• 文献检索
  • 文档翻译
  • 深度研究
  • 学术资讯
  • Suppr Zotero 插件Zotero 插件
  • 邀请有礼
  • 套餐&价格
  • 历史记录
应用&插件
Suppr Zotero 插件Zotero 插件浏览器插件Mac 客户端Windows 客户端微信小程序
定价
高级版会员购买积分包购买API积分包
服务
文献检索文档翻译深度研究API 文档MCP 服务
关于我们
关于 Suppr公司介绍联系我们用户协议隐私条款
关注我们

Suppr 超能文献

核心技术专利:CN118964589B侵权必究
粤ICP备2023148730 号-1Suppr @ 2026

文献检索

告别复杂PubMed语法,用中文像聊天一样搜索,搜遍4000万医学文献。AI智能推荐,让科研检索更轻松。

立即免费搜索

文件翻译

保留排版,准确专业,支持PDF/Word/PPT等文件格式,支持 12+语言互译。

免费翻译文档

深度研究

AI帮你快速写综述,25分钟生成高质量综述,智能提取关键信息,辅助科研写作。

立即免费体验

转移性乳头状甲状腺癌至小脑,伴偶然发现的髓样微小癌。

Metastatic papillary thyroid cancer to cerebellum with incidental medullary microcarcinoma.

作者信息

Wang Mawson, Samra Spinder, Chou Shaun, Howle Julie, Gild Matti L, Girgis Christian Meena

机构信息

Department of Endocrinology and Diabetes Westmead Hospital Westmead New South Wales Australia.

Westmead Clinical School, School of Medicine The University of Sydney Sydney New South Wales Australia.

出版信息

Clin Case Rep. 2022 Sep 2;10(9):e6207. doi: 10.1002/ccr3.6207. eCollection 2022 Sep.

DOI:10.1002/ccr3.6207
PMID:36093445
原文链接:https://pmc.ncbi.nlm.nih.gov/articles/PMC9440345/
Abstract

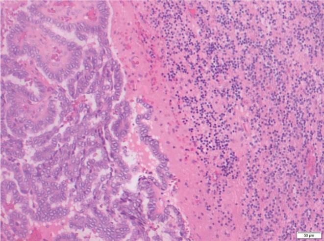
Thyroid cancer is the most common endocrine cancer, with papillary thyroid carcinoma (PTC) accounting for the majority of these cases. Cerebellar metastasis is rarely the presenting feature and confers poor prognosis. Genetic mutations in this setting are most commonly , in contrast to in the majority of PTC. We report the case of an 82 year-old male who presented with a symptomatic right cerebellar lesion and underwent surgical resection to demonstrate metastatic PTC. Extensive workup with computed tomography, neck ultrasound and FDG-PET was suggestive of a left thyroid primary lesion, with FNA confirming PTC. However, total thyroidectomy demonstrated incidental microMTC (medullary thyroid microcarcinoma, defined as tumour <10mm) without any evidence of PTC, whereas the left level VI neck dissection demonstrated a 30mm nodule of PTC without identifiable normal thyroid or lymph node tissue.

摘要

甲状腺癌是最常见的内分泌癌,其中甲状腺乳头状癌(PTC)占大多数病例。小脑转移很少是首发特征,且预后较差。与大多数PTC不同,这种情况下的基因突变最常见的是 。我们报告了一例82岁男性病例,该患者出现有症状的右侧小脑病变,并接受了手术切除,结果显示为转移性PTC。通过计算机断层扫描、颈部超声和氟脱氧葡萄糖正电子发射断层扫描进行的全面检查提示左侧甲状腺有原发性病变,细针穿刺活检证实为PTC。然而,甲状腺全切术显示意外发现微小髓样甲状腺癌(髓样甲状腺微癌,定义为肿瘤<10mm),未发现任何PTC证据,而左侧VI区颈部淋巴结清扫显示一个30mm的PTC结节,未发现正常甲状腺或淋巴结组织。

