Suppr超能文献

小汗腺汗孔瘤位于第二趾。

Eccrine poroma localized in the second toe.

作者信息

Mohamed Ayadi Malek, Mohamed Ben Jemaa, Rania Krichen, Montassar Ghalleb

机构信息

Department of Surgery, HR Mahres Sfax Faculty of Medicine of Sfax, Tunisia.

Department of Orthopedics, CHU Habib Bourguiba Sfax Faculty of Medicine of Sfax, Tunisia.

出版信息

Radiol Case Rep. 2022 Aug 28;17(11):4108-4110. doi: 10.1016/j.radcr.2022.07.076. eCollection 2022 Nov.

Abstract

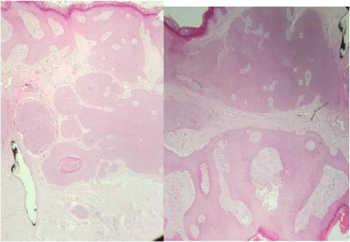
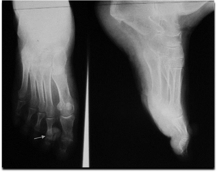
Eccrine poroma is a rare adult benign adnexal tumor that originates in the excretory pore of the sweat gland. It is a small reddish lesion, protuberant, fleshy, and well-defined. It is located preferably in the palms of the hands and the soles of the feet [1]. Nevertheless, it may be found on any skin part of the body's surface [2]. We report a case of eccrine poroma of relatively rare localization on the second toe of the left foot. The biopsy confirmed the diagnosis by objectifying the histological lesions corresponding with the poroma. The article aims to report an eccrine poroma located in an unusual location, surgical treatment, and follow-up.

摘要

小汗腺汗孔瘤是一种罕见的成人良性附属器肿瘤,起源于汗腺的排泄孔。它是一种小的微红病变,突出、肉质且边界清晰。它最好位于手掌和脚底[1]。然而,它也可能出现在身体表面的任何皮肤部位[2]。我们报告一例位于左脚第二趾的相对罕见部位的小汗腺汗孔瘤病例。活检通过确认与汗孔瘤相符的组织学病变来确诊。本文旨在报告一例位于不寻常部位的小汗腺汗孔瘤、手术治疗及随访情况。

https://cdn.ncbi.nlm.nih.gov/pmc/blobs/1211/9439959/185c97515dae/gr1.jpg

文献检索

告别复杂PubMed语法,用中文像聊天一样搜索,搜遍4000万医学文献。AI智能推荐,让科研检索更轻松。

立即免费搜索

文件翻译

保留排版,准确专业,支持PDF/Word/PPT等文件格式,支持 12+语言互译。

免费翻译文档

深度研究

AI帮你快速写综述,25分钟生成高质量综述,智能提取关键信息,辅助科研写作。

立即免费体验