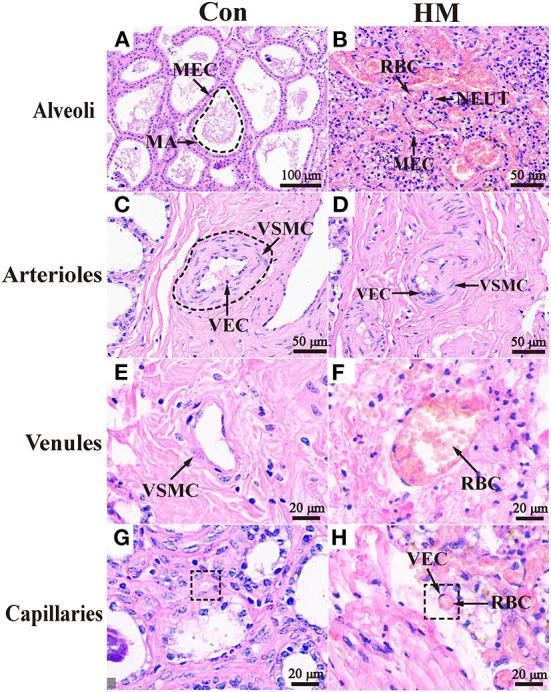
Hemorrhagic mastitis (HM) in dairy cows caused great economic losses in the dairy industry due to decreased milk production and increased costs associated with cattle management and treatment. However, the pathological and molecular mechanisms of HM are not well-understood. The present study aimed to investigate differentially expressed proteins (DEPs) associated with HM according to data-independent acquisition (DIA) proteomics. Compared to the mammary glands of healthylactating Holstein cows (Control, C group), the pathology of the HM group displayed massive alveolar infiltration of hemocytes and neutrophils, and the blood vessels, including arteriole, venules and capillaries were incomplete and damaged, with a loss of endothelial cells. DIA proteomics results showed that a total of 3,739 DEPs and 819 biological process terms were screened in the HM group. We focused on the blood, permeability of blood vessel, vascular and angiogenesis of mammary glands, and a total of 99 candidate DEPs, including 60 up- and 39 down-regulated DEPs, were obtained from the Gene Ontology (GO) and Pathway enrichment analyses. Phenotype prediction and function analysis of the DEPs revealed that three DEPs, particularly Caveolin-1(CAV1), were participated in the regulation of angiogenesis. Immunohistochemical and immunofluorescence staining showed that the CAV1 protein was present mainly in the mammary epithelial cells, vascular endothelial cells and vascular smooth muscle cells. The expression level of mRNA and protein in the HM group was significantly down-regulated. The results will be helpful to the further understanding of the pathological and molecular mechanisms of HM in dairy cows.
奶牛出血性乳腺炎(HM)由于产奶量下降以及与奶牛管理和治疗相关的成本增加,给乳制品行业造成了巨大的经济损失。然而,HM的病理和分子机制尚未完全明确。本研究旨在根据数据非依赖采集(DIA)蛋白质组学研究与HM相关的差异表达蛋白(DEP)。与健康泌乳的荷斯坦奶牛(对照组,C组)的乳腺相比,HM组的病理学表现为血细胞和中性粒细胞大量浸润肺泡,包括小动脉、小静脉和毛细血管在内的血管不完整且受损,内皮细胞缺失。DIA蛋白质组学结果显示,HM组共筛选出3739个DEP和819个生物学过程术语。我们聚焦于血液、血管通透性、乳腺的血管生成和血管新生,通过基因本体(GO)和通路富集分析共获得99个候选DEP,其中包括60个上调和39个下调的DEP。对这些DEP的表型预测和功能分析表明,有3个DEP,特别是小窝蛋白-1(CAV1)参与了血管生成的调控。免疫组织化学和免疫荧光染色显示,CAV1蛋白主要存在于乳腺上皮细胞、血管内皮细胞和血管平滑肌细胞中。HM组中mRNA和蛋白的表达水平显著下调。这些结果将有助于进一步了解奶牛HM的病理和分子机制。