https://cdn.ncbi.nlm.nih.gov/pmc/blobs/ae4e/9440345/bca9a0b8c806/CCR3-10-e6207-g002.jpg
https://cdn.ncbi.nlm.nih.gov/pmc/blobs/ae4e/9440345/755906189278/CCR3-10-e6207-g003.jpg
https://cdn.ncbi.nlm.nih.gov/pmc/blobs/ae4e/9440345/5def5216bec4/CCR3-10-e6207-g005.jpg
https://cdn.ncbi.nlm.nih.gov/pmc/blobs/ae4e/9440345/649aa36a6f76/CCR3-10-e6207-g006.jpg
https://cdn.ncbi.nlm.nih.gov/pmc/blobs/ae4e/9440345/c524cf752468/CCR3-10-e6207-g001.jpg
https://cdn.ncbi.nlm.nih.gov/pmc/blobs/ae4e/9440345/bca9a0b8c806/CCR3-10-e6207-g002.jpg
https://cdn.ncbi.nlm.nih.gov/pmc/blobs/ae4e/9440345/755906189278/CCR3-10-e6207-g003.jpg
https://cdn.ncbi.nlm.nih.gov/pmc/blobs/ae4e/9440345/5def5216bec4/CCR3-10-e6207-g005.jpg
https://cdn.ncbi.nlm.nih.gov/pmc/blobs/ae4e/9440345/649aa36a6f76/CCR3-10-e6207-g006.jpg
https://cdn.ncbi.nlm.nih.gov/pmc/blobs/ae4e/9440345/c524cf752468/CCR3-10-e6207-g001.jpg
https://cdn.ncbi.nlm.nih.gov/pmc/blobs/ae4e/9440345/bca9a0b8c806/CCR3-10-e6207-g002.jpg

相似文献

1
Metastatic papillary thyroid cancer to cerebellum with incidental medullary microcarcinoma.转移性乳头状甲状腺癌至小脑,伴偶然发现的髓样微小癌。
Clin Case Rep. 2022 Sep 2;10(9):e6207. doi: 10.1002/ccr3.6207. eCollection 2022 Sep.
2
Robot-assisted Sistrunk's operation, total thyroidectomy, and neck dissection via a transaxillary and retroauricular (TARA) approach in papillary carcinoma arising in thyroglossal duct cyst and thyroid gland.经腋后(TARA)入路机器人辅助施行 Sistrunk 手术、甲状腺全切除术和颈淋巴结清扫术治疗甲状舌管囊肿和甲状腺起源的乳头状癌
Ann Surg Oncol. 2012 Dec;19(13):4259-61. doi: 10.1245/s10434-012-2674-y. Epub 2012 Oct 16.
3
Intermixed medullary and papillary thyroid cancer in a patient with renal cell carcinoma.一名肾细胞癌患者合并有髓样和乳头状甲状腺癌。
Endocrinol Diabetes Metab Case Rep. 2020 Jun 4;2020. doi: 10.1530/EDM-20-0025.
4
A thyroid gland with over 30 foci of papillary thyroid carcinoma with activating BRAF V600E mutation.一个甲状腺有超过30个伴有BRAF V600E激活突变的甲状腺乳头状癌病灶。
Endocrinol Diabetes Metab Case Rep. 2019 Mar 18;2019. doi: 10.1530/EDM-19-0006.
5
SIMULTANEOUS METASTASES OF PAPILLARY THYROID CARCINOMA AND NEUROENDOCRINE TUMOR OF THE CECUM TO CERVICAL LYMPH NODES: A CASE REPORT.甲状腺乳头癌和回盲部神经内分泌肿瘤同时转移至颈部淋巴结:一例报告。
Acta Clin Croat. 2023 Apr;62(1):230-233. doi: 10.20471/acc.2023.62.01.27.
6
Solitary hemorrhagic cerebellar metastasis from occult papillary thyroid microcarcinoma.隐匿性甲状腺微小乳头状癌孤立性出血性小脑转移瘤。
Thyroid. 2010 May;20(5):563-7. doi: 10.1089/thy.2010.0062.
7
Distant, solitary skeletal muscle metastasis in recurrent papillary thyroid carcinoma.复发性甲状腺乳头状癌远处孤立性骨骼肌转移。
Thyroid. 2011 Sep;21(9):1027-31. doi: 10.1089/thy.2010.0249. Epub 2011 Aug 11.
8
Multiple Simultaneous Rare Distant Metastases as the Initial Presentation of Papillary Thyroid Carcinoma: A Case Report.多发同时性罕见远处转移作为甲状腺乳头状癌的初始表现:一例报告
Front Endocrinol (Lausanne). 2019 Nov 8;10:759. doi: 10.3389/fendo.2019.00759. eCollection 2019.
9
Pancreatic metastasis arising from a BRAF(V600E)-positive papillary thyroid cancer: the role of endoscopic ultrasound-guided biopsy and response to sorafenib therapy.由 BRAF(V600E)阳性甲状腺乳头状癌引起的胰腺转移:内镜超声引导下活检的作用及索拉非尼治疗的反应。
Thyroid. 2012 May;22(5):536-41. doi: 10.1089/thy.2011.0247. Epub 2012 Mar 21.
10
Risk factors for central lymph node metastasis in patients with papillary thyroid carcinoma: a retrospective study.甲状腺乳头状癌中央区淋巴结转移的危险因素:一项回顾性研究。
Front Endocrinol (Lausanne). 2023 Nov 17;14:1288527. doi: 10.3389/fendo.2023.1288527. eCollection 2023.

