Suppr超能文献

黄曲霉毒素生物合成的调控:评估细胞能量状态作为黄曲霉毒素产生诱导调节因子的作用。

Regulation of aflatoxin biosynthesis: assessment of the role of cellular energy status as a regulator of the induction of aflatoxin production.

作者信息

Buchanan R L, Jones S B, Gerasimowicz W V, Zaika L L, Stahl H G, Ocker L A

出版信息

Appl Environ Microbiol. 1987 Jun;53(6):1224-31. doi: 10.1128/aem.53.6.1224-1231.1987.

Abstract

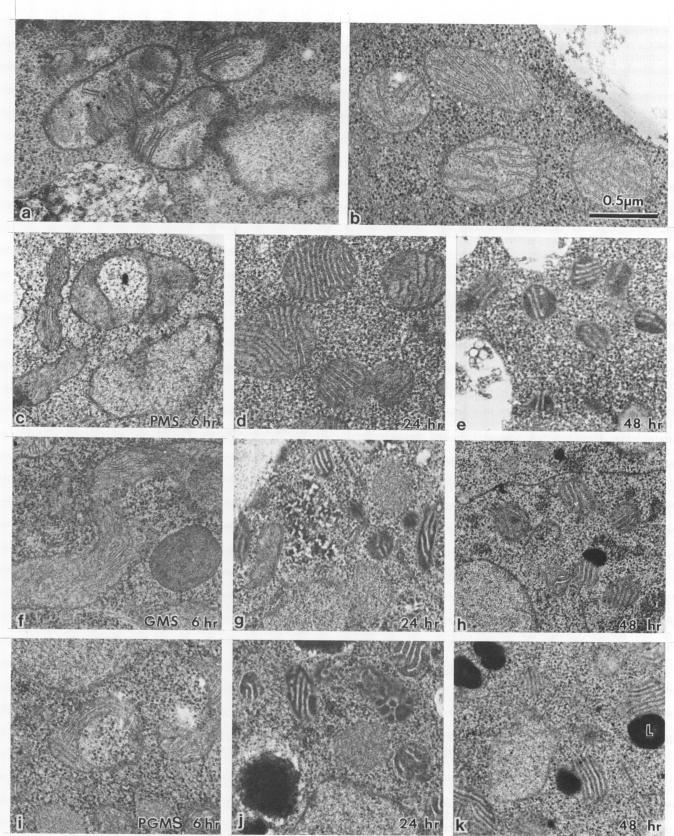
Possible relationships among cellular energy status and the induction and initiation of aflatoxin synthesis were studied by using replacement culture techniques in conjunction with aflatoxin-supporting and-nonsupporting media. Transcription and translation processes associated with the induction of aflatoxin synthesis occurred 3 to 6 and 6 to 10 h, respectively, after mycelia were transferred to glucose-containing media. From adenylate energy charge determinations and in situ 31P nuclear magnetic resonance analyses, a relationship between overall energy status and the induction or initiation of aflatoxin synthesis could not be identified; however, electron microscopic evaluations indicated that aflatoxin synthesis occurred in association with a glucose-mediated inactivation of mitochondria. The results suggest that aflatoxin synthesis is not regulated by the overall energy status of the fungal cell but may be controlled by the energy status of specific subcellular compartments.

摘要

利用置换培养技术,结合支持和不支持黄曲霉毒素合成的培养基,研究了细胞能量状态与黄曲霉毒素合成的诱导及起始之间可能存在的关系。将菌丝体转移到含葡萄糖的培养基后,与黄曲霉毒素合成诱导相关的转录和翻译过程分别在3至6小时和6至10小时发生。从腺苷酸能量电荷测定和原位31P核磁共振分析中,无法确定整体能量状态与黄曲霉毒素合成的诱导或起始之间的关系;然而,电子显微镜评估表明,黄曲霉毒素合成与葡萄糖介导的线粒体失活有关。结果表明,黄曲霉毒素合成不受真菌细胞整体能量状态的调节,而是可能受特定亚细胞区室的能量状态控制。

https://cdn.ncbi.nlm.nih.gov/pmc/blobs/1b01/203845/2643e049accd/aem00123-0033-a.jpg

文献检索

告别复杂PubMed语法,用中文像聊天一样搜索,搜遍4000万医学文献。AI智能推荐,让科研检索更轻松。

立即免费搜索

文件翻译

保留排版,准确专业,支持PDF/Word/PPT等文件格式,支持 12+语言互译。

免费翻译文档

深度研究

AI帮你快速写综述,25分钟生成高质量综述,智能提取关键信息,辅助科研写作。

立即免费体验