Suppr超能文献

前庭神经鞘瘤手术后的单纯疱疹性脑膜炎:病例说明

Herpes simplex meningitis after vestibular schwannoma surgery: illustrative case.

作者信息

Trakolis Leonidas, Naros Georgios, Vougioukas Vassilios, Tatagiba Marcos

机构信息

Department of Neurosurgery, Eberhardt Karls University, Tuebingen, Germany; and.

Department of Neurosurgery, Athens Medical Center, Athens, Greece.

出版信息

J Neurosurg Case Lessons. 2021 Feb 8;1(6):CASE20146. doi: 10.3171/CASE20146.

Abstract

BACKGROUND

Herpes is the most common cause of viral encephalitis in the young population. Herpes meningitis following brain surgery is very rare, however. Only a few cases are reported in the literature, and only one concerned an infection after vestibular schwannoma surgery.

OBSERVATIONS

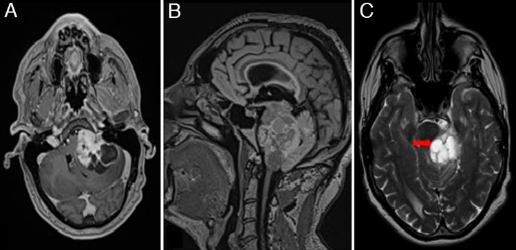
The authors report a case of a 44-year-old patient who developed severe herpes meningitis a few days after removal of a large cystic vestibular schwannoma.

LESSONS

Herpes simplex virus meningitis following a posterior fossa surgery must be considered when patients develop atypical symptoms a few days after surgery.

摘要

背景

疱疹是年轻人群病毒性脑炎最常见的病因。然而,脑手术后发生疱疹性脑膜炎非常罕见。文献中仅报道了少数病例,且仅有一例涉及前庭神经鞘瘤手术后的感染。

观察结果

作者报告了一例44岁患者,该患者在切除一个大型囊性前庭神经鞘瘤几天后发生了严重的疱疹性脑膜炎。

经验教训

当患者在手术后几天出现非典型症状时,必须考虑后颅窝手术后发生单纯疱疹病毒脑膜炎的情况。

https://cdn.ncbi.nlm.nih.gov/pmc/blobs/02ea/9394175/4d312c5c87c5/CASE20146f1.jpg

文献检索

告别复杂PubMed语法,用中文像聊天一样搜索,搜遍4000万医学文献。AI智能推荐,让科研检索更轻松。

立即免费搜索

文件翻译

保留排版,准确专业,支持PDF/Word/PPT等文件格式,支持 12+语言互译。

免费翻译文档

深度研究

AI帮你快速写综述,25分钟生成高质量综述,智能提取关键信息,辅助科研写作。

立即免费体验