本文引用的文献

1
Stereotactic Radiosurgery for Differentiated Thyroid Cancer Brain Metastases: An International, Multicenter Study.立体定向放射外科治疗分化型甲状腺癌脑转移:一项国际多中心研究。
Thyroid. 2021 Aug;31(8):1244-1252. doi: 10.1089/thy.2020.0947. Epub 2021 May 11.
2
Site-Specific Metastasis and Survival in Papillary Thyroid Cancer: The Importance of Brain and Multi-Organ Disease.甲状腺乳头状癌的特定部位转移与生存:脑转移和多器官疾病的重要性
Cancers (Basel). 2021 Apr 1;13(7):1625. doi: 10.3390/cancers13071625.
3
Multikinase inhibitors in thyroid cancer: timing of targeted therapy.
多激酶抑制剂在甲状腺癌中的应用:靶向治疗的时机。
Nat Rev Endocrinol. 2021 Apr;17(4):225-234. doi: 10.1038/s41574-020-00465-y. Epub 2021 Feb 18.
4
Thyroid Cancer Brain Metastasis: Survival and Genomic Characteristics of a Large Tertiary Care Cohort.甲状腺癌脑转移:大型三级护理队列的生存和基因组特征。
Clin Nucl Med. 2019 Jul;44(7):544-549. doi: 10.1097/RLU.0000000000002618.
5
Congress of Neurological Surgeons Systematic Review and Evidence-Based Guidelines on the Role of Surgery in the Management of Adults With Metastatic Brain Tumors.神经外科医师协会系统评价和基于证据的成人脑转移瘤治疗中手术作用管理指南。
Neurosurgery. 2019 Mar 1;84(3):E152-E155. doi: 10.1093/neuros/nyy542.
6
Effects of Coexistent BRAF and TERT Promoter Mutations on Poor Clinical Outcomes in Papillary Thyroid Cancer: A Meta-Analysis.BRAF和TERT启动子共存突变对甲状腺乳头状癌不良临床结局的影响:一项荟萃分析
Thyroid. 2017 May;27(5):651-660. doi: 10.1089/thy.2016.0350. Epub 2017 Mar 7.
7
Thyroid cancer.甲状腺癌。
Lancet. 2016 Dec 3;388(10061):2783-2795. doi: 10.1016/S0140-6736(16)30172-6. Epub 2016 May 27.
8
Revised American Thyroid Association guidelines for the management of medullary thyroid carcinoma.美国甲状腺协会修订的甲状腺髓样癌管理指南。
Thyroid. 2015 Jun;25(6):567-610. doi: 10.1089/thy.2014.0335.
9
Lenvatinib versus placebo in radioiodine-refractory thyroid cancer.乐伐替尼对比安慰剂用于碘难治性甲状腺癌。
N Engl J Med. 2015 Feb 12;372(7):621-30. doi: 10.1056/NEJMoa1406470.
10
Advanced radioiodine-refractory differentiated thyroid cancer: the sodium iodide symporter and other emerging therapeutic targets.高级放射性碘难治性分化型甲状腺癌:钠碘转运体及其他新兴治疗靶点。
Lancet Diabetes Endocrinol. 2014 Oct;2(10):830-42. doi: 10.1016/S2213-8587(14)70051-8. Epub 2014 Jun 2.