Suppr超能文献

大豆异黄酮在预防大鼠睾丸衰老变化中的作用:生化与组织学研究

Role of soy isoflavone in preventing aging changes in rat testis: Biochemical and histological studies.

作者信息

Al-Shaikh Turki M

机构信息

Department of Biology, College of Science and Arts at Khulis, University of Jeddah, Jeddah, Saudi Arabia.

出版信息

Saudi J Biol Sci. 2022 Oct;29(10):103423. doi: 10.1016/j.sjbs.2022.103423. Epub 2022 Aug 18.

Abstract

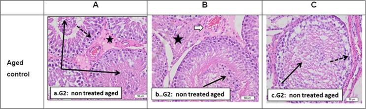
Testicular function and structure harmed by ageing. Goal of this research was to assess preventive actions of soy isoflavone oral administration for 8 weeks on testes of old male albino rats, and potential mechanisms of action. Adult control ( = 10) and elderly control ( = 10) rats were fed usual diet, while aged treatment group ( = 10) gave oral 100 mg/kg soy isoflavone daily for 8 weeks. ELISA kits were used to measure testosterone levels and oxidative stress indicators [malonaldehyde (MDA), glutathione (GSH), and superoxide dismutase (SOD)] in serum. Aging produced functional and structural testicular changes and decreased ki67 proliferative marker immunoexpression versus adult control rats due to enhancement of oxidative stress. Soy isoflavone exerted protective effect on testicular function and structure as assessed by increase serum levels of testosterone and preserved histological structure and immune-expression features. These protected effects due to isoflavone antioxidant properties proved by decrease in serum values of MDA, while GSH and SOD were elevated after treatment. These data demonstrated protective effects of isoflavone against age changes in rat testes, by reducing oxidative stress and increasing antioxidants and testicular ki67 proliferative marker immunoexpression.

摘要

衰老会损害睾丸功能和结构。本研究的目的是评估连续8周口服大豆异黄酮对老年雄性白化大鼠睾丸的预防作用及其潜在作用机制。成年对照组(n = 10)和老年对照组(n = 10)大鼠喂食常规饮食,而老年治疗组(n = 10)每天口服100 mg/kg大豆异黄酮,持续8周。使用酶联免疫吸附测定试剂盒测量血清中的睾酮水平和氧化应激指标[丙二醛(MDA)、谷胱甘肽(GSH)和超氧化物歧化酶(SOD)]。与成年对照大鼠相比,衰老导致睾丸功能和结构发生变化,并且由于氧化应激增强,ki67增殖标志物免疫表达降低。通过提高血清睾酮水平以及保留组织结构和免疫表达特征评估,大豆异黄酮对睾丸功能和结构具有保护作用。异黄酮的抗氧化特性通过降低血清MDA值得以证明,而治疗后GSH和SOD升高,从而产生了这些保护作用。这些数据表明,异黄酮通过降低氧化应激、增加抗氧化剂以及提高睾丸ki67增殖标志物免疫表达,对大鼠睾丸的衰老变化具有保护作用。

https://cdn.ncbi.nlm.nih.gov/pmc/blobs/699b/9442360/b7b845440160/gr1.jpg

文献检索

告别复杂PubMed语法,用中文像聊天一样搜索,搜遍4000万医学文献。AI智能推荐,让科研检索更轻松。

立即免费搜索

文件翻译

保留排版,准确专业,支持PDF/Word/PPT等文件格式,支持 12+语言互译。

免费翻译文档

深度研究

AI帮你快速写综述,25分钟生成高质量综述,智能提取关键信息,辅助科研写作。

立即免费体验